医影在线

标题: CT2371:[原创]头部CT [打印本页]

作者: ssl1_1    时间: 2005-12-10 19:31
标题: CT2371:[原创]头部CT
病人 男 58岁 作上下肢麻木



[本贴已被 jiajie 于 2005-12-10 20:01:02 修改过]

作者: frzh    时间: 2005-12-10 20:12
像血管瘤,建议mri
作者: lnhsdm    时间: 2005-12-10 20:47
本例患者病灶密度不均,除了高密度钙化灶外,周围见低密度改变,考虑avm
作者: 蜀山精灵    时间: 2005-12-10 20:51
血管畸形
作者: zhouqing    时间: 2005-12-10 21:26
有没有增强片?
作者: 流星1234    时间: 2005-12-10 21:47
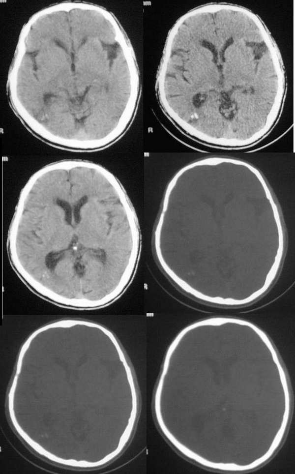
右侧颞叶枕部见斑点状高密度影,其外侧脑组织见小片状低密度,右侧脑室三角部略大,无占位效应,颅板结构正常,左侧侧裂池增宽,考虑1)右侧颞叶枕区血管畸形 2)局限性脑萎缩.
作者: huangaiying1    时间: 2005-12-10 21:52
考虑avm可能
作者: 克山    时间: 2005-12-10 22:30
提示血管畸形,建议mr。
作者: llh913    时间: 2005-12-10 23:22
考虑avm.
作者: 牟言科    时间: 2005-12-11 01:04
ct所见:右侧颞枕叶见斑点状高密度影,其外侧脑组织见小片状略低密度区,同侧脑室三角部略扩大,中线结构居中,颅板结构完整。考虑 :1、右侧颞枕叶脑血管畸形 ,建议增强扫描或mr作进一步检查。
作者: 13081830109    时间: 2005-12-11 03:06
强化吧
作者: lkc8963    时间: 2005-12-11 18:01
标题: 回复:ct2371:[原创]头部ct
以下是引用牟言科在2005-12-10 17:04:00的发言:[br][br] ct所见:右侧颞枕叶见斑点状高密度影,其外侧脑组织见小片状略低密度区,同侧脑室三角部略扩大,中线结构居中,颅板结构完整。考虑 :右侧颞枕叶脑血管畸形 ,建议增强扫描或mr作进一步检查。

部位、形态特点均支持血管畸形。
作者: liujf    时间: 2005-12-12 19:11
影象表现;
右侧枕叶可见局限性混杂密度的影,其中可见散在的点状和条状的钙化影,周边可见
略低密度影。局部脑组织无受压移位,而且临近侧脑室三角部略扩大。局部枕骨与
对侧的对比好象无明显差异
临床表现仅仅是上下肢麻木
印象诊断
1avm
2sturge-weber综合征和海绵状血管瘤
3脑囊虫
进一步检查综合考虑吧。
有结果吗?
作者: shibing    时间: 2015-5-31 13:30
右侧颞枕叶见斑点状高密度影,其外侧脑组织见小片状略低密度区,同侧脑室三角部略扩大,中线结构居中,颅板结构完整。考虑 :1、右侧颞枕叶脑血管畸形 ,建议增强扫描或mr作进一步检查。




欢迎光临 医影在线 (http://bbs.radida.com/bbs/) Powered by Discuz! X3.2