医影在线

标题: CT2148:脑内疾患。 [打印本页]

作者: guo6607    时间: 2005-11-6 21:13
标题: CT2148:脑内疾患。
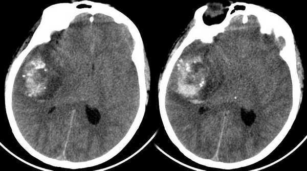
男性,46岁,平时无症状,今突发头痛来就诊!






[本贴已被 jiajie 于 2005-11-6 19:05:36 修改过]

作者: 东北    时间: 2005-11-6 21:20
海绵状血管瘤破裂出血 蛛网膜下腔出血
作者: ssl1_1    时间: 2005-11-6 21:55
肿瘤里面有钙化,有出血,灰白质及中线结构移位,考虑脑膜瘤.
作者: 朋克X-ray    时间: 2005-11-6 22:36
考虑为avm破裂出血.蛛网膜下腔出血.[emb28]
作者: yanshusir    时间: 2005-11-6 23:03
考虑出血
作者: liuzhiguang    时间: 2005-11-6 23:05
胶质瘤并出血可能,建议强化。
作者: wangzhanshuang    时间: 2005-11-7 00:30
应该是血管畸形出血啊,里面有点壮钙化影
作者: 克山    时间: 2005-11-7 00:39
此病例病理性出血没问题,考虑1.血管畸形;2.肿瘤,胶质瘤可能。建议最好先做mr检查后再综合分析为好。
作者: weimqoq    时间: 2005-11-7 00:55
平时无症状?应该avm出血可能性大一点。建议mri检查。
作者: tzl    时间: 2005-11-7 01:08
颅内肿块较大,周围水肿却不明显,必须考虑临床头痛出现是颅内出血后的伴发还是颅内占位所致?而病人平素无症状,个人观点认为海绵状血管瘤较胶质瘤可能大。
作者: fcskyeagle    时间: 2005-11-7 01:40
avm并发出血可能大,因钙化呈散在斑点状,且病灶较大不太符合 海绵状血管瘤
作者: wxy7406    时间: 2005-11-7 03:35
考虑脑膜瘤伴出血
作者: ZZHM    时间: 2005-11-7 04:01
同意8楼主意见。海绵状血管瘤一般出血量较少。
作者: jiajie    时间: 2005-11-7 04:10
右颞叶类圆形高密度影,其外上部可见散在更高密度钙化点,考虑海绵状血管瘤破裂出血。
作者: xiaoniu    时间: 2005-11-7 04:41
标题: 回复:ct2148:脑内疾患。
以下是引用jiajie在2005-11-6 20:10:00的发言:[br]右颞叶类圆形高密度影,其外上部可见散在更高密度钙化点,考虑海绵状血管瘤破裂出血。

[emb6]
作者: 新手88    时间: 2005-11-7 04:58
颅内肿瘤,胶质瘤较脑膜瘤可能性大些,蛛网膜下腔出血
作者: fxt2347    时间: 2005-11-7 05:16
颅内肿块较大,病灶内有钙化及出血,周围水肿却不明显,而病人平时无症状,首先考虑海绵状血管瘤可能大。
作者: 流星1234    时间: 2005-11-7 05:28
考虑脑血管瘤
作者: frzh    时间: 2005-11-7 05:47
颅内肿块较大,周围水肿却不明显,必须考虑临床头痛出现是颅内出血后的伴发还是颅内占位所致?而病人平素无症状,个人观点认为海绵状血管瘤较胶质瘤可能大。
作者: lkc8963    时间: 2005-11-7 07:15
只能说是颅内占位病变伴出血,脑疝形成,至于是血管畸形还是胶质瘤或脑膜瘤,依据不足,可以问病史,阅老片,或是病情稳定后增强。临床目前也不会关心到底是什么性质的肿瘤。
作者: guzhongliangddd    时间: 2005-11-7 09:36
楼上帮主说得好!我支持。但血管畸形所致的出血可能性更大,灶周水肿只薄壁环形,不具备胶质瘤的水肿特点。
作者: shibing    时间: 2015-5-28 15:57
胶质瘤并出血可能,建议强化。




欢迎光临 医影在线 (http://bbs.radida.com/bbs/) Powered by Discuz! X3.2