















以下是引用caihe在2005-10-28 22:20:00的发言:[br][br]
[br]
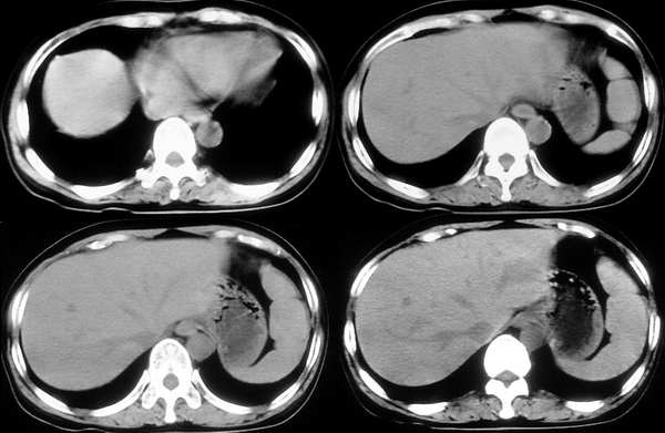
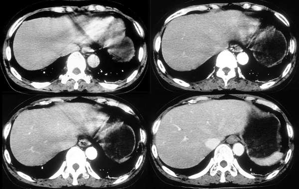
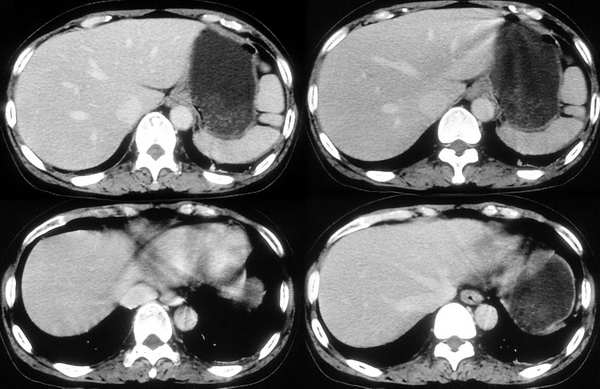
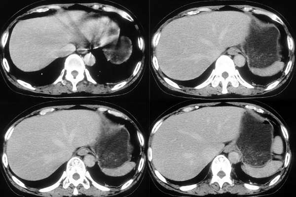
[br]请问战友,肝左叶低密度影和增强后杂乱无章的血管是什么?这是正常的吗?
以下是引用zhanyong在2005-10-28 19:24:00的发言:[br]同意jiajie版主的意见,肝左叶未见异常
以下是引用向医生在2005-11-3 21:54:00的发言:[br][br] 我觉得这例除了胆囊结石可以肯定外,肝左叶低密度区考虑为病灶尚不可靠。[br] 在b超下,早期肝脓肿者肝内见较强回声,界限欠清、模糊、形态不规则,如果有坏死液化才会出现低回声,而本例超声下已见低回声,如果真是这种情况的话就是说明病灶内已有坏死液化,这些液化区在ct增强下应该表现为低密度影,本例增强并无这样改变,所以b超的结果可不可靠值得怀疑。[br] 胆囊结石合并胆囊炎也可出现畏寒、发热及白细胞增高等,抗炎治疗后也可症状缓解,不一定非要用肝脓疡来解释。
| 欢迎光临 医影在线 (http://bbs.radida.com/bbs/) | Powered by Discuz! X3.2 |