医影在线
标题: CT2100:讨论右眼 [打印本页]
作者: 13081830109 时间: 2005-10-31 02:18
标题: CT2100:讨论右眼
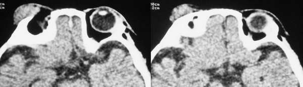
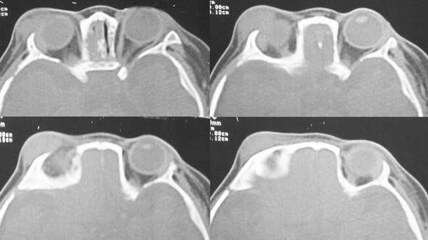
4m发现右眼周外上象限肿物年余 渐增大 软无波动



[本贴已被 jiajie 于 2005-10-30 19:04:36 修改过]
作者: 13081830109 时间: 2005-10-31 02:19
4m发现右眼周外上象限肿物年余 渐增大 软无波动
作者: 天天红 时间: 2005-10-31 02:50
片不是很清晰,病变位置在外上象限,外直肌中远部增粗,但主要是向外膨胀,边光整,骨质无殊,与颅内无明显相关,以右侧泪腺区占位,混合瘤可能,做增强吧.
作者: xiaoniu 时间: 2005-10-31 03:09
[emb6]混合瘤.
作者: wxy7406 时间: 2005-10-31 03:49
血管瘤,建议增强
作者: cefcmj 时间: 2005-10-31 04:06
血管瘤可能性大。
作者: 大头 时间: 2005-10-31 04:14
血管瘤,建议增强 [emb6]
作者: hejie 时间: 2005-10-31 04:26
查一查血常规,排除白血病(急性粒细胞白血病)眶部侵润(绿色瘤).
作者: l-y~t~001 时间: 2005-10-31 04:29
泪腺混合瘤或血管瘤,建议增强扫描。
作者: ck3215123 时间: 2005-10-31 06:41
泪腺混合瘤可能性大
作者: 吕军浩 时间: 2005-10-31 16:20
也是淋巴瘤的好发部位,没经验,不好说!质地硬的话,比较麻烦。
作者: 东北 时间: 2005-10-31 16:22
血管瘤
作者: cyy136 时间: 2005-10-31 17:26
泪腺瘤??
作者: judy160954 时间: 2005-10-31 17:38
标题: 回复:ct2100:讨论右眼
泪腺瘤??
作者: llh913 时间: 2005-10-31 18:39
考虑混合瘤.建议增强检查.
作者: 晓杰 时间: 2005-10-31 21:04
泪腺混合瘤
作者: 阿圣 时间: 2005-10-31 21:32
眶外,皮下之肿物,请告知是啥密度,囊性还是软组织密度?
首先考虑两性病变,囊肿之类的可能性较大。
作者: 国王 时间: 2005-10-31 23:12
占位,建议增强
作者: haogandian 时间: 2005-11-1 01:11
泪眼混合瘤
作者: ssl1_1 时间: 2005-11-1 04:06
[emb6] 血管瘤,建议增强
作者: hkszj 时间: 2005-11-1 04:15
[emb6]血管瘤首先考虑
作者: gaozhengyi 时间: 2005-11-1 05:27
标题: 回复:ct2100:讨论右眼
泪腺的肿瘤我认为完全可以排除,因为右侧泪腺显示的很好,肿瘤位置较为表浅,位于皮下,和泪腺无明显关系。该肿瘤为来源于软组织的肿瘤,软组织肿瘤种类繁多,影象学的目的更主要的是观察病变的范围和其与临近结构的关系,估计良恶性。该肿瘤边界清楚,与皮肤无粘连,无骨质侵蚀,考虑为良性,以血管瘤和神经纤维瘤的可能性略大些。
作者: caihe 时间: 2005-11-1 05:46
建议增强ct检查,以便定性,不除外右眼泪腺良性混合瘤或血管瘤。
作者: lushijun 时间: 2005-11-1 13:16
多见血管瘤
作者: chengwei 时间: 2005-11-1 18:00
血管瘤,建议增强 [emb6]
作者: slc0002slc 时间: 2005-11-1 19:26
泪腺混合瘤。
作者: 流星1234 时间: 2005-11-1 21:22
泪腺混合瘤首先考虑
作者: jiajie 时间: 2005-11-2 19:26
首先考虑眼眶毛细胞血管瘤。
横纹肌肉瘤多伴有骨质破坏,本例也应考虑无骨质破坏的横纹肌肉瘤。
作者: jinguoji 时间: 2007-4-17 21:02
血管瘤可能性大,建议增强。
作者: shibing 时间: 2015-5-28 11:47
泪腺混合瘤
| 欢迎光临 医影在线 (http://bbs.radida.com/bbs/) |
Powered by Discuz! X3.2 |