医影在线

标题: CT2129:[讨论]肺部病变 [打印本页]

作者: wnlyq8688    时间: 2005-11-3 06:24
标题: CT2129:[讨论]肺部病变
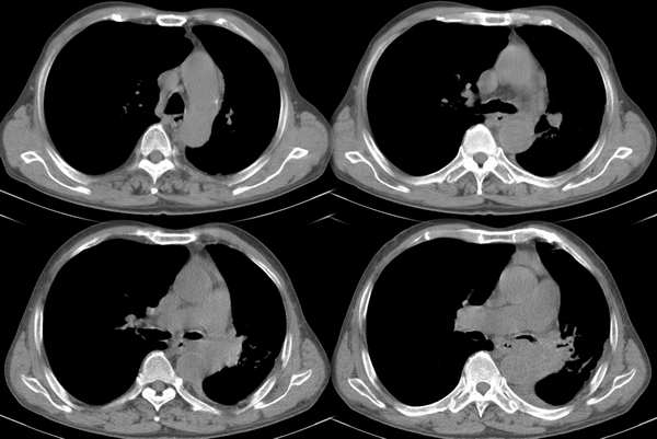
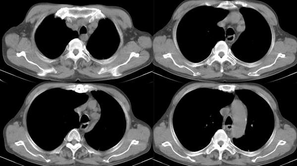
m67y外院ct诊断肺ca,现来我科复查ct












[本贴已被 jiajie 于 2005-11-3 7:04:34 修改过]

作者: wangzhanshuang    时间: 2005-11-3 06:38
下面的纵隔窗怎么没有呢
作者: wangzhanshuang    时间: 2005-11-3 07:03
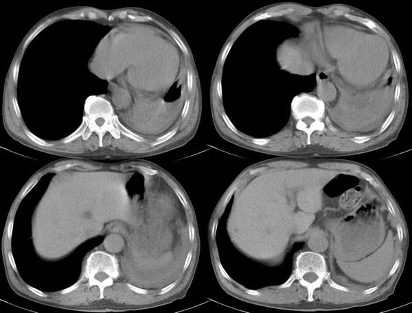
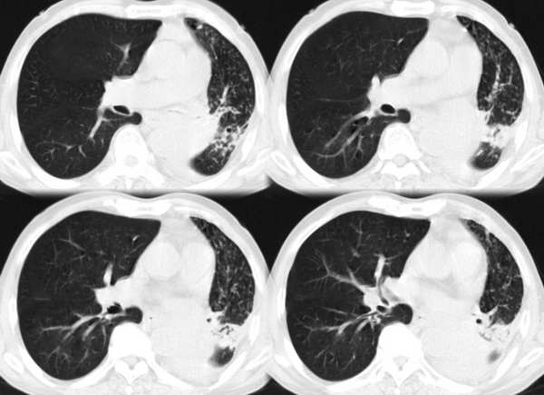
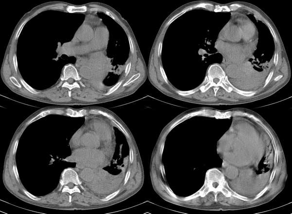
左肺下叶支气管狭窄局部见肿块影左肺下叶不张,肺癌应该没问题吧
作者: 王维浦    时间: 2005-11-3 08:46
典型中央型肺ca
作者: 航书    时间: 2005-11-3 15:59
肺癌应该没问题,如有低热、盗汗、查结核菌素实验。
作者: ssh7471    时间: 2005-11-3 16:32
考虑肺癌
作者: jsgaojian    时间: 2005-11-3 16:43
首先考虑肺癌,建议增强。
作者: 318479    时间: 2005-11-3 18:49
左主支气管变窄,左下叶部分不张,考虑肺癌可能性大
作者: 影象王    时间: 2005-11-3 18:54
考虑左下肺中央型肺癌并肺不张,建议支气管镜检查。
作者: 东北    时间: 2005-11-3 19:27
肺癌
作者: sosky1    时间: 2005-11-3 20:16
不用犹豫,肺癌
作者: 茉莉花茶    时间: 2005-11-3 23:17
[emb6][emb6]
作者: yzt222    时间: 2005-11-3 23:55
[emb6]
作者: judy160954    时间: 2005-11-4 00:57
肺癌半癌性淋巴管炎。
作者: liuzhiguang    时间: 2005-11-4 02:15
中央型肺癌首先考虑
作者: caihe    时间: 2005-11-4 02:33
标题: 回复
左下肺中央型肺癌并不张可能性大,为慎重起见,请楼主提供病史,以排除支气管内膜结核引起肺不张。

[本贴已被 caihe 于 2005-11-3 18:39:25 修改过]

作者: 流星1234    时间: 2005-11-4 03:28
标题: 回复:ct2129:[讨论]肺部病变
以下是引用caihe在2005-11-3 18:33:00的发言:[br]左下肺中央型肺癌并不张可能性大,为慎重起见,请楼主提供病史,以排除支气管内膜结核引起肺不张。[br][br]
[本贴已被 caihe 于 2005-11-3 18:39:25 修改过]

作者: bhyl    时间: 2005-11-4 03:37
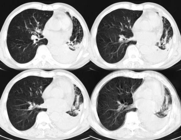
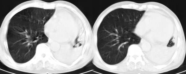
主-肺动脉窗似有大的淋巴结,肝也像有多发低密度灶。看不太清,是不是转移?
作者: dglq    时间: 2005-11-4 04:03
左中央型肺癌并左下叶肺不张,建议纤支镜检查.
作者: zwei    时间: 2005-11-4 04:13
左下肺中央肺ca并下肺不张
作者: liaoqiang    时间: 2005-11-4 23:10
[emb6]大家的意见。注意肝脏。
作者: ssl1_1    时间: 2005-11-5 06:53
[emb6]
作者: shibing    时间: 2015-5-28 15:20
肺癌




欢迎光临 医影在线 (http://bbs.radida.com/bbs/) Powered by Discuz! X3.2