医影在线

标题: CT2096:[求助]F ,3d, 因重度窒息入院余(--)。 [打印本页]

作者: 大头    时间: 2005-10-30 19:51
标题: CT2096:[求助]F ,3d, 因重度窒息入院余(--)。





[本贴已被 jiajie 于 2005-10-30 13:22:58 修改过]

作者: 东北    时间: 2005-10-30 20:04
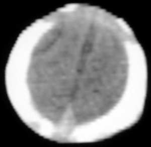
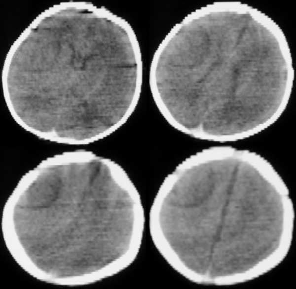
多发脑水肿表现  考虑脑缺氧缺血脑病
作者: ygdygd123a    时间: 2005-10-30 21:15
支持.
作者: 小叶    时间: 2005-10-30 22:30
为什么是脑水肿呢?[emb10]
作者: wangzhanshuang    时间: 2005-10-30 23:09
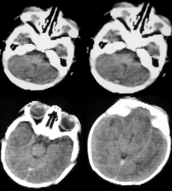
这是什么机器做的啊伪影这么多啊,是机器造成的吗
作者: 森哥    时间: 2005-10-31 00:53
标题: 回复:ct2096:[求助]f ,3d, 因重度窒息入院余(--)。

作者: 13081830109    时间: 2005-10-31 01:43
[emb6][emb6][emb6]脑缺氧缺血脑病
作者: xiaoniu    时间: 2005-10-31 03:39
[emb12]
作者: 大头    时间: 2005-10-31 03:57
结果:脑缺氧缺血脑病。其它的确是伪影,下午以经排除,真不好意思。幸好没误诊,谢谢分析对的战友!!
作者: ck3215123    时间: 2005-10-31 06:51
脑缺氧缺血脑病
作者: 杏林英杰    时间: 2005-10-31 17:49
脑缺氧缺血脑病
作者: llh913    时间: 2005-10-31 18:23
脑缺血缺氧改变.[emb7]
作者: chengwei    时间: 2005-10-31 22:42
[emb6]
作者: 国王    时间: 2005-10-31 23:06
hie
作者: 大漠孤烟    时间: 2005-11-1 00:38
[emb25]顶一下,缺血缺氧性脑病
作者: jsgaojian    时间: 2005-11-1 01:03
关于伪影的问题以前也讨论过。鉴别点就是机器灵敏度校正后“病变”消失;体位改变后“病变”位置随之改变。等等。
作者: jinguoji    时间: 2007-4-17 20:44
hie
作者: shibing    时间: 2015-5-28 11:48
脑缺氧缺血脑病




欢迎光临 医影在线 (http://bbs.radida.com/bbs/) Powered by Discuz! X3.2