医影在线
标题: CT2159:颅脑病变.请各位同道会诊 [打印本页]
作者: chxl0000 时间: 2005-11-7 18:08
标题: CT2159:颅脑病变.请各位同道会诊
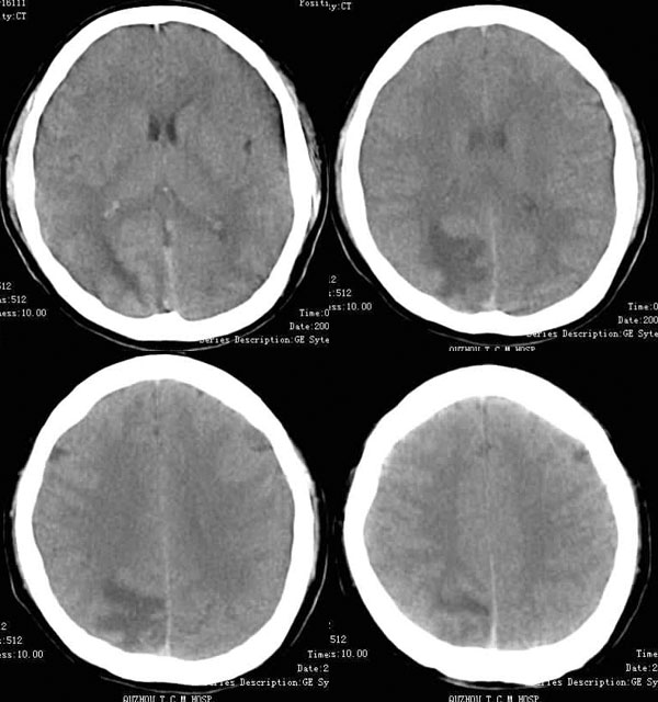
男.30岁.反复头痛半年.最近一星期加重.后边几幅是5mm扫描的



[本贴已被 gaozhengyi 于 2005-11-7 11:27:16 修改过]
作者: honghuqitian 时间: 2005-11-7 18:24
占位效应比较轻。考虑星形细胞瘤,建议增强或mr检查
作者: 影像一生 时间: 2005-11-7 19:27
ct平扫:右顶叶可见大片指状水肿,边缘不清,其内后部似有一小环形略高密度影。
增强扫描:指状水肿不强化,其内后部有一圆形厚壁强化环,内壁光滑,外壁较毛糙,占位不明显。
结合临床,考虑右顶叶结核瘤并发结核脓肿。
应与化脓性脑脓肿鉴别,化脓性脑脓肿发病率高,进展快,灶周水肿轻,而结核性脓肿较少见,通常肿脓壁较厚,灶周水肿明显,常与脑膜炎或(和)结核瘤并存。鉴别诊断必须密切结合临床。本例病人病程长,进展慢,灶周水肿明显。
作者: guzhongliangddd 时间: 2005-11-7 20:36
我首先考虑是脑实质型结核{病灶位于左顶后,两枚,分别呈明显结节壮实性强化和均匀环壮薄壁强化,灶周水肿呈堤壮}。建议战友能作随访,有结果希望告诉!
作者: yzt222 时间: 2005-11-7 21:14
我也考虑脑脓肿。有没有发烧史
作者: 东北 时间: 2005-11-7 21:20
应该查查胸部 转移瘤?
作者: 新手88 时间: 2005-11-7 23:06
炎性肉芽肿,以结核性最多见
作者: 龙刚 时间: 2005-11-7 23:16
[emb6]3楼
作者: suxinya 时间: 2005-11-7 23:27
考虑星形细胞瘤
作者: 重炮手 时间: 2005-11-7 23:28
标题: 回复:ct2159:颅脑病变.请各位同道会诊
两枚?[emb10]
作者: lushijun 时间: 2005-11-7 23:31
[emb6]3楼意见
作者: 362122 时间: 2005-11-7 23:36
炎症.结核.肿瘤都可以,还须结合临床和实验室检查分析才全面.
作者: GM2008 时间: 2005-11-7 23:44
脑囊虫复发;建议mr检查除外胶质瘤。
作者: 我爱影像 时间: 2005-11-8 00:02
考虑右顶叶结核瘤。
作者: huangaiying1 时间: 2005-11-8 01:13
转移瘤可能,瘤小水肿大
作者: gaozhengyi 时间: 2005-11-8 01:22
右顶叶病灶,呈规则的环状强化,周围有明显的水肿带,为典型的炎性肉芽肿表现。炎性肉芽肿可以为化脓性和结核性和由囊虫引起。
近年由于畜牧肉品防疫的加强,脑囊虫病已经越来越少了,在青少年发病率更低。囊虫病往往为多发,颅内病变可以密度不一,典型者为囊性薄壁内有呈点状高密度的头结,周围水肿。由于囊液含异体蛋白加上病变的刺激,局部脑组织发生炎性反应,增强扫描可见环状强化,在以炎性增生为主的病变,可以呈结节性强化。除脑实质内囊虫外,脑室、脑沟、脑池内均可以发生。
化脓性肉芽肿的原因一个是全身感染的一部分,即其他部位的感染灶形成败血症,细菌入脑繁殖,形成脓肿,这种情况近年也已比较少见了,更多见的原因是临近感染的蔓延,最常见的如中耳炎炎症突破颅骨和脑膜而形成颞叶的脑脓肿、额窦的炎症形成额叶的脑脓肿等。细菌性脑脓肿往往较大,除原发病灶和颅高压的表现外,患者全身症状明显。
结核性肉芽肿近年病例增多,常常伴有其他部位的结核如肺结核,病灶多位于皮质区,中心常常为干酪样坏死,形成环状强化的表现,病程长者可见钙化。本例病变位于上矢状窦旁,非化脓性脑脓肿的好发部位,应该首先考虑结核性脑内肉芽肿。
作者: jiajie 时间: 2005-11-8 01:51
皮质内小环形强化,环壁厚而光整,周围有明显水肿。考虑脑囊虫病。
结核通常中心密度较高,或钙化,环形强化后出现靶征。
脓肿多环壁较薄,有张力。
真菌感染脓腔密度较高。
作者: guo6607 时间: 2005-11-8 03:03
标题: 回复:ct2159:颅脑病变.请各位同道会诊
以下是引用东北在2005-11-7 13:20:00的发言:[br]应该查查胸部 转移瘤?
年龄是否小了些?
作者: xiaoniu 时间: 2005-11-8 03:34
考虑右顶叶结核瘤并发结核脓肿。
作者: 庸者无畏 时间: 2005-11-8 03:36
肿瘤不是,脑脓肿可能性大。
作者: 13081830109 时间: 2005-11-8 04:18
炎性肉芽肿[emb6][emb6]
作者: kbzyycm 时间: 2005-11-8 04:44
[emb6]楼上战友.
作者: wxy7406 时间: 2005-11-8 05:40
考虑结核。以前本网站有这一例。
作者: hejie 时间: 2005-11-8 05:49
脑脓肿.
作者: zfx 时间: 2005-11-8 06:09
[emb6]脑脓肿
作者: 大头 时间: 2005-11-8 06:21
脑脓肿[emb6]
作者: lkc8963 时间: 2005-11-8 06:47
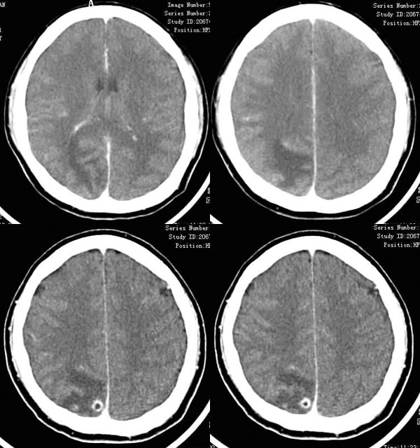
ct平扫:右顶叶可见大片指状水肿,边缘不清,其内后部似有一小环形略高密度影。
增强扫描:指状水肿不强化,其内后部有一圆形厚壁强化环,内壁光滑,外壁较毛糙,占位不明显;余处示多发点条状强化。
结合临床,考虑右顶叶肉芽肿性病变。
需与胶质瘤,转移瘤区别,本例为年轻患者,慢性病程,实性成分较少,病灶散在多形强化,环影内密度较低,强化规则。建议做个胸片检查,可能会对诊断有利。
作者: 维生素 时间: 2005-11-8 07:04
考虑右顶叶结核瘤
作者: ssh7471 时间: 2005-11-8 07:18
[emb6]tb性肉芽肿
作者: cxg 时间: 2005-11-8 20:11
结核要首要考虑!根据临床除外化脓性感染
作者: wangcuimei123 时间: 2005-11-8 23:00
右顶叶结核性肉芽肿[emb6]
作者: zhongguolong518 时间: 2005-11-8 23:12
[emb6][emb6][emb6]右顶叶结核性肉芽肿。[emb26]
作者: ssl1_1 时间: 2005-11-9 05:22
肉芽肿,多为单发,病灶位于皮质下区,以顶叶多见,常呈环状强化.全部符合
作者: 乡医 时间: 2005-11-29 05:54
考虑脑tb,理由:1慢性发病2典型环行强化3指样水肿不象转移瘤那样明显4位于皮层下
与转
移瘤鉴别:1 老年2 多发 3 指样水肿明显,形成大水肿小瘤体样,甚至中线移位。4 一般强化壁较薄
不足之处请多指教!
作者: yang4132 时间: 2005-11-30 00:14
炎性肉芽肿,结核性?细菌性?结合实验室检查。
作者: wushilong 时间: 2005-12-1 18:50
支持结核。建议增强观测附近脑膜有否强化
作者: gbj8004 时间: 2005-12-1 20:31
标题: 回复:ct2159:颅脑病变.请各位同道会诊
以下是引用影像一生在2005-11-7 11:27:00的发言:[br]ct平扫:右顶叶可见大片指状水肿,边缘不清,其内后部似有一小环形略高密度影。[br]增强扫描:指状水肿不强化,其内后部有一圆形厚壁强化环,内壁光滑,外壁较毛糙,占位不明显。[br]结合临床,考虑右顶叶结核瘤并发结核脓肿。[br]应与化脓性脑脓肿鉴别,化脓性脑脓肿发病率高,进展快,灶周水肿轻,而结核性脓肿较少见,通常肿脓壁较厚,灶周水肿明显,常与脑膜炎或(和)结核瘤并存。鉴别诊断必须密切结合临床。本例病人病程长,进展慢,灶周水肿明显。[br]
作者: shibing 时间: 2015-5-28 15:54
星形细胞瘤
| 欢迎光临 医影在线 (http://bbs.radida.com/bbs/) |
Powered by Discuz! X3.2 |