医影在线
标题: CT2150:左上肺野软组织病灶请求会诊 [打印本页]
作者: ZHANGHUANG0515 时间: 2005-11-6 22:58
标题: CT2150:左上肺野软组织病灶请求会诊
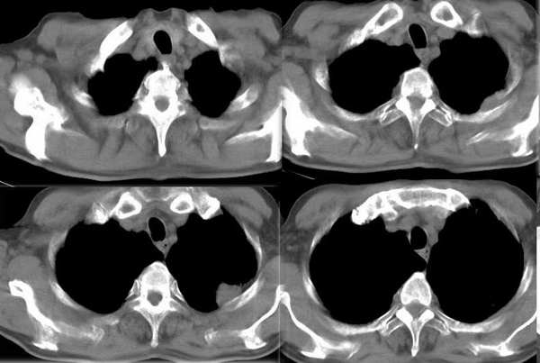
男性,76岁,现感左上胸壁疼痛,不适.
今年二月份ct检查


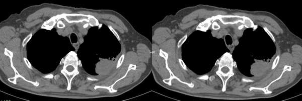
今天复查ct






薄层扫描


[本贴已被 gaozhengyi 于 2005-11-6 16:02:15 修改过]
[本贴已被 jiajie 于 2005-11-6 18:49:36 修改过]
作者: doublech 时间: 2005-11-7 00:40
我看片不多,考虑:1.左肺上叶尖后段肺肿瘤,腺癌可能?2.原发性胸膜占位病灶.3.转移性肿瘤可能性不大.
建议穿刺病理检查.
作者: 克山 时间: 2005-11-7 00:59
病变两次对照有明显进展,临近肋骨破坏,胸膜增厚,无胸水;首先考虑周围型肺ca。
作者: weimqoq 时间: 2005-11-7 01:09
[emb6]
作者: ygdygd123a 时间: 2005-11-7 01:48
考虑周围型肺ca周边少许阻塞性炎症.
作者: zjb 时间: 2005-11-7 02:16
周围性肺癌[emb6]
作者: 天天红 时间: 2005-11-7 02:20
定位于肺,增强可以除外结核,肺k有一定特征.
作者: hxchang 时间: 2005-11-7 03:03
周围型肺ca侵犯胸膜可能性大,建议病理活检。
作者: gaozhengyi 时间: 2005-11-7 03:10
和2月份片比较病灶明显增大,且有向胸壁侵犯的倾向,应该首先考虑周围型肺癌。
作者: trh9199 时间: 2005-11-7 03:16
[emb22][emb6]二楼
作者: 东北 时间: 2005-11-7 03:21
肺癌
作者: wxy7406 时间: 2005-11-7 03:47
周围型肺癌
作者: jiajie 时间: 2005-11-7 03:47
左肺上叶尖后段胸膜下软组织密度结节,形态不规则,可见浅分叶,短毛刺,与胸膜广基相连,夹角成锐角。复查10个月后明显增大。考虑周围型肺癌。
作者: ZZHM 时间: 2005-11-7 03:54
病灶较前增大,棘状突起/阻塞性肺炎并胸膜下线受侵,肋骨破坏-首先考虑肺癌。
作者: 山峰 时间: 2005-11-7 04:03
[emb6][emb26]
作者: lihua860 时间: 2005-11-7 04:06
肿块明显增大,周边见阻塞性肺气肿,考虑周围型肺癌,最好经皮肺活检。
作者: xiaoniu 时间: 2005-11-7 04:12
诊断:周围型肺癌。
理由:1病变10个月明显增大。
2左上胸壁疼痛,不适.影像表现胸膜下脂肪间隙消失,考虑胸膜有侵犯。
3年龄76岁好发年龄。
作者: guandong 时间: 2005-11-7 04:17
肺上沟瘤
作者: 流星1234 时间: 2005-11-7 04:28
肿块明显增大,有分叶,且有肋骨破坏,考虑周围型肺癌
作者: lnhsdm 时间: 2005-11-7 04:38
周边型肺癌
作者: 新手88 时间: 2005-11-7 05:01
[emb6]
作者: fxt2347 时间: 2005-11-7 05:09
病变两次对照有明显进展,临近肋骨破坏,胸膜增厚考虑周围型肺
作者: ssh7471 时间: 2005-11-7 05:34
[emb6]肺癌
作者: caihe 时间: 2005-11-7 05:37
支持周围型肺癌的诊断。
作者: zhuzy3034 时间: 2005-11-7 05:44
[emb6][emb6]
作者: wangcuimei123 时间: 2005-11-7 05:47
左肺尖后段胸膜下软组织密度肿块,形态不规则,有分叶,局部胸膜增厚,病灶周围见点片状影,与二月份片比较,肿块增大,考虑周围型肺癌伴阻塞性炎症,穿刺活检要有困难,因后方是肩胛骨躲不开.
作者: zfx 时间: 2005-11-7 06:10
支持周围型肺ca,理由:病变较上次明显增大;临近胸膜受侵犯;肋骨有破坏
作者: lkc8963 时间: 2005-11-7 06:51
标题: 回复:ct2150:左上肺野软组织病灶请求会诊
以下是引用jiajie在2005-11-6 19:47:00的发言:[br]左肺上叶后段胸膜下软组织密度结节,形态不规则,可见浅分叶,短毛刺,与胸膜广基相连,夹角成锐角,胸膜下线消失,临近肋骨受侵。复查9个月后明显增大。考虑周围型肺癌。
作者: 孙医生 时间: 2005-11-7 07:05
考虑边缘型肺癌
作者: dglq 时间: 2005-11-7 18:40
周围型肺癌,腺癌可能性大.
作者: guzhongliangddd 时间: 2005-11-7 20:20
通过对比首先考虑是周围性肺癌。建议战友认真问患者是否正规抗炎治疗。病灶内见小空洞。若有平扫和强化的相同部位ct值测定对定性有很大的帮助!!
作者: 我爱影像 时间: 2005-11-8 01:11
周围性肺癌
作者: 庸者无畏 时间: 2005-11-8 03:52
应该是周围型肺癌。他的病情进展不符和结核、炎症。
作者: sdqzwyx 时间: 2005-11-8 04:14
以下是引用jiajie在2005-11-6 19:47:00的发言:
左肺上叶后段胸膜下软组织密度结节,形态不规则,可见浅分叶,短毛刺,与胸膜广基相连,夹角成锐角,胸膜下线消失,临近肋骨受侵。复查9个月后明显增大。考虑周围型肺癌。
[emb6][emb6]
作者: ZZHM 时间: 2005-11-8 06:35
补充昨日意见-考虑起源于胸膜可能性(恶性间皮瘤或转移瘤);因为近胸膜下小于1cm距离内周围型肺癌一般不引起胸膜增厚,复查见肿块增大,胸膜不均匀变厚,伴有肋骨破坏,图象不全,如有胸水,意义更大。
作者: shenjun18 时间: 2005-11-8 06:43
两次病灶变化较大,肋骨好像有破,应该考虑肺ca
作者: liuzhiguang 时间: 2005-11-8 07:44
周围型肺ca[emb6]
作者: 大头 时间: 2005-11-8 20:05
考虑:周围型肺癌。[emb6]
作者: zhuming943066 时间: 2005-11-9 04:05
ca[emb6]
作者: ssl1_1 时间: 2005-11-9 05:37
[emb6]周围型肺癌
作者: ZHANGHUANG0515 时间: 2005-12-2 16:56
感谢各位战友,现在病理出来了是左上肺腺癌
作者: shibing 时间: 2015-5-28 15:56
周围型肺ca侵犯胸膜可能性大,建议病理活检。
| 欢迎光临 医影在线 (http://bbs.radida.com/bbs/) |
Powered by Discuz! X3.2 |