医影在线

标题: CT2108:乳腺肿物 [打印本页]

作者: xbch    时间: 2005-11-2 02:15
标题: CT2108:乳腺肿物





[本贴已被 jiajie 于 2005-11-1 18:45:02 修改过]

作者: ygdygd123a    时间: 2005-11-2 03:07
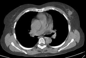
可见毛刺及淺分叶以乳腺ca可能性大
作者: 13081830109    时间: 2005-11-2 03:18
不好说
作者: xiaoniu    时间: 2005-11-2 04:00
无临床资料,从影像表现只能蒙个乳腺癌。
作者: 沉默是金    时间: 2005-11-2 04:59
纤维瘤?
作者: 东北    时间: 2005-11-2 16:42
乳腺癌?
作者: 影象王    时间: 2005-11-2 17:27
病史太简单,质地怎么样等其他检查都没有,不好说什么,只能考虑乳腺纤维瘤或乳腺癌都有可能。
作者: judy160954    时间: 2005-11-4 00:20
右侧乳腺退化得差不多了,说明病人年龄较大,左侧却见一这么高密度肿块,周围似乎见到毛刺与牛角征,考虑乳腺癌可能性大。
作者: jiajie    时间: 2005-11-4 00:47
支持乳腺纤维瘤。
作者: 流星1234    时间: 2005-11-4 05:22
分叶状肿块,周围见蜘蛛足样征,考虑乳腺癌.
作者: shibing    时间: 2015-5-28 15:44
乳腺纤维瘤。




欢迎光临 医影在线 (http://bbs.radida.com/bbs/) Powered by Discuz! X3.2