医影在线
标题: CT2361:[转帖]HEAD---CTA [打印本页]
作者: yuanfang_22 时间: 2005-12-9 07:48
标题: CT2361:[转帖]HEAD---CTA
此病例转自同学的医院。
患者:男,22岁,头晕1年,现神志清,左上肢肌力差。





[本贴已被 jiajie 于 2005-12-9 7:12:19 修改过]
作者: yuanfang_22 时间: 2005-12-9 07:52
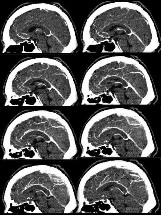
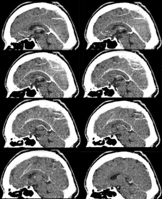
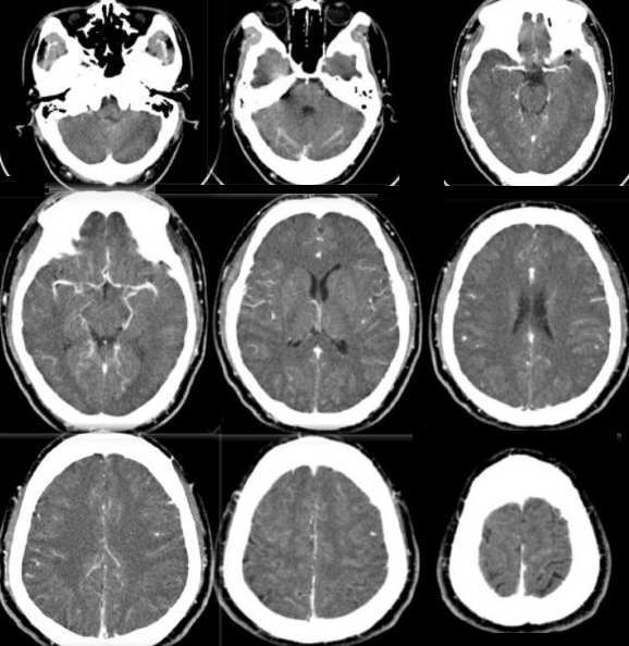
1:横扫+c:见两侧顶叶脑沟裂增宽加深。
2:矢状位+c:矢状窦还没强化完全,顶部迂曲的血管网已经强化良好,强化速度明显快。靠近上矢状窦并可见迂曲增强的小团状血管影
3:矢状cta:顶部血管强化程度明显强于正常脑血管,呈迂曲不规则状。
综上考虑:顶部脑血管畸形以avm可能性大。并两侧顶叶局限性缺血性脑萎缩
鉴别:脑膜瘤--横扫未见瘤体及水肿。矢状位未见瘤体,未见肿瘤引起的占位效应及白质塌陷
(夜深了,睡觉啦,说的有些乱,先占个位,明天再继续说,欢迎战友发言)
作者: xintiao 时间: 2005-12-9 16:16
支持
作者: 爱我老婆 时间: 2005-12-9 16:56
病变周围有粗大的血管,早期强化,有延迟扫描效果更好,同意血管畸形avm
作者: ygdygd123a 时间: 2005-12-9 18:25
支持2楼
作者: leesen 时间: 2005-12-9 20:00
病灶周围无水肿,早期可见强化血管和实质轻度强化,说明有血管瘘.所以支持2楼的诊断:顶叶脑血管畸形!!(矢状位重建这么清晰,是多少排的?)
作者: bin917 时间: 2005-12-9 20:20
同意脑血管畸形以avm可能性大。
好机器,我猜应该16排以上。强!
作者: wawaquan 时间: 2005-12-9 22:14
顶部颅板下见弧形走行粗大血管影,明显强化,内见迂曲血管及脑实质影,其内脑实质较周围脑实质强化为著,周围未见水肿征象。轴位片未见明显异常。cta示顶部迂曲血管影增多、增粗,以左侧尤为明显。考虑脑血管畸形可能性大。本例需与以下疾病鉴别:①海绵状血管瘤:病灶局限,内可见斑点状钙化而不可见脑实质影,强化时间较常。②硬膜外血肿:边界清晰,内部不见血管影,周围不见异常血管。
作者: huangaiying1 时间: 2005-12-10 05:34
顶叶avm
作者: ssl1_1 时间: 2005-12-11 05:26
支持血管畸形
作者: yuanfang_22 时间: 2005-12-22 20:40
标题: 1
可以和ct2425比较一下http://www.radida.com/radinet/read.php?tid=9044
[本贴已被 jiajie 于 2005-12-24 8:16:36 修改过]
作者: shibing 时间: 2015-5-31 13:32
血管畸形
| 欢迎光临 医影在线 (http://bbs.radida.com/bbs/) |
Powered by Discuz! X3.2 |