医影在线
标题: X0455:骨盆,男45Y。 [打印本页]
作者: ctm 时间: 2005-11-20 03:07
标题: X0455:骨盆,男45Y。
男,57,髋关节疼痛1年。

[本贴已被 jiajie 于 2005-11-19 21:57:57 修改过]
作者: 流沙 时间: 2005-11-20 04:34
骨髓炎?
作者: kjgj 时间: 2005-11-20 04:42
x:关节面光整,间隙正常,骨纹理连续,密度均匀,关节囊正常.-------髋关节正常.
髂骨外缘不均影考虑发育改变.
作者: zxc160654 时间: 2005-11-20 04:45
我认为是既往疾病导致的陈旧性改变,仔细问问病史
作者: guandong 时间: 2005-11-20 05:03
考虑为paget病
作者: ZHWW 时间: 2005-11-20 20:07
有无肿瘤病史?
作者: wuyingke 时间: 2005-11-20 21:12
再提供一些临床资料.
作者: 老鼠爱大米 时间: 2005-11-20 21:16
做ct吧
嘿嘿~~
作者: 向医生 时间: 2005-11-21 01:25
标题: 回复:x0455:骨盆,男45y。
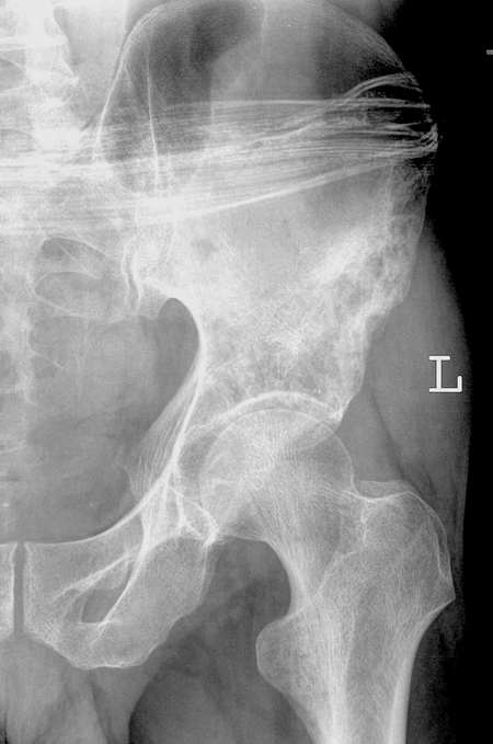
左髂骨内可见多发小透亮区,其内呈网格样,周边有硬化,骨皮质未见穿破,临近软组织内无肿瘤骨.
诊断:左髂骨血管瘤.
讨论:
骨血管瘤为原发于骨血管的良性肿瘤。组织学上可分为海绵状血管瘤和毛细血管瘤两型。前者,是由大的薄壁血管和血窦构成,其中充满血液,表面被覆一单层的扁平内皮细胞,好发生于脊柱和颅骨 。毛细血管型血管瘤,较少见,由极度扩张增生的毛细血管型构成,为柔软暗红色,好发于扁骨和长管状骨干骺端。
骨血管瘤的基本影像学表现:垂直型呈栅栏状或网眼状,为垂直排列的粗糙的小梁,是脊柱血管瘤典型x 线表现。由于椎体内松质骨结构吸收减少和消失,为适应力线,骨小梁代偿增粗,纵形排列,间以低密度间隙,呈栅栏状。ct 平扫,椎体松质骨呈粗大网眼状改变,残留骨小梁增粗,呈稀疏排列的高密度斑点,矢状面或冠状面重建图像呈栅栏状改变。偶而可见椎旁软组织肿块。日光型显示自板障伸出的太阳光芒状骨针,x 线正位片上自骨缺损区中央向周围放射状排列,切位片上显示病变膨隆,膨出部分可见与颅骨垂直的骨针,亦呈放射状。ct 除能显示以上征象外,并能显示肿瘤向颅内生长脑皮质受压内移。泡沫状多见于长管状骨和扁平骨血管瘤。肿瘤呈泡沫状溶骨破坏,患者局部呈梭形膨胀,周围皮质变薄,一般无骨膜反应 。
作者: X线 时间: 2005-11-21 03:10
病变范围较大,无清楚边缘,考虑感染可能性大。有左髂骨手术史吗?
作者: 骨头206 时间: 2005-11-21 03:19
慢性骨髓炎??
作者: lushijun 时间: 2005-11-21 04:50
支持慢性骨髓炎改变,不除外其它低毒性感染所致
作者: chry3 时间: 2005-11-22 05:53
为什么不排健侧,病人疼痛,且骨质有异常变化,不会是正常髋关节,炎症?骨髓瘤?郁闷!
作者: chengwei 时间: 2005-11-22 17:48
左髂骨血管瘤.支持
作者: tinalhy 时间: 2005-11-22 20:53
支持向医生的说血管瘤,建议作ct 检查,进一步明确诊断
其实应该双侧对比看比较好看
作者: yingxiangdoctor 时间: 2005-11-23 03:35
同意9楼意见,另外还可以考虑动脉瘤样骨囊肿.各位可有异议?
作者: wxy7406 时间: 2005-11-24 04:50
我感觉左侧髂骨恶性肿瘤不能除外;因为右侧髂骨不仅是向老师所描述的下外侧病变,内侧也有病灶,骨破坏边界硬化不是很明显,且骨盘平片不好确认是否有软组织肿块。建议ct扫描,以便能更好显示病变内部结构和有无软组织中块。左侧髋关节未见病变。
作者: 寻芳者 时间: 2005-11-24 06:32
单从图片及简单病史,还是首先考虑“低毒感染”,也得先排除“血管瘤”!!!!
作者: totolu 时间: 2005-11-24 07:55
同意以上各位意见,能有更多的资料就好了
作者: dd-4328149 时间: 2005-11-25 19:27
血管瘤的可能性较小,感染性病变可能性大。有无更多临床资料?
作者: zjkwxzjw 时间: 2005-11-26 00:23
左髋关节内未见明显骨质异常,关节间隙也适中,边缘清晰,应该没什么问题。左侧髂骨外侧缘可见多发的小透亮影,边缘呈网格样硬化,考虑是血管瘤的可能性大,建议骨穿。
作者: 笨鸟学飞1 时间: 2005-12-21 05:17
向医师你是我的偶像~~!!我赞同!
作者: 实习医生 时间: 2006-3-18 12:59
paget病
作者: jinguoji 时间: 2006-11-13 21:11
支持慢性骨髓炎改变
作者: shibing 时间: 2012-9-19 07:41
支持慢性骨髓炎改变,不除外其它低毒性感染所致
欢迎光临 医影在线 (http://bbs.radida.com/bbs/) |
Powered by Discuz! X3.2 |