医影在线
标题: CT2280:[讨论]腹部肿块,准备手术! [打印本页]
作者: 山野樵夫 时间: 2005-11-28 03:18
标题: CT2280:[讨论]腹部肿块,准备手术!
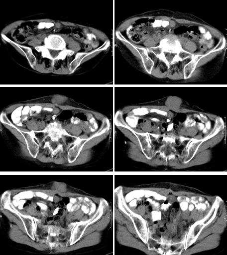
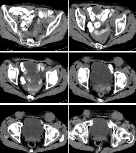
女,65岁,三月前发现腹部包快,无临床症状。



[本贴已被 jiajie 于 2005-11-27 19:44:43 修改过]
作者: l-y~t~001 时间: 2005-11-28 04:06
腹壁软组织密度肿瘤伴双侧腹股沟淋巴结肿大,考虑恶性肿瘤,最后靠病理诊断。
作者: hejie 时间: 2005-11-28 04:14
腹壁见多个软组织块影,边缘清楚,以硬纤维瘤和脂肪瘤常见。血管瘤,神经性肿瘤均少见。脂肪瘤有脂肪影,可排除。考虑硬纤维瘤。
作者: no 时间: 2005-11-28 04:28
淋巴瘤(两腹股沟及左髂窝).前腹皮下转移.
作者: haogandian 时间: 2005-11-28 04:29
腹壁下见多个肿块影,边界清密度均,考虑:纤维瘤。
作者: leesen 时间: 2005-11-28 04:58
腹壁软组织密度肿块,腹股沟考虑淋巴结肿大,,综合考虑为恶性肿瘤并淋巴结转移!
作者: xn2ylwg 时间: 2005-11-28 05:43
同意图6楼意见。
作者: 影象王 时间: 2005-11-28 05:49
支持纤维瘤诊断!
作者: huangaiying1 时间: 2005-11-28 05:59
腹壁见多个软组织肿块,支持纤维瘤
作者: guzhongliangddd 时间: 2005-11-28 06:10
因为没有强化扫描和详细的临床情况{如肿块是否有移动,按压痛}对肿块是否是淋巴结组织或实性组织的判断带来困难。病灶位于腹白线和腹股沟旁{而且是对称分布!},首先应该考虑是淋巴结,至于是何种原因引起的淋巴结肿大只能结合临床考虑。另外要考虑到3楼战友分析的硬纤维瘤{属于良性},还有腹壁续发性肿瘤它也具有沿淋巴转移的特点。
作者: gdlwx001 时间: 2005-11-28 06:20
支持10楼的观点,有增强就更好
作者: ck3215123 时间: 2005-11-28 06:31
考虑:纤维瘤
作者: lushijun 时间: 2005-11-28 13:21
支持纤维瘤
作者: 东北 时间: 2005-11-28 16:12
淋巴节转移瘤
作者: slc0002slc 时间: 2005-11-28 16:39
腹壁纤维肉瘤或转移瘤。
作者: liuwensi 时间: 2005-11-28 17:27
考虑淋巴瘤伴转移
作者: aosangwa 时间: 2005-11-28 17:33
考虑淋巴瘤
作者: llh913 时间: 2005-11-28 18:07
腹股沟淋巴结对称增大,考虑腹壁的纤维瘤.
作者: guzhongliangddd 时间: 2005-11-28 21:08
1,若把腹壁{白线部位}的病灶考虑为纤维瘤,双恻腹股沟区考虑为淋巴结,我觉得有点欠妥,因为纤维瘤属于良性,它具有不会转移的特点,但具有手术后复发的特点。2,若把腹壁部软组织考虑为恶性,双恻病灶考虑为肿大淋巴结,但病灶的影像不具备恶性肿瘤的特点。以上浅见!
作者: 建华 时间: 2005-11-29 02:02
脐尿管癌伴淋巴结转移.
作者: gaozhengyi 时间: 2005-11-29 02:25
腹壁皮下脂肪内及双侧腹股沟区多发软组织密度肿块,肿块形态不规则,与皮肤粘连,根据其多发的特点,结合患者为老年女性,三月前新发病灶,应该首先考虑为转移性病变,应积极寻找原发癌瘤。
作者: zhihuixinglwg 时间: 2005-11-29 02:42
缺少增强片子,病变发现的时间短肿物较大,首先考虑恶性肿物的可能性大
作者: tsxhfsk 时间: 2005-11-29 02:51
支持纤维瘤诊断!
作者: caihe 时间: 2005-11-29 02:56
双侧腹股沟见肿大淋巴结,下腹部前壁类圆形等密度影,不除外转移性病灶,支持21楼分析。
作者: ssl1_1 时间: 2005-11-29 03:24
淋巴瘤
作者: yang4132 时间: 2005-11-29 03:36
前腹壁皮下及两侧腹股沟多发结节,境界清晰,周围脂肪间隙清晰,考虑良性病变,硬纤维瘤。
作者: 流星1234 时间: 2005-11-29 03:46
年龄较大,多发结节肿块,先考虑转移性灶,建议取活检
作者: zkszjq 时间: 2005-11-29 05:49
支持21楼的意见
作者: jiangjing 时间: 2005-11-30 02:03
腹壁及腹股沟区软组织肿块,肿块较大无包绕血管征,边界较清楚,.
女,65岁,三月前发现腹部包快,无临床症状。
考虑1间叶组织肿瘤。2转移瘤待排。
作者: 帅河马 时间: 2005-11-30 02:11
标题: 回复:ct2280:[讨论]腹部肿块,准备手术!
腹壁下见多个肿块影,边界清密度均,考虑:纤维瘤。
作者: shibing 时间: 2015-5-31 13:16
因为没有强化扫描和详细的临床情况{如肿块是否有移动,按压痛}对肿块是否是淋巴结组织或实性组织的判断带来困难。病灶位于腹白线和腹股沟旁{而且是对称分布!},首先应该考虑是淋巴结,至于是何种原因引起的淋巴结肿大只能结合临床考虑。另外要考虑到3楼战友分析的硬纤维瘤{属于良性},还有腹壁续发性肿瘤它也具有沿淋巴转移的特点。
| 欢迎光临 医影在线 (http://bbs.radida.com/bbs/) |
Powered by Discuz! X3.2 |