医影在线
标题: CT2133:[原创]肝脏大片状低密度病灶请求会诊 [打印本页]
作者: ZHANGHUANG0515 时间: 2005-11-3 23:04
标题: CT2133:[原创]肝脏大片状低密度病灶请求会诊
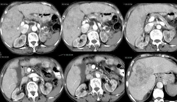
女性,77岁,上腹部不适,下肢浮肿,无其它不良.
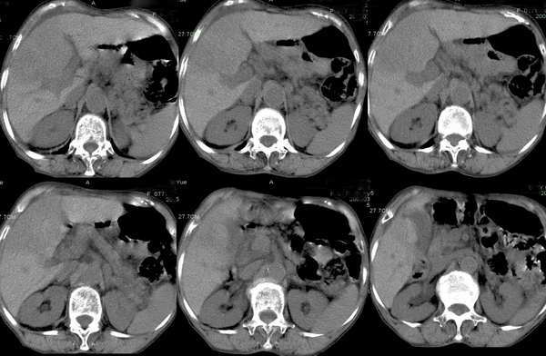
今年三月份ct平扫检查.


今天复查ct平扫


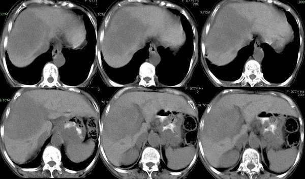
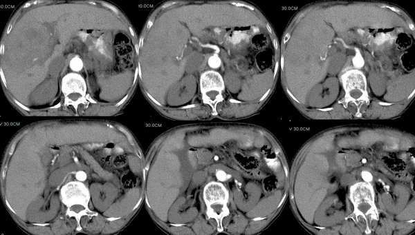
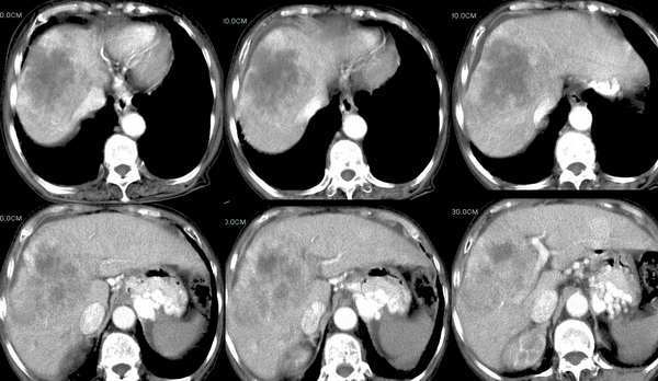
动脉期


门脉期


延时期10分钟及12分钟

[本贴已被 jiajie 于 2005-11-3 16:19:01 修改过]
作者: 晓杰 时间: 2005-11-3 23:29
考虑血管瘤
作者: 东北 时间: 2005-11-3 23:44
[emb6]
作者: yzt222 时间: 2005-11-3 23:47
血管瘤[emb6]
作者: chxl0000 时间: 2005-11-3 23:49
不典型肝癌[emb26]
作者: 影象王 时间: 2005-11-4 01:05
标题: [讨论]
可以肯定为肝癌;首先要指出的是,这个病例的三期扫描不规范,动脉期时间太早了,而门脉期的表现却是动脉期的表现,肾脏皮髓质交界清晰,说明处在动脉期但又略晚了点,看肝癌表现,以动脉晚期最为可靠,即动脉显影明显,脾脏呈花斑样强化,门脉初步显影,此表现为诊断肝癌最可靠的时期。这个病例肝脏有硬化表现,合并腹水,增强后病灶明显强化且边界不清,肝动脉异常增粗,门脉右支受侵,右后叶也有一处小病灶,为子灶。我的诊断为:肝右叶原发浸润型肝癌,肝硬化,门脉高压,腹水。下肢浮肿,可能为下腔静脉癌栓形成。
[本贴已被 影象王 于 2005-11-3 17:21:51 修改过]
作者: judy160954 时间: 2005-11-4 01:12
肝癌,门脉右支瘤栓。
作者: ssmz116 时间: 2005-11-4 01:17
肝癌,门静脉及下腔静脉瘤栓?[emb12]
作者: xwctlw 时间: 2005-11-4 01:35
[emb6]ca
作者: liuzhiguang 时间: 2005-11-4 02:13
肝癌,门静脉及下腔静脉瘤栓[emb6]
作者: 2013148887 时间: 2005-11-4 03:29
血管瘤可能性大吧,但是肿瘤不排?建议随访
作者: guzhongliangddd 时间: 2005-11-4 03:32
支持肝癌的诊断。我要给战友建议的影象王以说了{注药时间问题}。
作者: 流星1234 时间: 2005-11-4 03:38
肝癌,门v及下腔v瘤栓
作者: ygdygd123a 时间: 2005-11-4 03:42
支持6楼
作者: tsxhfsk 时间: 2005-11-4 03:54
肝癌,门静脉及下腔静脉瘤栓
作者: zwei 时间: 2005-11-4 03:55
支持6楼,
作者: wangcuimei123 时间: 2005-11-4 05:00
[emb6]6楼
作者: guduchunmeng 时间: 2005-11-4 05:23
标题: 回复:ct2133:[原创]肝脏大片状低密度病灶请求会诊
以下是引用影象王在2005-11-3 17:05:00的发言:[br]可以肯定为肝癌;首先要指出的是,这个病例的三期扫描不规范,动脉期时间太早了,而门脉期的表现却是动脉期的表现,肾脏皮髓质交界清晰,说明处在动脉期但又略晚了点,看肝癌表现,以动脉晚期最为可靠,即动脉显影明显,脾脏呈花斑样强化,门脉初步显影,此表现为诊断肝癌最可靠的时期。这个病例肝脏有硬化表现,合并腹水,增强后病灶明显强化且边界不清,肝动脉异常增粗,门脉右支受侵,右后叶也有一处小病灶,为子灶。我的诊断为:肝右叶原发浸润型肝癌,肝硬化,门脉高压,腹水。下肢浮肿,可能为下腔静脉癌栓形成。[br][br][本贴已被 影象王 于 2005-11-3 17:21:51 修改过]
.应用多层ct扫描后出现了不少这样的问题,多层螺旋ct扫描速度快,时间短,如果依然按原来单层螺旋ct动脉期,静脉期,平衡期扫描必然出现扫描提前现象。
[本贴已被 guduchunmeng 于 2005-11-3 21:24:06 修改过]
作者: slc0002slc 时间: 2005-11-4 05:43
多考虑肝血管瘤。
作者: caihe 时间: 2005-11-4 05:55
支持影像王分析,考虑肝右叶原发浸润型肝癌(巨块型),肝硬化,门脉高压,腹水。
作者: lkc8963 时间: 2005-11-4 06:00
支持影像王分析,考虑肝右叶原发浸润型肝癌(巨块型)伴门静脉右前支受侵,肝硬化,门脉高压,腹水。ivc有无受累单从片内表现依据不足。
作者: lushijun 时间: 2005-11-4 14:24
[emb6]肝癌,门静脉及下腔静脉瘤栓
作者: liaoqiang 时间: 2005-11-4 17:02
[emb6]
作者: wangzhanshuang 时间: 2005-11-4 17:20
支持影象王,长见识啊
作者: liujun 时间: 2005-11-4 17:31
支持[emb6]
作者: ssh7471 时间: 2005-11-4 18:29
肝癌伴门脉右支癌栓
作者: 航书 时间: 2005-11-4 19:24
典型的巨块型肝癌
作者: llh913 时间: 2005-11-4 20:18
标题: 回复:ct2133:[原创]肝脏大片状低密度病灶请求会诊
肝癌,门脉右支瘤栓。
作者: xiaoniu 时间: 2005-11-4 21:37
标题: 回复:ct2133:[原创]肝脏大片状低密度病灶请求会诊
以下是引用影象王在2005-11-3 17:05:00的发言:[br]可以肯定为肝癌;首先要指出的是,这个病例的三期扫描不规范,动脉期时间太早了,而门脉期的表现却是动脉期的表现,肾脏皮髓质交界清晰,说明处在动脉期但又略晚了点,看肝癌表现,以动脉晚期最为可靠,即动脉显影明显,脾脏呈花斑样强化,门脉初步显影,此表现为诊断肝癌最可靠的时期。这个病例肝脏有硬化表现,合并腹水,增强后病灶明显强化且边界不清,肝动脉异常增粗,门脉右支受侵,右后叶也有一处小病灶,为子灶。我的诊断为:肝右叶原发浸润型肝癌,肝硬化,门脉高压,腹水。下肢浮肿,可能为下腔静脉癌栓形成。[br][br][本贴已被 影象王 于 2005-11-3 17:21:51 修改过]
[emb6]
作者: ssl1_1 时间: 2005-11-5 07:03
肝癌,门静脉及下腔静脉瘤栓
作者: didadoc 时间: 2005-11-6 08:09
肝癌腹水
作者: stronger16 时间: 2005-11-6 20:08
肝硬化、肝癌合并肝内转移、门静脉右支、及下腔静脉可以看到充盈缺损!看来,门静脉右支及腔静脉都有瘤栓形成了![emb2]
作者: 九头鸟 时间: 2005-11-20 07:10
支持影像王的分析
作者: jinguoji 时间: 2007-4-18 06:41
考虑肝右叶原发浸润型肝癌(巨块型),肝硬化,门脉高压,腹水。
作者: shibing 时间: 2015-5-28 15:20
肝癌
| 欢迎光临 医影在线 (http://bbs.radida.com/bbs/) |
Powered by Discuz! X3.2 |