医影在线
标题: CT2124:腹部占位,没有增强大家还能诊断吗? [打印本页]
作者: liuzhiguang 时间: 2005-11-3 01:44
标题: CT2124:腹部占位,没有增强大家还能诊断吗?
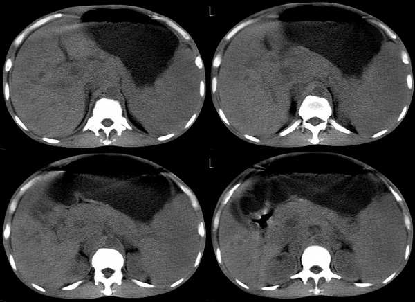
m 50y 腹部肿块两年来诊,现腹痛、腹胀。临床诊断“结肠癌并腹部转移”





[本贴已被 jiajie 于 2005-11-2 19:51:18 修改过]
[本贴已被 liuzhiguang 于 2005-11-3 12:02:47 修改过]
作者: LNHSDM 时间: 2005-11-3 04:27
考虑腹膜后淋巴源性肿物,瞎猜,呵呵
作者: mao 时间: 2005-11-3 04:38
胰头ca,腹部淋巴结转移,肠梗阻
作者: 阿圣 时间: 2005-11-3 05:25
不好说
作者: zfx 时间: 2005-11-3 05:25
能简要介绍一下病史吗
作者: yuanfang_22 时间: 2005-11-3 09:54
胰头ca侵犯肠系膜血管,血运型肠梗阻,肠间及腹膜后淋巴结转移(汉堡包征)
作者: jiajie 时间: 2005-11-3 15:34
考虑升结肠脾曲恶性淋巴瘤伴腹膜后淋巴结肿大。
作者: 航书 时间: 2005-11-3 15:54
考虑腹膜后淋巴源性肿物,并腹腔肠系膜淋巴结肿块。
作者: syfszcw 时间: 2005-11-3 18:05
第一遍从这个片子上!发现:病人脾脏增大!胰头部胆总管增粗!腹部肠腔扩张,前缘脂肪间隙消失,周围肠腔受压!腹膜后见多枚肿大淋巴结影!所以首先考虑胰头占位\\腹部转移!脾肿大.
新手发帖\\请多指教!
作者: realzyc 时间: 2005-11-3 18:14
胰头占位伴腹膜后淋巴结肿大,脾肿大,合并肠梗阻,增强的片子呢?传上看看
作者: 东北 时间: 2005-11-3 19:28
淋巴瘤或转移瘤
作者: 龙刚 时间: 2005-11-3 21:08
胰头增大,右结肠肿块,腹膜后淋巴节融合成团,结合临床考虑结肠癌复发并胰头及腹膜后淋巴结转移并侵犯肠系膜动脉造成缺血性肠马匹
作者: cxg966504 时间: 2005-11-5 07:24
结肠ca腹腔转移?淋巴瘤?
作者: didadoc 时间: 2005-11-6 08:06
淋巴瘤
作者: stronger16 时间: 2005-11-6 20:14
胰头癌、伴腹膜后淋巴结转移吧!还有肠梗阻!
作者: shibing 时间: 2015-5-28 15:24
增强
| 欢迎光临 医影在线 (http://bbs.radida.com/bbs/) |
Powered by Discuz! X3.2 |