医影在线
标题: CT2194:右肺病变 [打印本页]
作者: ht19790909 时间: 2005-11-14 03:01
标题: CT2194:右肺病变
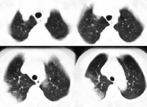
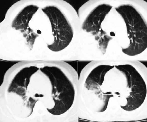
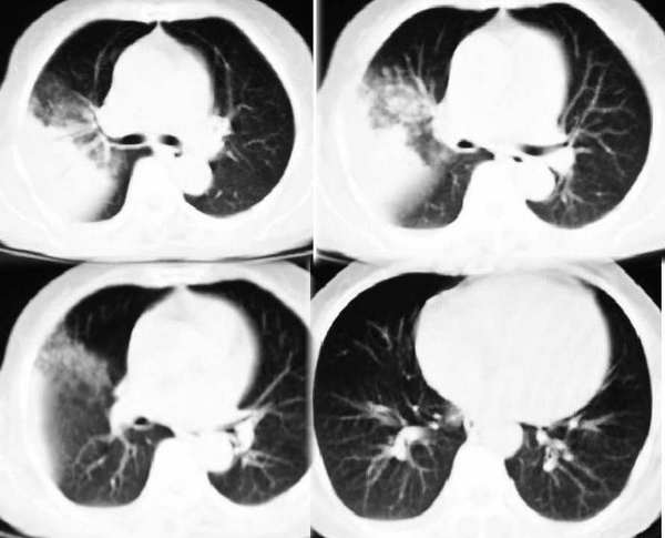
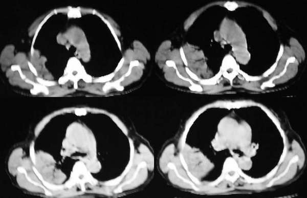
咳嗽10多天,畏寒,发热3天,











[本贴已被 jiajie 于 2005-11-13 19:48:36 修改过]
作者: ycbabc 时间: 2005-11-14 03:20
右肺炎性病变
作者: 318479 时间: 2005-11-14 03:38
应该是炎性病变吧,
作者: guduchunmeng 时间: 2005-11-14 03:50
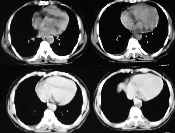
右肺大片状阴影,边缘模糊,其内见充气支气管征。肺门结构正常。支持肺炎性病变。
作者: zhuming943066 时间: 2005-11-14 03:56
炎症
作者: hejie 时间: 2005-11-14 03:58
大叶性肺炎.
作者: 流星1234 时间: 2005-11-14 04:03
右肺大片渗出性实变,其内见支气管征,考虑肺炎
作者: jiajie 时间: 2005-11-14 04:06
右肺上叶尖后段大片扇形实变影,密度较均匀,内见支气管空气造影征,气管腔静脉间淋巴结稍大呈小结节影,结合临床考虑大叶性肺炎。
作者: kbzyycm 时间: 2005-11-14 04:34
右肺炎性病变.
作者: jsgaojian 时间: 2005-11-14 04:36
右肺上叶尖后段大片扇形实变影,边缘略呈云片状渗出。并见“支气管气相”,结合病史支持大叶性肺炎诊断。建议正规抗炎复查。
作者: 13081830109 时间: 2005-11-14 04:49
右肺大片状阴影,边缘模糊,其内见充气支气管征。肺门结构正常。支持肺炎性病变
作者: 影象王 时间: 2005-11-14 05:18
右肺炎性病变,其他征象各位站友都已经讲了。
作者: lkc8963 时间: 2005-11-14 05:22
标题: [原创]
右上肺后段节段性肺炎。病史急,感染症状,结合影像表现:近肺门侧无块,应首先考虑肺炎,本例无恶性特征。
[本贴已被 lkc8963 于 2005-11-13 21:24:06 修改过]

[本贴已被 lkc8963 于 2005-11-13 21:28:29 修改过]
作者: liuzhiguang 时间: 2005-11-14 05:33
右上肺大叶性肺炎
作者: no 时间: 2005-11-14 05:40
什么病就不说了,机器和我们的一样孬[emb5]
作者: xiaoniu 时间: 2005-11-14 05:43
右肺大片云片状渗出性阴影,边缘模糊,扇形分布其内见充气支气管征,肺纵比率<50%,结合病史支持大叶性肺炎诊断。
作者: 阳光 时间: 2005-11-14 06:05
右上叶后段见大片状实变阴影,见含气支气管征,近肺门见支气管血管束增粗,上腔静脉后见小淋巴结. 后胸膜腔见少量积液. 印象:1,大叶性肺炎.2,节段性肺炎<混合菌感染>.3.建议抗炎后复查待除外其他病变
作者: sammycn 时间: 2005-11-14 06:11
右上叶后段见大片状实变阴影,见含气支气管征,近肺门见支气管血管束增粗,上腔静脉后见小淋巴结. 后胸膜腔见少量积液. 印象:1,大叶性肺炎.2,节段性肺炎<混合菌感染>.3.建议抗炎后复查待除外其他病变
[emb6]
作者: ck3215123 时间: 2005-11-14 06:12
[emb6肺炎
]
作者: 01xihui01 时间: 2005-11-14 06:17
考虑大叶性肺炎,建议抗炎治疗后复查。
作者: 山谷幽兰 时间: 2005-11-14 06:39
大叶性肺炎(实变期)
作者: jzm01 时间: 2005-11-14 06:45
大叶性肺炎,建议抗炎治疗后复查
作者: wangzhanshuang 时间: 2005-11-14 07:09
应该是大叶性肺炎,下袁平直,且见空气支气管,分支清楚,没有枯树枝那种改变
作者: 东北 时间: 2005-11-14 16:09
大叶性肺炎
作者: 山野樵夫 时间: 2005-11-14 16:37
右肺大片状阴影,边缘模糊,其内见充气支气管征,首先考虑大叶性肺炎,抗炎治疗的同时再做一个痰培养排除浸润性结核吧
作者: frzh 时间: 2005-11-14 16:45
大叶性肺炎,建议抗炎治疗后复查
作者: 航书 时间: 2005-11-14 16:47
大叶性肺炎.
作者: gaozhengyi 时间: 2005-11-14 16:48
右肺上叶肺实变,内见①支气管气像②边缘模糊③叶间裂稍饱满这些都是支持肺炎的证据。尤其是边缘模糊,其病理学依据是炎症渗出性物质通过肺泡间孔和/或呼吸性细支气管向临近的肺组织蔓延渗透,和其他表现在一起成为诊断肺炎的重要表现。
作者: fxt2347 时间: 2005-11-14 17:04
右肺上叶尖后段大片扇形实变影,密度较均匀,内见支气管空气造影征,考虑大叶性肺
作者: XGY_2005 时间: 2005-11-14 18:26
大叶性肺炎
作者: 我爱影像 时间: 2005-11-14 18:51
右肺大片状阴影,边缘模糊,其内见充气支气管征。肺门结构正常。支持肺炎性病变
作者: wanghuier 时间: 2005-11-14 19:13
首先考虑炎症:团块软组织阴影,内有支气管充气征。
其次肺淋巴瘤也可以为肺外围的肿块,其内见支气管充气征。
作者: 杏林英杰 时间: 2005-11-14 19:20
右肺上叶尖后段大片扇形实变影,密度较均匀,内见支气管空气造影征,气管腔静脉间淋巴结稍大呈小结节影,结合临床考虑大叶性肺炎
作者: lnhsdm 时间: 2005-11-14 20:37
右肺实变影,内见空气支气管征,纵隔内未见异常结构,肺炎
作者: lyb999 时间: 2005-11-14 21:23
大叶性肺炎
作者: liaoqiang 时间: 2005-11-14 22:21
征象如大家谈的,考虑肺炎。随访复查。
作者: dglq 时间: 2005-11-15 00:04
右肺感染性病变,考虑大叶性肺炎可能.
作者: sea海hai 时间: 2005-11-15 02:43
大叶性肺炎,右侧少量反应性胸水
作者: llh913 时间: 2005-11-15 03:14
标题: 回复:ct2194:右肺病变
右肺上叶尖后段大片扇形实变影,密度较均匀,内见支气管空气造影征,气管腔静脉间淋巴结稍大呈小结节影,结合临床考虑大叶性肺炎。建议抗炎治疗后复查.
作者: caihe 时间: 2005-11-15 03:32
支持右上肺后段炎性病变。
作者: ssl1_1 时间: 2005-11-15 06:11
大叶性肺炎
作者: wxy7406 时间: 2005-11-15 06:40
经典大叶性肺炎,建议抗炎后复查
作者: shibing 时间: 2015-5-28 16:08
右肺炎性病变.
| 欢迎光临 医影在线 (http://bbs.radida.com/bbs/) |
Powered by Discuz! X3.2 |