医影在线
标题: CT2093:颅脑多发病变,请各位战友高诊 [打印本页]
作者: dr.king 时间: 2005-10-29 05:45
标题: CT2093:颅脑多发病变,请各位战友高诊
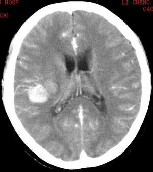
男,.40岁,头晕乏力三月余



[本贴已被 jiajie 于 2005-10-29 7:26:42 修改过]
作者: 小翟 时间: 2005-10-29 06:00
转移瘤
作者: 王维浦 时间: 2005-10-29 06:00
最好查一下hiv
作者: xiaoniu 时间: 2005-10-29 06:36
多发明显强化结节影,病史太少,只能首先考虑转移瘤。
作者: slc0002slc 时间: 2005-10-29 06:42
多考虑转移瘤。
作者: tdh 时间: 2005-10-29 06:44
多考虑转移瘤
作者: kbzyycm 时间: 2005-10-29 07:26
考虑转移瘤.
作者: 听蝉观竹 时间: 2005-10-29 07:36
脑皮质为主的多发结节病灶。类圆形,首先考虑脑转移瘤,平扫片病灶为高密度,增强后仍强化十分显著,常见于黑色素瘤、甲状腺癌、肾癌脑转移瘤。
作者: jzm01 时间: 2005-10-29 07:51
考虑转移瘤
作者: lushijun 时间: 2005-10-29 13:04
[emb6]转移瘤
作者: zhangyy106 时间: 2005-10-29 16:15
转移瘤[emb6]
作者: 东北 时间: 2005-10-29 16:33
[emb6]多发转移瘤
作者: 航书 时间: 2005-10-29 17:16
病史太少,首先考虑转移瘤。
作者: snwj 时间: 2005-10-29 17:27
[emb6]转移瘤
作者: frzh 时间: 2005-10-29 18:17
首先考虑多发脑转移,请增强,然后查找原发灶。
作者: huangaiying1 时间: 2005-10-29 19:10
[emb6]转移瘤
作者: xwctlw 时间: 2005-10-29 21:35
[emb6]转移瘤
作者: ZHANGHUANG0515 时间: 2005-10-29 22:17
考虑转移性肿瘤可能,建议mr.
作者: 刘明 时间: 2005-10-29 22:35
[emb7]支持转移
作者: cefcmj 时间: 2005-10-29 23:57
标题: 回复:ct2093:颅脑多发病变,请各位战友高诊
以下是引用听蝉观竹在2005-10-28 23:36:00的发言:[br]脑皮质为主的多发结节病灶。类圆形,首先考虑脑转移瘤,平扫片病灶为高密度,增强后仍强化十分显著,常见于黑色素瘤、甲状腺癌、肾癌脑转移瘤。
[emb6]
作者: tsxhfsk 时间: 2005-10-30 00:02
考虑转移瘤
作者: 影象98 时间: 2005-10-30 00:04
标题: 回复:ct2093:颅脑多发病变,请各位战友高诊
最好做个肺部ct可能是个转移瘤
作者: 球 时间: 2005-10-30 00:05
有点难。首先考虑转移瘤
作者: white_angel 时间: 2005-10-30 00:55
标题: 回复:ct2093:颅脑多发病变,请各位战友高诊
只能考虑转移瘤了!
[本贴已被 white_angel 于 2005-10-29 16:55:24 修改过]
作者: liujf 时间: 2005-10-30 01:04
标题: [讨论]
在临床资料很少的情况下,就影象而言:
在考虑转移瘤的情况下千万可别忘了还有一个
与之很难鉴别的多发性海绵状血管瘤。
(好象有的增强明显,有的不明显。最后一张
其它的对比不清能有ct值就更好了)
[本贴已被 liujf 于 2005-10-29 17:07:24 修改过]
作者: caihe 时间: 2005-10-30 01:24
应该是脑转移瘤。
作者: wwb821013 时间: 2005-10-30 01:38
颅内多发结节,占位效应不明显,有几个病灶与脑膜关系密切,见强化明显,考虑多发性脑膜瘤可能!!!!
作者: 天天红 时间: 2005-10-30 02:44
[emb6][emb6][emb6]转移瘤
作者: dddxb 时间: 2005-10-30 03:03
[emb6转移瘤]
作者: ssh7471 时间: 2005-10-30 04:12
[emb6]8楼,转移瘤:黑色素瘤、甲状腺癌、肾癌脑转移多见。
作者: jiangjing 时间: 2005-10-30 06:48
[emb6][emb6][emb6]
作者: zsh0009 时间: 2005-10-30 17:20
[emb6]
作者: dr.king 时间: 2005-10-30 22:07
此病人已做过mr平扫加增强,我将尽快贴到网上.
病人胸片示右下肺近心膈角大片壮实变.
作者: no 时间: 2005-10-31 05:09
脑转移瘤伴出血(肺ca)
作者: ck3215123 时间: 2005-10-31 06:31
[emb6转移瘤]
作者: 杏林英杰 时间: 2005-10-31 17:53
考虑转移瘤
作者: honghuqitian 时间: 2005-11-1 19:43
标题: 回复:ct2093:颅脑多发病变,请各位战友高诊
[quote]以下是引用liujf在2005-10-29 17:04:00的发言:[br]在临床资料很少的情况下,就影象而言:[br]在考虑转移瘤的情况下千万可别忘了还有一个[br]与之很难鉴别的多发性海绵状血管瘤.
[emb6]脑内多发海绵状血管瘤一般无灶旁水肿。
建议结合临床其他部位的检查。
作者: jinguoji 时间: 2007-4-17 20:54
考虑转移瘤.
作者: shibing 时间: 2015-5-28 11:49
转移瘤
| 欢迎光临 医影在线 (http://bbs.radida.com/bbs/) |
Powered by Discuz! X3.2 |