




























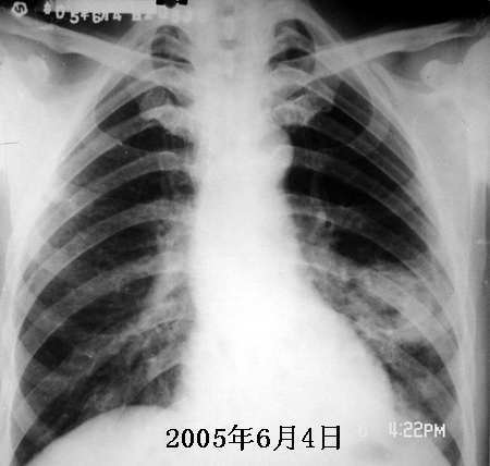
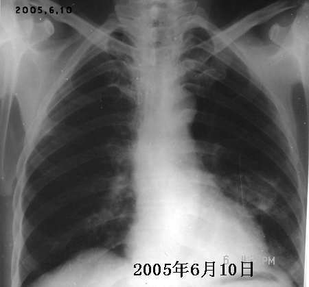
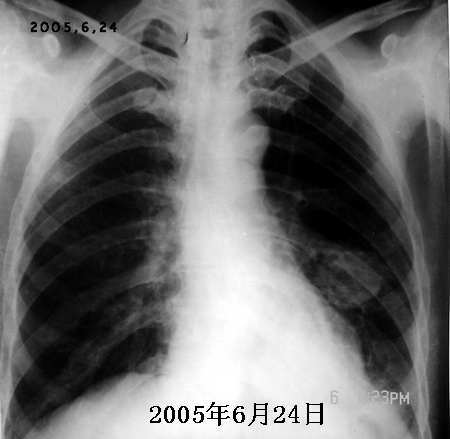
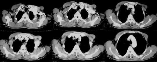
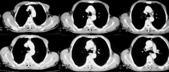
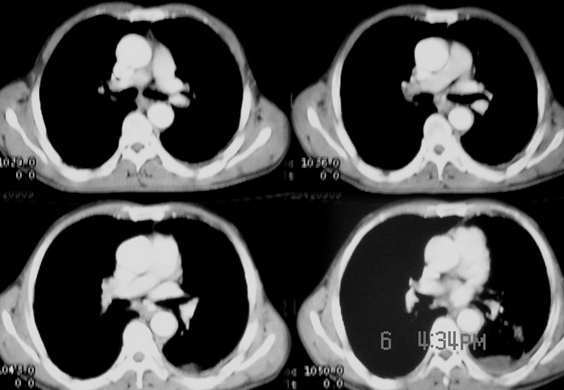
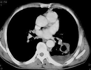
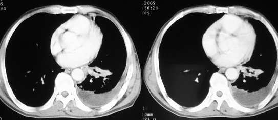
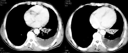
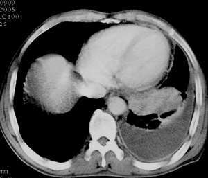
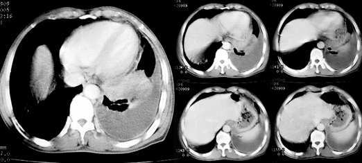
以下是引用jiajie在2005-11-6 22:07:00的发言:[br]1)左肺下叶阻塞性肺炎,胸腔积液,中心型肺癌可能大,建议纤支镜。[br]2)结合30年打石史,双肺弥漫性小结节考虑矽肺。
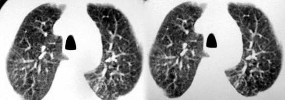
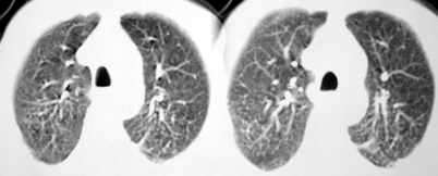
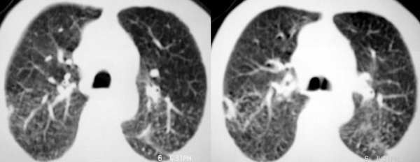
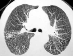
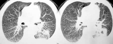
以下是引用sdqzwyx在2005-11-7 19:59:00的发言:[br]双肺弥漫大小不等的粟粒状结节影;肺纹理走行失去自然,粗细不均,边缘不规则,小叶间隔增厚;左上肺示不规则形致密影,从斑块边缘向周围伸出长短不一的致密索条影,临近的血管、支气管和叶间胸膜等结构受牵拉移位;左下肺示不规则团块状影,其内示空洞,洞内壁尚光整,左侧胸腔积液。右肺下叶背段亦示部分病灶融合。双肺可见局限性肺气肿。[br]诊断:结合病史符合三期矽肺表现(少数矽肺纤维斑块内可以形成空洞,一般认为是斑块中央感染引起坏死所致)但尘肺病人易合并肺结核,诊断可为三期+tb。所以此病人应进一步检查是否合并结核。
| 欢迎光临 医影在线 (http://bbs.radida.com/bbs/) | Powered by Discuz! X3.2 |