医影在线

标题: CT2141:[原创]头颅病变(2) [打印本页]

作者: 邓    时间: 2005-11-4 20:47
标题: CT2141:[原创]头颅病变(2)
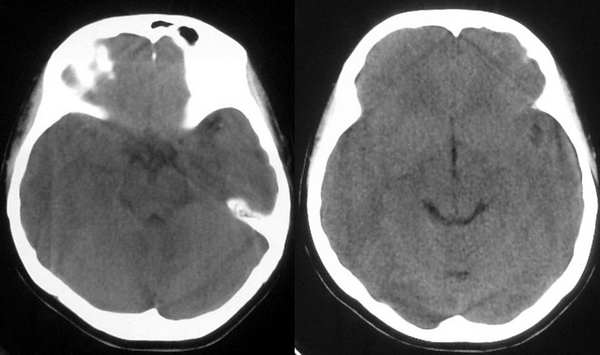
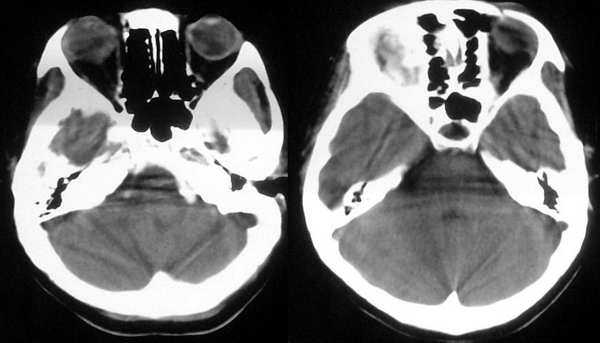
患者,女,32岁,时有头晕,无恶心呕吐。







[本贴已被 jiajie 于 2005-11-4 13:38:10 修改过]

作者: liuyongbinking    时间: 2005-11-4 21:00
未见异常
作者: 流星1234    时间: 2005-11-4 21:02
未发现异常,请高手指点
作者: wangzhanshuang    时间: 2005-11-4 21:10
左侧放射冠区是不是有灰质异位啊
作者: 3288161    时间: 2005-11-4 21:29
标题: 回复:[原创]头颅病变(2)
以下是引用流星1234在2005-11-4 13:02:00的发言:[br]未发现异常,请高手指点




[emb11][emb11][emb11]
作者: 新手88    时间: 2005-11-4 21:31
未见明显异常
作者: liujun    时间: 2005-11-4 21:34
挺好的[emb9]
作者: liuzhiguang    时间: 2005-11-4 21:35
[emb12][emb12][emb12]
作者: 邓    时间: 2005-11-4 21:57
标题: 回复:ct2141:[原创]头颅病变(2)

请高手指教,谢谢!
作者: 东北    时间: 2005-11-4 22:16
[emb12]
作者: jiajie    时间: 2005-11-4 22:38
标题: 回复:ct2141:[原创]头颅病变(2)

可能与体位不正有关。
作者: xiaoniu    时间: 2005-11-4 23:46
未发现异常
作者: wangzhanshuang    时间: 2005-11-5 00:15
标题: 回复:ct2141:[原创]头颅病变(2)

作者: gaozhengyi    时间: 2005-11-5 01:03
这个病例为正常的头部ct表现,只是由于摆位不正而造成了诸多疑问,所以在工作中要注意摆位问题。
作者: huangaiying1    时间: 2005-11-5 01:05
机器造成的吧
作者: jsgaojian    时间: 2005-11-5 02:12
正常的头部ct
作者: wrancelan    时间: 2005-11-5 04:09
正常[emb6]
作者: lushijun    时间: 2005-11-5 05:49
未见到右侧侧裂沟?可疑
作者: ssl1_1    时间: 2005-11-5 06:24
没事儿
作者: 影象王    时间: 2005-11-5 07:19
未见明显异常
作者: llh913    时间: 2005-11-5 15:01
[emb6]
作者: cefcmj    时间: 2005-11-5 19:27
未见明显异常
作者: kbzyycm    时间: 2005-11-5 20:42
[emb6]
作者: 牟言科    时间: 2005-11-6 01:56
标题: 回复:ct2141:[原创]头颅病变(2)
以下是引用wangzhanshuang在2005-11-4 16:15:00的发言:[br][br]

我认为是正常的颅脑影像。左侧颞顶叶脑组织示略高密度结构是近外侧裂区的正常皮质结构,不是灰质移位。由于摆的位置不正,左侧的脑组织较右侧的低一个层面。
作者: hxchang    时间: 2005-11-6 03:33
未见明显异常。
作者: ssh7471    时间: 2005-11-6 03:44
正常
作者: 13081830109    时间: 2005-11-6 06:05
未见明显异常
作者: 朋克X-ray    时间: 2005-11-6 20:06
正常的,觉得不放心的话,可以去增强,mri撒![emb19]
作者: shibing    时间: 2015-5-28 15:58
未见明显异常




欢迎光临 医影在线 (http://bbs.radida.com/bbs/) Powered by Discuz! X3.2