医影在线
标题: CT2090: 髂骨病变! [打印本页]
作者: guo6607 时间: 2005-10-29 02:02
标题: CT2090: 髂骨病变!
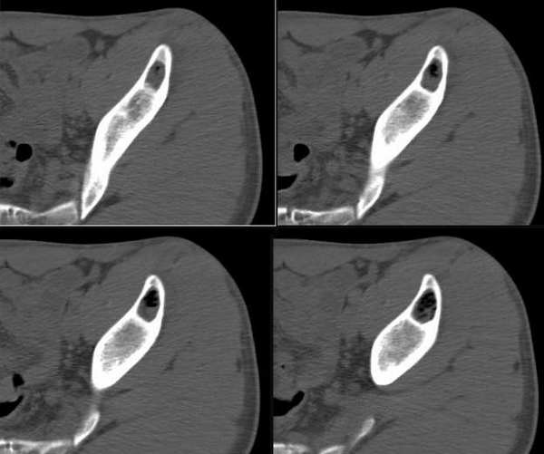
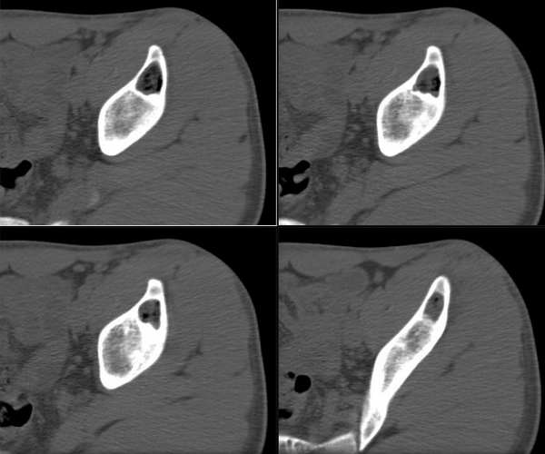
男性,19,左侧髋部疼痛两周。病变ct值有软组织及脂肪密度影。


[本贴已被 jiajie 于 2005-10-28 18:37:08 修改过]
作者: 天天红 时间: 2005-10-29 02:22
有定位片或平片吗?不知与左髋关是否相近相通,与我的\"骨病一例共赏\"有点像吗.骨囊肿可能.
作者: zhanyong 时间: 2005-10-29 02:49
影像表现:左侧髂骨内卵圆形囊性低密度灶,病灶内为脂肪密度及软组织密度;周围骨质似有轻度硬化带,局部骨皮质完整、光滑;未见骨膜下新生骨。
意见:骨良性病变,考虑为骨脂肪瘤。
骨肿瘤或者肿瘤样变的病灶中出现脂肪密度的有:骨脂肪瘤,骨脂肪肉瘤,骨囊肿等
骨囊肿内多为液性密度,也可含有少量胆固醇成分或者肉芽组织成分,本例病灶内脂肪成分较多,不含液性成分;脂肪肉瘤病灶为恶性浸润征象多见,也可见有钙化征象。
作者: 流星1234 时间: 2005-10-29 03:00
考虑骨囊肿
作者: guo6607 时间: 2005-10-29 03:14
标题: 回复:ct2090: 髂骨病变!
以下是引用天天红在2005-10-28 18:22:00的发言:[br]有定位片或平片吗?不知与左髋关是否相近相通,与我的\"骨病一例共赏\"有点像吗.骨囊肿可能.
与髋臼没有关系!
作者: 4yang 时间: 2005-10-29 03:44
标题: [乱弹]
定位:左髂骨
征象:囊状低密度病灶,边缘清楚、光整,有薄层硬化边缘,其内密度不均,可见液平面。无明显骨膜增生和软组织异常。
定性:良性
诊断:
1、骨囊肿:多见于20岁以下青少年,病变为单囊或多囊,其内通常可见骨性或软组织间隔,骨折时可有液性密度影,也可含少量脂质,应首先考虑。
2、动脉瘤样骨囊肿:好发于年轻人,病灶一般膨胀明显,密度不均,包括软组织影、液体密度影,偶尔有斑片状钙化影,不能排除。
3、骨脂肪瘤:少见,多见于中年人,病灶内常有钙化或骨化影,因伴有其他不同成分使得脂肪含量变化较大,一般没有液体影像,可能性不大。
[emb14]
[本贴已被 4yang 于 2005-10-28 19:48:28 修改过]
作者: no 时间: 2005-10-29 03:49
邻关节骨囊肿
作者: lnhsdm 时间: 2005-10-29 03:53
支持骨囊肿[emb6]
作者: xiaoniu 时间: 2005-10-29 04:04
标题: [讨论]回复:ct2090: 髂骨病变!
以下是引用zhanyong在2005-10-28 18:49:00的发言:[br]影像表现:左侧髂骨内卵圆形囊性低密度灶,病灶内为脂肪密度及软组织密度;周围骨质似有轻度硬化带,局部骨皮质完整、光滑;未见骨膜下新生骨。[br]意见:骨良性病变,考虑为骨脂肪瘤。[br]骨肿瘤或者肿瘤样变的病灶中出现脂肪密度的有:骨脂肪瘤,骨脂肪肉瘤,骨囊肿等[br]骨囊肿内多为液性密度,也可含有少量胆固醇成分或者肉芽组织成分,本例病灶内脂肪成分较多,不含液性成分;脂肪肉瘤病灶为恶性浸润征象多见,也可见有钙化征象。
[emb6]
作者: jiangjing 时间: 2005-10-29 05:01
左侧髂骨内卵圆形囊性低密度灶,病灶内为脂肪密度及软组织密度;周围骨质似有轻度硬化带,局部骨皮质完整、光滑;未见骨膜下新生骨。图像上髂骨周围软组织未见确切异常。
考虑骨良性病变,骨脂肪瘤可能性大。其他待排。
作者: liruixing 时间: 2005-10-29 05:03
支持邻关节骨囊肿
作者: lushijun 时间: 2005-10-29 13:10
[emb6]骨囊肿
作者: 东北 时间: 2005-10-29 16:24
[emb6]
作者: 航书 时间: 2005-10-29 17:31
骨囊肿
作者: llh913 时间: 2005-10-29 19:37
[emb6]骨囊肿.
作者: caihe 时间: 2005-10-29 23:39
还是考虑常见病吧:骨囊肿。
作者: tsxhfsk 时间: 2005-10-30 00:07
骨脂肪瘤可能性大
作者: cefcmj 时间: 2005-10-30 00:07
1.骨脂肪瘤可能性大;2.骨囊肿?
作者: white_angel 时间: 2005-10-30 00:51
典型的邻关节骨囊肿表现
作者: gaozhengyi 时间: 2005-10-30 03:18
标题: 回复:ct2090: 髂骨病变!
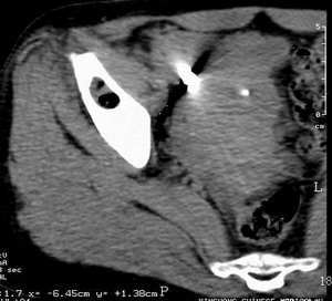
需要明确的一个问题是病变内部的低密度影究竟是脂肪密度还是气体密度,有时如果不用宽窗观察,二者是很难区分的,如果是气体密度的话,这将有是继天天红发布的2085以后又一例邻关节骨囊肿,该病完全可以和关节不相通。下面的图片是天天红的病例,请大家和本例比较一下:。
希望guo6607能够提供低密度影的ct值
[本贴已被 gaozhengyi 于 2005-10-29 19:21:16 修改过]
作者: ssl1_1 时间: 2005-10-30 05:37
骨囊肿
作者: honghuqitian 时间: 2005-11-1 20:52
[emb6]
作者: jinguoji 时间: 2007-4-17 20:56
骨囊肿.
作者: shibing 时间: 2015-5-28 11:50
左侧髂骨内卵圆形囊性低密度灶,病灶内为脂肪密度及软组织密度;周围骨质似有轻度硬化带,局部骨皮质完整、光滑;未见骨膜下新生骨。图像上髂骨周围软组织未见确切异常。
考虑骨良性病变,骨脂肪瘤可能性大。其他待排。
| 欢迎光临 医影在线 (http://bbs.radida.com/bbs/) |
Powered by Discuz! X3.2 |