医影在线
标题: CT2137:头部CT请各位战友会诊!谢谢! [打印本页]
作者: guzhongliangddd 时间: 2005-11-4 07:15
标题: CT2137:头部CT请各位战友会诊!谢谢!
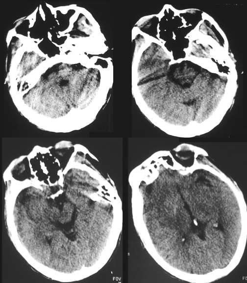
m,56,入院前不明原因的出现左恻肢体无力,无呕吐,头昏,意识障碍,查体,左恻肢体肌离1-2级,左恻提睾反射消失。
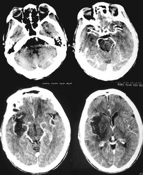
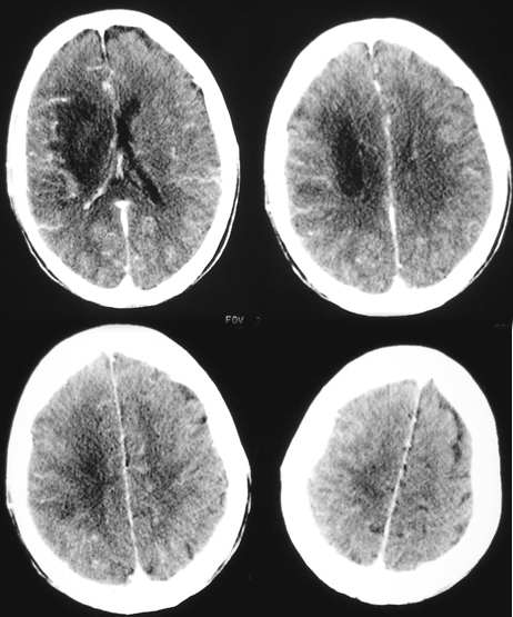
平扫。


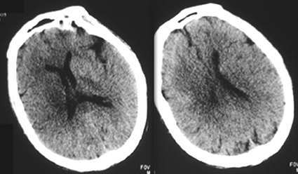
强化。


5mm;

[本贴已被 gaozhengyi 于 2005-11-4 6:54:24 修改过]
[本贴已被 jiajie 于 2005-11-4 7:47:40 修改过]
作者: guzhongliangddd 时间: 2005-11-4 07:21
此片我考虑是左恻基底节区脑梗塞,但我想请各位战友看看还有其它可能没有,另外右恻外恻裂池扩张怎么解释。
作者: lushijun 时间: 2005-11-4 13:54
[emb6]右侧基底节区脑梗塞,占位效应明显(肿瘤不除外);建议跟踪复查。
作者: jiajie 时间: 2005-11-4 16:07
支持左恻基底节区脑腔梗伴脑水肿;
右侧侧裂池与左侧大致对称、无明显扩大。
作者: ssmz116 时间: 2005-11-4 16:17
右侧基底节不规则性低密度影,不强化,仔细看好象颞叶和额叶受侵,结合病史考虑:
星星细胞瘤[emb14]
作者: maomaotu 时间: 2005-11-4 18:01
左恻基底节区脑腔隙性脑梗塞伴脑水肿? 当然脑瘤不除外建议mri检查
右侧侧裂池与左侧大致对称、无明显扩大。问题应该不大的
作者: liaoqiang 时间: 2005-11-4 18:13
[emb6]右侧基底节区脑梗塞。
作者: ssh7471 时间: 2005-11-4 18:43
标题: 回复:ct2137:头部ct请各位战友会诊!谢谢!
以下是引用jiajie在2005-11-4 8:07:00的发言:[br]支持左恻基底节区脑腔梗伴脑水肿;[br]右侧侧裂池与左侧大致对称、无明显扩大。
作者: qiuazhang 时间: 2005-11-4 18:54
发病时间很重要,还有病程,病人有无血压高,动脉硬化病史,在什么情况下发病。
作者: 航书 时间: 2005-11-4 19:19
考虑1~2星型细胞瘤
作者: xwctlw 时间: 2005-11-4 19:55
[emb6]脑梗塞
作者: lz8320473 时间: 2005-11-4 21:32
标题: 回复:ct2137:头部ct请各位战友会诊!谢谢!
以下是引用jiajie在2005-11-4 8:07:00的发言:[br]支持左恻基底节区脑腔梗伴脑水肿;[br]右侧侧裂池与左侧大致对称、无明显扩大。
强化未见壁结节,脑瘤基本可以排除。
作者: 3288161 时间: 2005-11-4 21:37
楼主战友:左右你应该弄清楚呀????????
不就是---------脑梗塞吗!!!病侧侧裂因脑水肿变窄。
作者: 东北 时间: 2005-11-4 22:13
[emb6]梗塞
作者: guzhongliangddd 时间: 2005-11-5 01:59
谢谢13楼战友的提醒,我把“右”写成了“左”。你很细心,向你学习。谢谢各位战友的分析。
作者: caihe 时间: 2005-11-5 02:37
ct增强未见低密度灶强化,应该是右侧基底节区脑梗塞并脑水肿。
作者: yutira 时间: 2005-11-5 04:20
[emb7]
作者: frzh 时间: 2005-11-5 06:03
明明是脑梗塞,大家却想得很多,不要考虑一些不常见的疾病。
作者: ssl1_1 时间: 2005-11-5 06:13
[emb6]
作者: 易常春 时间: 2005-11-5 06:37
支持脑梗塞,平扫与增强病变密度好像有改变。
作者: 木易先生 时间: 2005-11-5 06:38
[emb28]
作者: 我爱影像 时间: 2005-11-6 00:37
右侧基底节区脑梗塞
作者: zhaochen 时间: 2005-11-6 19:21
右侧基底节区脑梗塞,伴脑水肿
作者: shibing 时间: 2015-5-28 16:07
考虑1~2星型细胞瘤
| 欢迎光临 医影在线 (http://bbs.radida.com/bbs/) |
Powered by Discuz! X3.2 |