医影在线

标题: CT2094:[求助]是少量的出血吗? [打印本页]

作者: ctc2800    时间: 2005-10-29 14:41
标题: CT2094:[求助]是少量的出血吗?
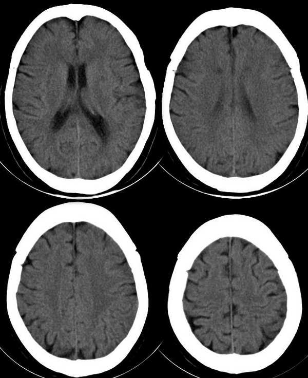
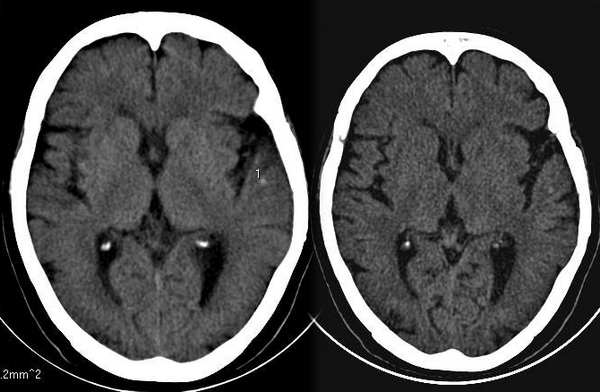
女,76岁,高血压病史二十余年。8小时前出现头晕,呕吐。无神经系统体征





[本贴已被 jiajie 于 2005-10-29 7:51:16 修改过]

作者: jiajie    时间: 2005-10-29 15:54
体积小而密度高、边界较锐利,考虑钙化点,必要时复查。
作者: zhangyy106    时间: 2005-10-29 16:14
不首先考虑出血,建议复查
作者: 东北    时间: 2005-10-29 16:34
[emb6]
作者: 好进学子    时间: 2005-10-29 16:45
[emb6]
作者: snwj    时间: 2005-10-29 16:51
[emb6]
作者: 航书    时间: 2005-10-29 17:12
[emb6]
作者: lnhsdm    时间: 2005-10-29 17:18
[emb6]
作者: frzh    时间: 2005-10-29 18:15
给这样的病例下结论可以说是天下第一难,这样的病例讨论没有什么意义也没有结果,建议战友以后拿出的病例要经典,少见的。
作者: huangaiying1    时间: 2005-10-29 18:40
只要再复查一次就会有结果
作者: sxjj1024    时间: 2005-10-29 18:48
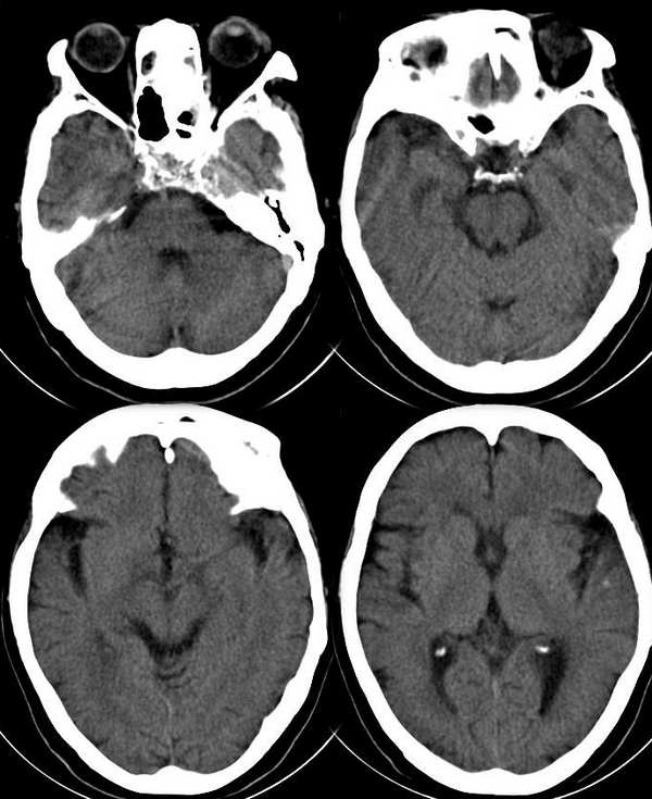
基本不考虑出血!好象有鼻窦炎,向下加一个层面就好了。
作者: xiaoniu    时间: 2005-10-29 19:06
1、左颞叶皮层点状钙化灶,患者年龄较大,多考虑生理性钙化。
2、脑沟裂增宽加深,脑萎缩。
作者: jsgaojian    时间: 2005-10-29 20:27
标题: 回复:ct2094:[求助]是少量的出血吗?
以下是引用xiaoniu在2005-10-29 11:06:00的发言:[br]1、左颞叶皮层点状钙化灶,患者年龄较大,多考虑生理性钙化。[br]2、脑沟裂增宽加深,脑萎缩。

[emb6]
作者: xwctlw    时间: 2005-10-29 21:34
[emb6][emb6]
作者: ZHANGHUANG0515    时间: 2005-10-29 22:14
[emb6]
作者: cefcmj    时间: 2005-10-29 23:54
不好定,建议复查!
作者: 球    时间: 2005-10-30 00:06
点状钙化灶?太难。
作者: tsxhfsk    时间: 2005-10-30 00:08
只要再复查一次就会有结果
作者: white_angel    时间: 2005-10-30 00:48
钙化点!
作者: guzhongliangddd    时间: 2005-10-30 01:08
不考虑出血,若不放心就复查或mri。
作者: caihe    时间: 2005-10-30 01:38
左侧裂池旁小点状钙化,很难说是什么,只能说是血管钙化,血管畸形钙化亦不排除。脑皮质萎缩。
作者: ssh7471    时间: 2005-10-30 04:08
建议复查,钙化可能大。
作者: 国王    时间: 2005-10-30 04:23
可能是出血
作者: 杨军    时间: 2005-10-30 04:38
标题: 回复:ct2094:[求助]是少量的出血吗?
以下是引用国王在2005-10-29 20:23:00的发言:[br]可能是出血

[emb16]
作者: 龙刚    时间: 2005-10-30 04:43
不象是出血,请薄层扫描颅底,斜坡似乎有问题,左侧筛窦炎?
作者: lxl    时间: 2005-10-30 05:28
建议结合临床考虑![emb10]
作者: ssl1_1    时间: 2005-10-30 05:46
复查
作者: xiaoyanhong    时间: 2005-10-30 06:25
[emb6]
作者: zhangyouhong    时间: 2005-10-30 10:47
我看不是出血
作者: 大头    时间: 2005-10-30 20:46
不是出血
作者: mao    时间: 2005-10-30 21:48
钙化
作者: 13081830109    时间: 2005-10-31 01:37
我看不象出血
作者: no    时间: 2005-10-31 04:52
回答:no!!!!!!!!!!!!!!!!!!!!!!!1[emb18]
作者: kbzyycm    时间: 2005-10-31 05:39
[emb6]
作者: llh913    时间: 2005-10-31 18:13
[emb6]钙化.建议复查.
作者: chengwei    时间: 2005-10-31 22:44
[emb7][emb6]
作者: jinguoji    时间: 2007-4-17 20:43
1、左颞叶皮层点状钙化灶,患者年龄较大,多考虑生理性钙化。
2、脑沟裂增宽加深,脑萎缩。
作者: shibing    时间: 2015-5-28 11:49
建议复查




欢迎光临 医影在线 (http://bbs.radida.com/bbs/) Powered by Discuz! X3.2