医影在线

标题: CT2109:右腮腺区肿物 [打印本页]

作者: xbch    时间: 2005-11-2 02:23
标题: CT2109:右腮腺区肿物
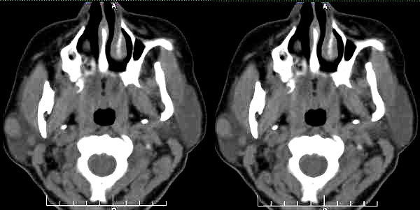
女35岁,右腮腺区肿物一年余





[本贴已被 jiajie 于 2005-11-1 21:37:27 修改过]

作者: honghuqitian    时间: 2005-11-2 02:32
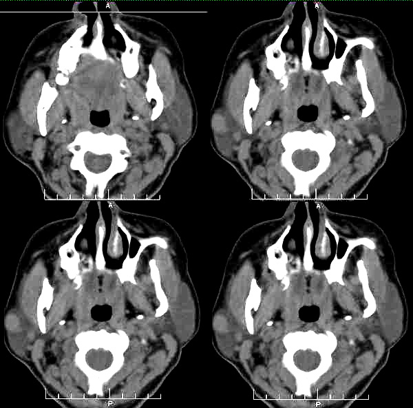
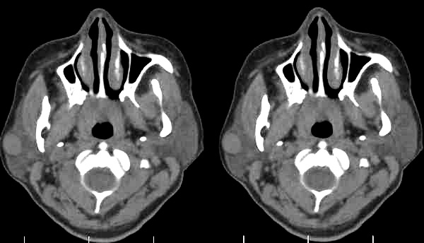
肿块边界清楚锐利,考虑腮腺混合瘤,建议增强。
作者: 听蝉观竹    时间: 2005-11-2 02:36
对不起,图像的窗宽窗位不合适,腮腺的组织不清楚,层次不分明,无法观察,能否再上传图像?。
作者: no    时间: 2005-11-2 02:38
腮腺混合瘤[emb6]
作者: 吕军浩    时间: 2005-11-2 02:41
标题: 回复:右腮腺区肿物
病史长,病灶光滑锐利、密度均匀,未见坏死,右侧腮腺浅叶的混合瘤首先考虑
作者: wangcuimei123    时间: 2005-11-2 03:05
[emb6]楼上的说法
作者: ygdygd123a    时间: 2005-11-2 03:11
支持腮腺混合瘤,建议增强以排除血管瘤.
作者: hejie    时间: 2005-11-2 03:50
考虑混合瘤,增强排除淋巴瘤,淋巴瘤明显均匀强化,混合瘤一般不强化或轻度强化.
作者: xiaoniu    时间: 2005-11-2 03:52
右侧腮腺浅叶的混合瘤.
作者: 国王    时间: 2005-11-2 04:03
同意腮腺混合瘤的诊断
作者: only    时间: 2005-11-2 04:15
混合瘤
作者: xlygxgl    时间: 2005-11-2 04:21
标题: 回复:ct2109:右腮腺区肿物
以下是引用吕军浩在2005-11-1 18:41:00的发言:[br]病史长,病灶光滑锐利、密度均匀,未见坏死,右侧腮腺浅叶的混合瘤首先考虑

作者: 东北    时间: 2005-11-2 04:29
[emb6]
作者: caihe    时间: 2005-11-2 04:44
支持右侧腮腺浅叶混合瘤诊断。
作者: 新手88    时间: 2005-11-2 05:04
还是混合瘤常见一些
作者: 阿圣    时间: 2005-11-2 07:23
支持良性混合瘤。
作者: 影象王    时间: 2005-11-2 18:05
支持腮腺混合瘤诊断
作者: ssl1_1    时间: 2005-11-3 03:11
[emb6]
作者: jiajie    时间: 2005-11-4 01:29
右侧腮腺浅叶圆形稍高密度影,边缘光整,考虑腮腺囊腺淋巴瘤。
作者: 流星1234    时间: 2005-11-4 04:08
支持腮腺混合瘤
作者: shibing    时间: 2015-5-28 15:44
腮腺混合瘤




欢迎光临 医影在线 (http://bbs.radida.com/bbs/) Powered by Discuz! X3.2