医影在线
标题: CT2102:颅脑病变请指教 [打印本页]
作者: wnlyq8688 时间: 2005-11-1 00:14
标题: CT2102:颅脑病变请指教
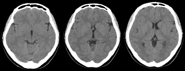
f24y打架后头疼3天,5mm薄扫







[本贴已被 gaozhengyi 于 2005-10-31 18:37:27 修改过]
作者: wangzhanshuang 时间: 2005-11-1 00:34
是发育异常吗,
作者: guzhongliangddd 时间: 2005-11-1 00:40
我考虑是左恻恻室发育不良所致,通过双恻对比左恻脑沟叫对恻更宽.
作者: jsgaojian 时间: 2005-11-1 00:48
室间孔阻塞?应该与外伤无关![emb14]
作者: jiajie 时间: 2005-11-1 01:01
左侧侧脑室体三角形扩大,其外上方一小凹陷,左顶部脑沟稍宽,考虑脑裂畸形。
作者: zxd95 时间: 2005-11-1 01:56
[emb6]5 楼
作者: 牟言科 时间: 2005-11-1 03:01
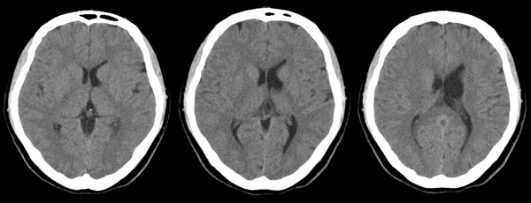
ct所见:左侧顶叶近侧脑室体部处示斑片状低密度灶,同侧脑室扩大,脑沟及脑裂增宽。颅骨结构完整。
诊断:符合脑软化灶,可以结合以往病史进行临床分析,如新生儿时的脑缺氧、血管畸形、后天性的各种原因引起的缺血缺氧、陈旧性的外伤等。由于部分容积效应的原因,左侧脑实质的低密度灶看似与侧脑室相通,必要时可以作mr检查以鉴别有无脑穿通畸形的可能。该病灶与此次外伤无关。
作者: maomaotu 时间: 2005-11-1 03:05
[emb6]
作者: 听蝉观竹 时间: 2005-11-1 03:27
左侧侧基底节区软化灶,左侧脑室前角、体部被牵拉扩大,仔细观察左侧侧裂池及部分脑沟增宽,提示左侧颞叶有轻度萎缩,上述改变为陈旧性病变,与此次头外伤无关,其病因分析有以下可能:缺氧、脑炎、外伤等。
作者: xiaoyanhong 时间: 2005-11-1 04:01
考虑脑软化灶,负占位表现,我早几天也诊断过一病例,那是在枕叶,与侧脑室枕角相连,但没有穿通
作者: ssl1_1 时间: 2005-11-1 04:13
该病灶与此次外伤无关。系发育异常.
作者: 新手88 时间: 2005-11-1 04:17
左侧侧脑室旁小软化灶
作者: 邓 时间: 2005-11-1 04:26
考虑脑发育异常,脑裂畸形
作者: cw_jxb123 时间: 2005-11-1 04:35
[emb6]
作者: 师医生 时间: 2005-11-1 04:54
与外伤无关,考虑是先天发育异常,这次外伤是诱因。各位老师见笑了!请指点[em1]
作者: DDD-WAWJ-1151 时间: 2005-11-1 05:03
该病人诊断脑裂畸形应该没问题的,正如jiajie所说
作者: 13081830109 时间: 2005-11-1 05:10
对于外伤来说没有啥阳性体征
作者: ygdygd123a 时间: 2005-11-1 05:28
支持发育异常.
作者: yuanfang_22 时间: 2005-11-1 05:31
哈哈,开心。
太典型了!~!~!~!~!
还见过一例新生儿这样病例!~!~!~典型典型,谢谢楼主!~!~!~
作者: 小翟 时间: 2005-11-1 05:34
左侧侧脑室息室,属于脑穿通畸形的一种
作者: lkc8963 时间: 2005-11-1 09:17
左侧侧脑室憩室,属于脑穿通畸形的一种,这样描述最准确!
作者: lushijun 时间: 2005-11-1 13:08
[emb6]9楼意见
作者: 东北 时间: 2005-11-1 16:53
软化灶
作者: xiaoniu 时间: 2005-11-1 16:55
左侧侧脑室憩室,属于脑穿通畸形的一种,
作者: chengwei 时间: 2005-11-1 18:08
脑软化灶[emb6]
作者: 流星1234 时间: 2005-11-1 21:29
发育异常
作者: ssh7471 时间: 2005-11-1 23:30
[emb6]脑裂畸形
作者: elity69 时间: 2007-1-17 19:56
ct所见:左侧顶叶近侧脑室体部处示斑片状低密度灶,同侧脑室扩大,脑沟及脑裂增宽。颅骨结构完整。
诊断:符合脑软化灶,可以结合以往病史进行临床分析,如新生儿时的脑缺氧、血管畸形、后天性的各种原因引起的缺血缺氧、陈旧性的外伤等。由于部分容积效应的原因,左侧脑实质的低密度灶看似与侧脑室相通,必要时可以作mr检查以鉴别有无脑穿通畸形的可能。该病灶与此次外伤无关。
作者: 黑金 时间: 2007-1-18 00:34
考虑左侧脑室先天发育异常
作者: 借酒温书 时间: 2007-1-18 00:55
正常变异
作者: shibing 时间: 2015-5-28 11:47
考虑脑软化灶
| 欢迎光临 医影在线 (http://bbs.radida.com/bbs/) |
Powered by Discuz! X3.2 |