医影在线
标题: CT2098:[原创]头颅少见病例,请分析. [打印本页]
作者: caihe 时间: 2005-10-30 22:22
标题: CT2098:[原创]头颅少见病例,请分析.
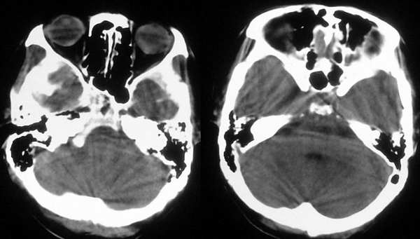
患者,女,45岁,头痛、头昏一周。(左侧内囊膝部、左侧内囊前角旁区域点状稍高密度影形成原因,请分析)






[本贴已被 jiajie 于 2005-10-30 17:38:58 修改过]
作者: 东北 时间: 2005-10-30 23:32
灰质异位?
作者: 13081830109 时间: 2005-10-31 01:40
不象灰质异位 是不是变性所致
作者: 天天红 时间: 2005-10-31 02:57
建议复查,不能下结论,[emb12]
作者: 龙刚 时间: 2005-10-31 03:48
伪影
作者: jiajie 时间: 2005-10-31 04:32
标题: 回复:ct2098:[原创]头颅少见病例,请分析.

作者: guzhongliangddd 时间: 2005-10-31 04:37
我同意jiajie老师的意见。
作者: l-y~t~001 时间: 2005-10-31 04:47
1,正常组织形成假象,2,不除外胶质增生。
作者: 新手88 时间: 2005-10-31 04:52
不象是病变,必要时核磁
作者: ck3215123 时间: 2005-10-31 06:27
正常
作者: gaozhengyi 时间: 2005-10-31 15:24
jiajie斑主已经对图象做了标识,左侧苍白球部位的高密度影可以考虑为苍白球的钙化,苍白球钙化可以单侧分布,只不过很少罢了,当然也很有可能是组织重叠造成的假象。左侧侧脑室前角旁的高密度影为假象,象素构成的黑白图象难免会有几个密度相近的几个象素相邻,其实正如jiajie斑主所示,仔细观察还能找到很多点片状高密度影,其中相当部分是由伪影构成。另外“病变”周围没有水肿和占位效应,结合患者临床表现应该为正常表现。l-y~t~001提出胶质增生的可能,胶质增生在ct上往往为低密度,本例不符合。
如果还有疑虑的话,可以薄扫,当然mr检查更好了
作者: 吕军浩 时间: 2005-10-31 15:57
标题: 回复:ct2098:[原创]头颅少见病例,请分析.
请记住墨菲定律:事情只要有可能向坏的方向发展,它就一定会向这个方向发展。
第一我们确实看到了异常,我想不要轻易地下“没事”的假设,然后来求证,这样比较好些。如果是个回顾性读片,武断些没关系,也应该这样,如果是会诊病例,还是小心些好。
这种较淡的略高密度影,以下情况都可以:
1.少量出血早期,尚未形成水肿。或少量出血扫描时有容积效应。
2.肉芽增生
3.寄生虫感染。
4.白血病侵润、其他肿瘤转移。
5.血管性异常。
6.钙化早期,或伴容积效应。
7.伪影(可能不大,jia版主标示的大部分在颅骨下,这个病灶在内囊膝,大脑深部伪影机会少些)
做个建议做个mr,比较稳妥。
作者: judy160954 时间: 2005-10-31 16:52
同意墨菲定律,本人也觉得是异常,只是不知道是什么罢了,浩翰影像,认识有限啊!
作者: llh913 时间: 2005-10-31 18:31
查mri.[emb6]
作者: 听蝉观竹 时间: 2005-10-31 21:12
我发表个人看法:
认识本病例以下特点:
1、这个部位特殊:左侧内囊的膝部及后肢的前部,这个部位如果有病变,会有明显的皮质脊髓束的神经症状,而本病例没有;
2、正如前面多数人所说,“异影”周围没有水肿影像,也没有占位效应;
3、“异影”密度不高,略高于脑白质,与灰质相近;
4、仅仅一个层面,而上下层面没有;
归纳----以上所述不符合病理性的影像学改变。
解释----1、部分容积效应;2、伪影。
建议----ct薄层扫描(扫描前做水模校正);mr检查。
作者: 阿圣 时间: 2005-10-31 21:29
我认为是正常的。
建议薄层扫描活mri进一步检查。
作者: 国王 时间: 2005-10-31 23:14
苍白球钙化
作者: ssl1_1 时间: 2005-11-1 03:20
这种影象我们的机器也出现过,作一个灵敏度校正再做病人就没有了,不妨试试
作者: gaozhengyi 时间: 2005-11-1 04:02
如果ct薄层扫描或者mr扫描仍然有该病变的存在可以认为是病变,但即使存在病变也不好用它来解释患者的症状。我认为该病例如果要取得进一步结论的话必须要有进一步的检查,如果证实确实存在病变,也要结合临床资料,合理对待。
作者: 师医生 时间: 2005-11-1 05:02
请记住墨菲定律:事情只要有可能向坏的方向发展,它就一定会向这个方向发展。
第一我们确实看到了异常,我想不要轻易地下“没事”的假设,然后来求证,这样比较好些。如果是个回顾性读片,武断些没关系,也应该这样,如果是会诊病例,还是小心些好。
这种较淡的略高密度影,以下情况都可以:
1.少量出血早期,尚未形成水肿。或少量出血扫描时有容积效应。
2.肉芽增生
3.寄生虫感染。
4.白血病侵润、其他肿瘤转移。
5.血管性异常。
6.钙化早期,或伴容积效应。
7.伪影(可能不大,jia版主标示的大部分在颅骨下,这个病灶在内囊膝,大脑深部伪影机会少些)
做个建议做个mr,比较稳妥。[emb6]吕老师分析的真全面[emb20]
作者: 师医生 时间: 2005-11-1 05:07
我以前与到过次类片子,当时病人是以外伤就诊,而且3个层面都有,病人症状就是头疼,当时就按颅内点状出血发报告了,后期就不知道情况怎么样了?现在觉的当时是不是有点太武断了?凡事应当谨慎,特别是我们做医生的。感谢网站[emb20]
作者: chengwei 时间: 2005-11-1 17:51
正常组织形成假象[emb6][emb6]
作者: 流星1234 时间: 2005-11-1 21:32
标题: 回复:ct2098:[原创]头颅少见病例,请分析.
以下是引用jiajie在2005-10-30 20:32:00的发言:[br]
[br]
作者: xiaoxiao1969 时间: 2005-11-2 05:03
考虑伪影,因为从图象整体看,左侧较右侧密度高。可以复查mri
作者: 一念之间 时间: 2005-11-2 21:24
[emb10]
作者: 明亮的眼睛 时间: 2005-11-29 22:27
苍白球钙化
作者: abzzys 时间: 2005-11-30 00:11
支持楼上
作者: mhdsj 时间: 2006-1-25 05:54
标题: 回复:ct2098:[原创]头颅少见病例,请分析.
以下是引用guzhongliangddd在2005-10-30 20:37:00的发言:[br]我同意jiajie老师的意见。
作者: shibing 时间: 2015-5-28 11:48
必要时核磁
| 欢迎光临 医影在线 (http://bbs.radida.com/bbs/) |
Powered by Discuz! X3.2 |