医影在线

标题: CT2110:肝左叶占位 [打印本页]

作者: xbch    时间: 2005-11-2 02:33
标题: CT2110:肝左叶占位
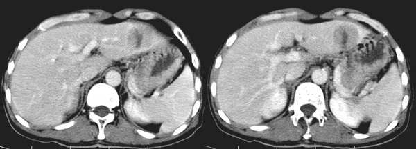
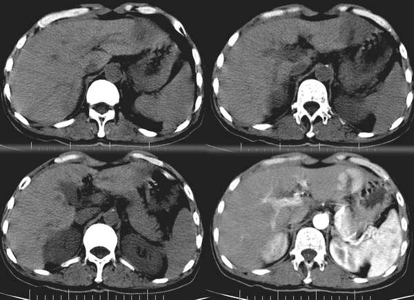
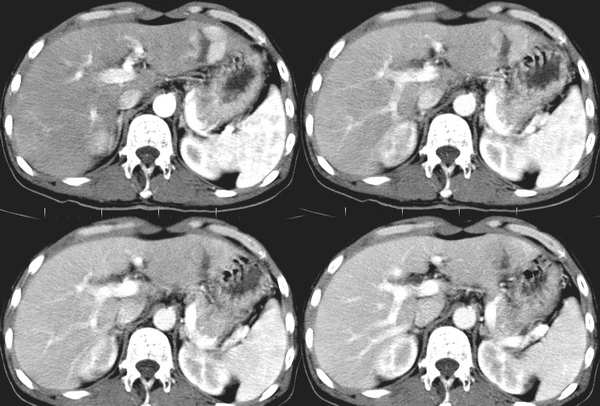
男59岁






[本贴已被 jiajie 于 2005-11-1 21:02:28 修改过]

作者: no    时间: 2005-11-2 02:36
肝癌[emb25]
作者: honghuqitian    时间: 2005-11-2 02:53
[emb6]肝癌首先考虑
作者: 听蝉观竹    时间: 2005-11-2 02:53
标题: 回复
肝脏局灶性结节增生(fnh)。与肝癌鉴别点,病灶内有无强化的斑痕组织,该病例有此特点。

请参考本站---图库---个人专辑----雷剑专辑----影像回眸(第2页)---肝脏局灶性结节增生

[本贴已被 听蝉观竹 于 2005-11-1 18:57:30 修改过]

作者: xwctlw    时间: 2005-11-2 02:53
建议上传膈顶及心脏底部图像。
作者: ygdygd123a    时间: 2005-11-2 03:16
支持肝ca,
作者: 13081830109    时间: 2005-11-2 03:17
肝癌首先考虑
作者: lnhsdm    时间: 2005-11-2 03:38
增强扫描病灶中央见裂隙状低密度影,支持局灶性结节状增生[emb6]
作者: xiaoniu    时间: 2005-11-2 03:45
肝癌首先考虑
作者: 3288161    时间: 2005-11-2 03:50
[emb6]   fnh

xbch战友,你还需要学学图象处理哟!!!!
作者: only    时间: 2005-11-2 04:14
fnh:动脉期明显强化,静脉期呈等密度,平衡期呈低密度.应该算是典型表现.
作者: xlygxgl    时间: 2005-11-2 04:19
标题: 回复:肝左叶占位
以下是引用听蝉观竹在2005-11-1 18:53:00的发言:[br]肝脏局灶性结节增生(fnh)。与肝癌鉴别点,病灶内有无强化的斑痕组织,该病例有此特点。[br][br]请参考本站---图库---个人专辑----雷剑专辑----影像回眸(第2页)---肝脏局灶性结节增生[br][br]
[本贴已被 听蝉观竹 于 2005-11-1 18:57:30 修改过]

作者: 东北    时间: 2005-11-2 04:25
[emb6]fnh
作者: lisihao    时间: 2005-11-2 05:06
支持fhn,
作者: guzhongliangddd    时间: 2005-11-2 05:50
同意fnh的诊断。
作者: 流星1234    时间: 2005-11-2 05:55
考虑肝癌
作者: xiaoyanhong    时间: 2005-11-2 05:58
结合临床资料.肝癌与结节壮增生鉴别
作者: 重炮手    时间: 2005-11-2 06:00
为什么不说是中心坏死?一定就是斑痕?
作者: SUNHAIJUN    时间: 2005-11-2 06:02
倾向肝局灶性增生
作者: caihe    时间: 2005-11-2 06:08
支持fnh的诊断。
作者: 王维浦    时间: 2005-11-2 07:44
那位高手给解释一下动脉晚期及门脉期脾脏明显不均匀强化的原因。胰尾有问题吗!!!
作者: 影象王    时间: 2005-11-2 18:01
支持肝癌诊断,fnh在门脉期应该与肝脏呈等密度。建议mri检查。
作者: jiajie    时间: 2005-11-2 18:14
支持肝脏局灶性结节增生。
作者: 龙刚    时间: 2005-11-2 18:41
病灶边缘环形增强,提示纤维包膜形成,符合肝细胞癌纤维板层型,只是未见钙化,与局灶性结节状增生实在是不好鉴别.期待病理结果.
作者: liaoqiang    时间: 2005-11-2 18:43
[emb6]fnh
作者: haogandian    时间: 2005-11-3 01:02
我还是支持肝癌
作者: ssl1_1    时间: 2005-11-3 03:13
无强化区考虑肝ca坏死,支持肝癌的诊断
作者: wangzhanshuang    时间: 2005-11-3 03:29
支持肝癌,肝癌也可以有坏死啊
作者: chxl0000    时间: 2005-11-3 20:35
考虑肝癌.因为fnh在门脉期中间疤痕组织,未见明显强化,肝癌也可能有纤维化组织.
作者: shibing    时间: 2015-5-28 15:44
肝癌首先考虑




欢迎光临 医影在线 (http://bbs.radida.com/bbs/) Powered by Discuz! X3.2