医影在线

标题: CT2147:腹部囊性病变请会诊 [打印本页]

作者: dr.king    时间: 2005-11-6 04:55
标题: CT2147:腹部囊性病变请会诊
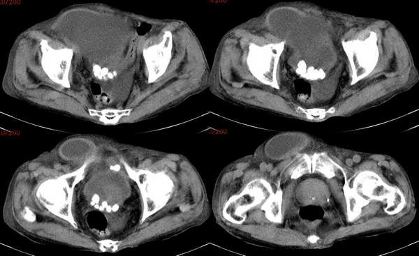
男性,90岁,腹部包块20余年.




[本贴已被 jiajie 于 2005-11-5 21:04:00 修改过]

作者: jiajie    时间: 2005-11-6 05:12
考虑淋巴囊肿。
作者: l-y~t~001    时间: 2005-11-6 05:21
右下腹囊性病变,其下部可见一堆牙齿样钙化影,囊下极疝入右腹股沟,病史20年,首先考虑良性畸胎瘤。
作者: wxy7406    时间: 2005-11-6 05:29
膀胱结石引起膀胱过度充盈.
作者: only    时间: 2005-11-6 05:32
盆腔巨大囊性占位,其后下方多个小圆点状钙化,病灶向前下方突出于耻骨联合前方。充盈欠佳的膀胱受压后移。考虑畸胎瘤并腹壁疝,老年性骨质疏松。
作者: zhangwenxiu    时间: 2005-11-6 06:28
标题: 回复:ct2147:腹部囊性病变请会诊
是不是考虑膀胱xishi之可能,高密度灶考虑膀胱结石.
作者: wangzhanshuang    时间: 2005-11-6 06:30
最好做个俯卧位扫描
作者: zhangwenxiu    时间: 2005-11-6 06:31
标题: 回复:ct2147:腹部囊性病变请会诊
最好作俯卧位扫描,看高密度灶的位置有没有变化.
作者: 影象王    时间: 2005-11-6 07:02
考虑巨大膀胱憩室可能性大
作者: guzhongliangddd    时间: 2005-11-6 07:58
考虑畸胎瘤伴腹壁疝。因为战友图象未传完不能完全排除肠系膜囊肿的可能性。
作者: chxl0000    时间: 2005-11-6 09:01
[emb6]畸胎瘤伴腹壁疝
作者: lushijun    时间: 2005-11-6 14:06
[emb6]畸胎瘤伴腹壁疝
作者: duguo    时间: 2005-11-6 14:25
首先考虑畸胎瘤。
作者: 东北    时间: 2005-11-6 16:22
膀胱憩市
作者: xiaoyanhong    时间: 2005-11-6 19:23
畸胎瘤伴腹壁疝, 待除外膀胱结石及憩室
作者: ssl1_1    时间: 2005-11-6 21:49
右下腹囊性病变,其下部可见一堆牙齿样钙化影,囊下极疝入右腹股沟,病史20年,首先考虑良性畸胎瘤[emb6]
作者: ZHANGHUANG0515    时间: 2005-11-6 23:05
考虑膀胱憩室可能.
作者: jzm01    时间: 2005-11-7 00:17
考虑膀胱憩室
作者: chenguoning99    时间: 2005-11-7 00:54
同意10楼观点。
作者: weimqoq    时间: 2005-11-7 01:20
同意9楼[emb6]
作者: xiaoniu    时间: 2005-11-7 04:46
考虑膀胱多发结石并巨大膀胱憩室可能性大。
作者: honghuqitian    时间: 2005-11-7 18:45
下腹部巨大囊性占位,囊下极疝入右腹股沟。充盈欠佳的膀胱受压后移,膀胱内见多发结石。
1.下腹部囊肿,来源待定,淋巴管?肠系膜?
2.膀胱多发结石,结合b超,同意“最好作俯卧位扫描,看高密度灶的位置有没有变化.”
作者: shibing    时间: 2015-5-28 15:57
考虑畸胎瘤伴腹壁疝。因为战友图象未传完不能完全排除肠系膜囊肿的可能性。




欢迎光临 医影在线 (http://bbs.radida.com/bbs/) Powered by Discuz! X3.2