医影在线
标题: CT2379:(K) 颅内少见病例 [打印本页]
作者: wfq2222    时间: 2005-12-11 03:14
标题: CT2379:(K) 颅内少见病例
结果公布:http://www.radida.com/bbs/forum. ... mp;amp;toread=1#tpc
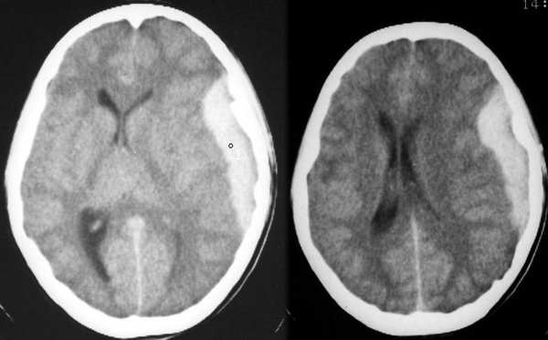
患者女,13岁,头痛头昏数天,一月前有外伤史

[本贴已被 jiajie 于 2005-12-23 20:33:04 修改过]
作者: 蜀山精灵    时间: 2005-12-11 03:19
亚急性硬膜外血肿
作者: ssmz116    时间: 2005-12-11 03:58
硬膜下血肿吧?
作者: WFQ2222    时间: 2005-12-11 04:07
我还有片子上传,但不知怎么传,请大家帮忙
作者: xiaoniu    时间: 2005-12-11 04:08
迟发性硬膜下血肿。
作者: 龙行天下    时间: 2005-12-11 04:32
从影像上看:应该是硬膜下血肿吧,外形成d字形,跨越了颅缝,内边界不太清,中线向右移位。分期就不太好分了,外伤时间比较长,密度还是比较均匀的。应询问病史,特别是外伤后的情况。
作者: wfq2222    时间: 2005-12-11 05:16
标题: [注意]补充片子,ct值约56hu左右,请大家仔细分析,并不简单的

[本贴已被 jiajie 于 2005-12-23 20:25:27 修改过]
作者: jsgaojian    时间: 2005-12-11 05:18
标题: 回复:ct2379:颅内少见病例
以下是引用wfq2222在2005-12-10 20:07:00的发言:[br]我还有片子上传,但不知怎么传,请大家帮忙
不是传的挺好的吗,继续就可以了!如果还有问题,看一下“会员必读”
[url][/url]http://www.radida.com/radinet/read.php?tid=1128
[本贴已被 jsgaojian 于 2005-12-10 21:19:58 修改过]
作者: 乡医    时间: 2005-12-11 05:33
(无骨窗不知何意?)有外伤史,高密度外行,中线移位明显象硬膜下出血,就是考虑迟发性时间有点太长了点,还应与动静脉畸形等血管病出血鉴别。建议mri检查较为妥当。
作者: 华佗    时间: 2005-12-11 05:59
标题: 1
青少年原发淋巴瘤?
[本贴已被 jiajie 于 2005-12-14 7:28:58 修改过]
作者: bhyl    时间: 2005-12-11 06:18
迟发性硬膜下出血,好像有骨折,没有骨窗,不好判断
作者: liujun    时间: 2005-12-11 06:34
标题: 回复:ct2379:颅内少见病例

试一下
作者: toupi_369    时间: 2005-12-11 07:07
根据病史很容易诊断硬膜下出血,但没有皮下血肿,邻近骨质稍厚,不规则,左侧脑实质受压,增厚,请给骨窗,必要时mri检查,排外先天性或占位,脑膜瘤?
作者: jiangjing    时间: 2005-12-11 07:35
考虑硬膜下血肿及脑膜瘤可能
作者: lushijun    时间: 2005-12-11 15:54
支持硬膜下血肿
作者: huangaiying1    时间: 2005-12-11 17:13
亚急性硬膜外,硬膜下血肿
作者: haogandian    时间: 2005-12-11 19:30
支持硬膜下血肿
作者: wfq2222    时间: 2005-12-11 22:27
骨窗没打,没有骨折,不是血肿,请大家猜猜,过两天公布病理结果
作者: zzhhbb    时间: 2005-12-12 00:20
根据病史首先考虑亚急性硬膜下血肿:占位效应明显,局部脑组织受压向内移位,左侧脑室受压变窄;但受伤一个月,即使是迟发血肿,密度也不会达到56hu,内密度均匀,界线还较清晰,需增强区分脑膜瘤。
作者: wawaquan    时间: 2005-12-12 00:52
亚急性硬膜外血肿继发出血。
作者: doublech    时间: 2005-12-12 01:10
支持亚急性硬膜下血肿。
作者: 山高人为    时间: 2005-12-12 03:20
zhichi
作者: wxy7406    时间: 2005-12-12 06:09
密度这么高,首先考虑出血,但哪来的就不好说。
作者: lz8320473    时间: 2005-12-12 19:49
楼主反复提示:
1,颅内少见病例
患者女,13岁,头痛头昏数天,一月前有外伤史。
2,[注意]补充片子,ct值约56hu左右,请大家仔细分析,并不简单的骨窗没打,没有骨折,不是血肿,请大家猜猜,过两天公布病理结果。
一月前有外伤史,目前左侧颅骨内板下病灶密度很高而且均匀,用亚急性或慢性硬膜下血肿解释不了这么高的密度,占位明显,具体什么问题,思考中。
建议大家从别的角度考虑。
作者: wfq2222    时间: 2005-12-14 05:05
标题: 1
病理结果:原发淋巴瘤
[本贴已被 jiajie 于 2005-12-14 13:19:58 修改过]
作者: zhuxinli    时间: 2005-12-14 20:05
那位老师给讲讲呀
作者: 菜鸟03    时间: 2005-12-15 01:27
怎么区分????
作者: 流星1234    时间: 2005-12-15 03:03
标题: [转帖]回复:ct2379:颅内少见病例
真是少见的
作者: KingSeaT    时间: 2005-12-15 05:07
看了此片及病理,对自信心打击太大!叫我等以后拿什么混饭吃?——那位老师给讲讲呀!!!
作者: ssh7471    时间: 2005-12-15 17:50
不解
作者: 乡医    时间: 2005-12-23 19:15
原发淋巴瘤ct、mri无特征性,起源无定论。占颅内肿瘤的1%,好发基底节、丘脑、胼胝体,出血钙化少见,可以囊变变。mri :t1低信号,t2高信号,有明显强化,信号多变。
作者: hmx    时间: 2005-12-24 03:11
?
作者: sdqzwyx    时间: 2005-12-24 04:05
标题: 1
      关于原发性颅内淋巴瘤的起源尚有争议,主要因为颅内无淋巴结构。目前较公认的是病变起源于血管周围间隙的多能干细胞或单核吞噬细胞系统,因此淋巴瘤发病部位具有一定的特征性,即主要发生于轴内,靠近脑表面或中线区,此区的血管周围间隙比较明显。
     影像表现:原发性颅内淋巴瘤的影像学表现具有特征性,病变可单发,亦可多发,分布广泛,75%邻近脑室系统或脑膜。ct平扫典型的表现为等或稍高密度,周围水肿较轻微;mr显示病变为等t1信号影,t2表现各异,主要与病变本身结构有关,常见的表现为等或低t2信号影。淋巴瘤周围水肿较轻微,占位效应低于恶性胶质瘤、转移瘤。增强检查病变呈明显均匀强化,主要表现为团块状、握拳样强化。环形强化少见,只见于出现坏死、囊变的病人。淋巴瘤可以沿软脑膜或室管膜播散。
      以下影像学表现应首先考虑原发性颅内淋巴瘤:ct平扫呈等或高密度;mr呈等t1、等t2信号影,增强检查呈握拳样或团块状强化;肿瘤的占位效应轻微与肿瘤的大小不成比例;位于脑表面或近中线部位(血管入脑的部位);非免疫功能低下的病人患有淋巴瘤时,肿瘤内坏死、囊变少见。
   鉴别诊断: 1.淋巴瘤靠近中线时,多贴近室管膜或胼胝体,又同时伴有坏死、囊变时,需与恶性胶质瘤鉴别,后者病变内囊变、坏死较多,周围水肿明显,占位效应较重,增强检查呈不均匀环形强化,临床症状较凶险。2.多发淋巴瘤需与转移瘤鉴别,前者主要位于大脑半球深部。发生于皮层的病变主要位于大脑前、中、后动脉的皮层支入脑后的近端最为常见,而转移瘤则位于皮髓质交界区,此时应仔细询问病史。3.淋巴瘤靠近脑表面时需与脑膜瘤鉴别,两者均表现为等t1、等t2信号影,但后者强化明显,可伴有脑膜尾征及邻近骨质的改变。
[本贴已被 jiajie 于 2005-12-23 20:31:57 修改过]
作者: 陈医生123    时间: 2005-12-24 06:26
哎,误诊律还是挺高的,大家要虚心点
作者: drzhang8888    时间: 2006-8-23 19:08
少见少见。
作者: swyyy2006    时间: 2006-9-10 01:01
对,
作者: yuhg    时间: 2006-9-10 04:06
迟发性硬膜下血肿。
作者: zylcq608    时间: 2006-9-11 04:49
支持9楼
作者: 拾荒者    时间: 2006-9-11 18:13
谢谢sdqzwyx的精彩点评,受益匪浅,学习了。
作者: elity69    时间: 2006-9-11 18:50
呵呵!影象真的很玄乎!
作者: yemin92007    时间: 2006-9-13 05:54
结果收到,还是不解,请高手评讲。
作者: 天地睹狭    时间: 2006-9-23 08:13
thanks 楼主精彩图片,我没见过.
作者: 吴医师    时间: 2010-1-22 19:32
结果收到,还是不解
作者: dr.yang    时间: 2013-4-4 12:16
学习了。
作者: shibing    时间: 2015-5-31 13:27
淋巴瘤?
| 欢迎光临 医影在线 (http://bbs.radida.com/bbs/) | 
Powered by Discuz! X3.2 |