医影在线
标题: X0459:胸部 有结果 [打印本页]
作者: tsxhfsk 时间: 2005-11-24 03:17
标题: X0459:胸部 有结果
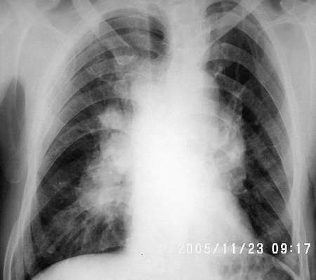
男 40 胸闷 咳嗽半年 物理检查无阳性发现


[本贴已被 jiajie 于 2005-11-23 20:55:08 修改过]
作者: 李伯菊 时间: 2005-11-24 03:27
淋巴源性肿瘤 结节病
作者: jjx 时间: 2005-11-24 03:50
结节病的典型表现
作者: guduchunmeng 时间: 2005-11-24 04:07
标题: 回复:胸部 有结果
以下是引用jjx在2005-11-23 19:50:00的发言:[br]结节病的典型表现
作者: jessica2005 时间: 2005-11-24 04:32
结节病2期! 如果有详细临床资料,请结合.
作者: mzj-329 时间: 2005-11-24 04:42
双肺门增大,结节病
作者: lls0123 时间: 2005-11-24 05:23
淋巴结核?结节病?
作者: 流星1234 时间: 2005-11-24 05:29
临床资料:男,40岁,胸闷,咳嗽半年,余无异常
影像表现:双侧肺门对称性增大,双肺野内纹理增强
诊断:结节病
鉴别诊断:1)淋巴瘤:以纵隔淋巴肿大较为突出
2)淋巴结结核:通常以侵犯一侧为主
3)肺部淋巴性转移:肺门淋巴结肿大多显影不清楚,且有它处转移
作者: zxd95 时间: 2005-11-24 05:50
病史:男 40 胸闷 咳嗽半年
征象:右肺门明显肿大,右上纵膈增宽并见软组织影,左肺门增大不明显或略大。
考虑:结节病,中青年多见,常侵犯肺、双侧肺门淋巴结,纤维支气管镜检查活检。此外,血清免疫球蛋白增高、高血钙症、高尿钙症、碱性磷酸酶增高等对诊断有一定的意义。
鉴别:
1、淋巴瘤,发热,身体表浅淋巴结肿大;
2、中央型肺癌,临床一般都有咯血丝;
3、建议胸部ct进一步检查。
作者: 寻芳者 时间: 2005-11-24 06:18
首先考虑: 结节病!!!!
请给病史!!
作者: totolu 时间: 2005-11-24 08:05
结节病的可能性比较大
作者: hszhoupeng 时间: 2005-11-24 18:14
双肺门增大,结合临床资料(胸闷,咳嗽)我首先考虑结节病.新手来向各位老师学习.
作者: sunjh2266 时间: 2005-11-24 19:44
请问物理检查包括什么
作者: 向武昌 时间: 2005-11-24 20:26
支持8楼.
作者: mengyi20 时间: 2005-11-24 23:43
考虑结节病,不排除淋巴瘤。
作者: huangaiying1 时间: 2005-11-26 01:18
支持结节病
作者: dddxb 时间: 2005-11-26 03:15
淋巴瘤.
作者: tsxhfsk 时间: 2005-11-26 03:33
物理检查主要是望,触,口,听.内容太多
作者: ahhui2001 时间: 2005-11-26 07:51
可以查下kveim试验
ace
血尿ca
作者: tsxhfsk 时间: 2005-11-26 22:56
结果 结节病 病人提供外院ct片经激素治疗好转
作者: 陈医生123 时间: 2005-11-26 23:11
建议ct检查
作者: caihe 时间: 2005-11-27 04:52
支持结节病诊断。
作者: meme521 时间: 2005-11-28 03:44
学习来了,刚刚起步
作者: gdlwx001 时间: 2005-11-28 03:52
支持9楼
作者: chry3 时间: 2005-11-28 04:51
经典
作者: l-y~t~001 时间: 2005-11-28 05:29
首先考虑恶性淋巴瘤,其次考虑结节病。
作者: zq921129 时间: 2005-12-1 00:39
结节病:结节病抗原试验阳性!!!! 结合临床!!!!!!!
作者: 王大夫 时间: 2005-12-1 02:23
支持结节病诊断
作者: wawaquan 时间: 2005-12-2 05:21
标题: 回复:x0459:胸部 有结果
以下是引用流星1234在2005-11-23 21:29:00的发言:[br]临床资料:男,40岁,胸闷,咳嗽半年,余无异常[br]影像表现:双侧肺门对称性增大,双肺野内纹理增强[br]诊断:结节病[br]鉴别诊断:1)淋巴瘤:以纵隔淋巴肿大较为突出[br] 2)淋巴结结核:通常以侵犯一侧为主[br] 3)肺部淋巴性转移:肺门淋巴结肿大多显影不清楚,且有它处转移
作者: jinguoji 时间: 2006-11-11 23:38
考虑结节病.
作者: yrjw 时间: 2007-8-22 07:20
病史:男 40 胸闷 咳嗽半年
征象:右肺门明显肿大,右上纵膈增宽并见软组织影,左肺门增大不明显或略大。
考虑:结节病,中青年多见,常侵犯肺、双侧肺门淋巴结,纤维支气管镜检查活检。此外,血清免疫球蛋白增高、高血钙症、高尿钙症、碱性磷酸酶增高等对诊断有一定的意义。
鉴别:
1、淋巴瘤,发热,身体表浅淋巴结肿大;
2、中央型肺癌,临床一般都有咯血丝;
3、建议胸部ct进一步检查。
作者: shibing 时间: 2013-4-9 07:46
标题: Re:X0459:胸部 有结果
淋巴源性肿瘤 结节病
作者: lyming00 时间: 2013-4-10 06:24
标题: Re:X0459:胸部 有结果
淋巴源性肿瘤 结节病 学习了 谢谢分享
| 欢迎光临 医影在线 (http://bbs.radida.com/bbs/) |
Powered by Discuz! X3.2 |