医影在线

标题: CT2111:求助:肝右叶占位?——请分析! [打印本页]

作者: wuzhenan    时间: 2005-11-2 03:25
标题: CT2111:求助:肝右叶占位?——请分析!
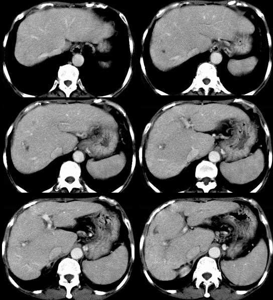
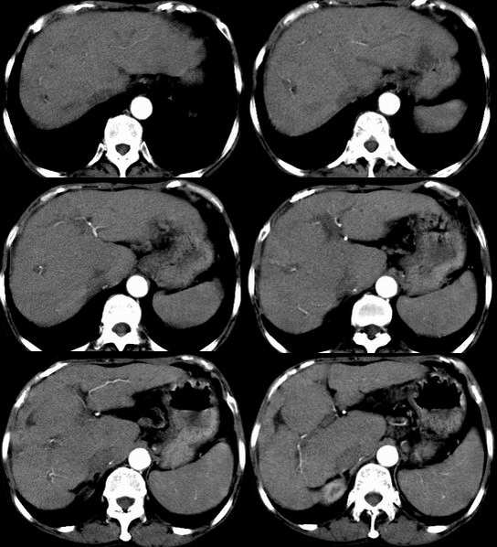
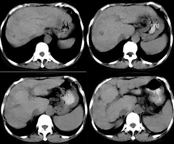
患者,女,53岁。恶心、上腹痛、下腹胀、消瘦2月余。曾有肝硬化、乙肝、胆囊炎病史。
b超发现肝右叶实质性占位,做ct检查。
平扫

动脉期

静脉期




[本贴已被 jiajie 于 2005-11-1 21:10:21 修改过]

作者: hesheng10    时间: 2005-11-2 03:30
根据增强扫描的结果考虑右肝前叶占位性病变,ca可能
作者: xiaoniu    时间: 2005-11-2 03:49
1,肝右叶实质性占位,小肝癌可能。
2,肝硬化,脾大。
作者: 国王    时间: 2005-11-2 04:09
肝硬化,脾大,小肝癌
作者: lkc8963    时间: 2005-11-2 04:13
还是请楼主传齐各期图片为盼!
作者: 东北    时间: 2005-11-2 04:27
肝硬化 小肝癌
作者: 王永智    时间: 2005-11-2 04:58
[emb5]我是新手 麻烦各位大虾注明下部位
作者: xiaoxiao1969    时间: 2005-11-2 04:59
1、肝尾状叶增大,脾大,考虑有肝硬化。
2、肝右叶实质性占位,小肝癌可能。
问病史,有无乙肝。
作者: guzhongliangddd    时间: 2005-11-2 05:03
此病灶不具备典型小肝癌的强化方式,从动脉期及静脉期看病灶是呈逐渐强化。
作者: lisihao    时间: 2005-11-2 05:04
肝硬化可以肯定,右底密度灶见结节动脉强化,应考虑为汇管区
作者: 流星1234    时间: 2005-11-2 06:08
肝硬化,脾大.
作者: 影象王    时间: 2005-11-2 18:12
结合病史及b超表现,考虑肝癌合并脂肪变性可能大。平扫病灶密度较一般常见肝癌密度偏低,增强动脉期强化不明显,但长期的肝炎及肝硬化病史,不能不考虑肝癌的可能性,合并脂肪变性,病灶强化的程度就会明显减低。建议必要时mri三期增强扫描。
作者: jiajie    时间: 2005-11-2 18:28
考虑肝硬化、脾大。
作者: liaoqiang    时间: 2005-11-2 18:35
考虑为肝硬化,脾大。没有足够证据有肝癌。要是有延迟扫描就比较好了。
作者: lnhsdm    时间: 2005-11-2 19:29
肝硬化,脾大[emb6]
作者: haogandian    时间: 2005-11-3 01:10
肝硬化结节增生
作者: ssl1_1    时间: 2005-11-3 03:21
动脉期无增强,静脉期可见部分增强,考虑肝内胆管细胞癌,
作者: no    时间: 2005-11-3 03:50
肝硬化[emb6]
作者: ligm188    时间: 2005-11-3 16:40
、肝尾状叶增大,脾大,考虑有肝硬化2肝内胆管局限扩张
作者: shibing    时间: 2015-5-28 15:42
肝硬化可以肯定,右底密度灶见结节动脉强化,应考虑为汇管区




欢迎光临 医影在线 (http://bbs.radida.com/bbs/) Powered by Discuz! X3.2