医影在线
标题: CT2386:[求助]肺部多发病变 [打印本页]
作者: slc0002slc 时间: 2005-12-12 19:59
标题: CT2386:[求助]肺部多发病变
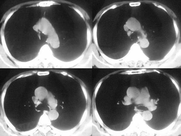
男,53,发热1月余,间断性,用药(不详)既停,停药既烧。有时吐痰、鼻涕带血。















[本贴已被 jiajie 于 2005-12-12 13:25:54 修改过]
作者: 刘明 时间: 2005-12-12 20:50
右肺下叶基底段团状阴影,其内见多发不规则空洞,无液平;两肺多发大小不等结节影,纵隔淋巴结肿大,考虑:肺癌伴肺内及纵隔淋巴结转移
作者: 航书 时间: 2005-12-12 21:03
右肺下叶基底段及两肺多发大小不等结节影,其内见多发不规则空洞,无液平;纵隔淋巴结稍肿大,考虑:霉菌感染
作者: X线 时间: 2005-12-12 21:16
右肺下叶基底段团块状病灶,其内见偏心性空洞,洞内未见液平面,可见壁结节;双肺野及双侧胸膜见多发大小不等软组织密度结节影,边缘较光滑,部分肺内结节有空洞形成;纵隔内见有重大淋巴结;右侧见少量胸腔积液。
结合临床考虑:1、右肺癌并双肺、胸膜转移,考虑鳞癌可能性大。2、纵隔淋巴转移。3、建议查痰找癌细胞。
作者: xiaoniu 时间: 2005-12-12 21:56
诊断:我觉得wegener肉芽肿应该首先考虑。
影像表现:两肺大小不等结节,有融合、有空洞,洞壁薄厚不均,
临床表现:发热1月余,间断性,停药既烧。有时吐痰、鼻涕带血。符合多系统受累。
点平:wegener肉芽肿好发两下肺,大小不等,边缘清,部分融合呈块状,出现坏死、空洞,厚薄不一,也有结节影,或斑片影,可见供养血管征。白细胞升高。其病理改变主要为小血管炎和结节样凝固性坏死肉芽肿形成,周围有大量的成纤维细胞和瘢痕组织,我个人更倾向与肉芽肿病变的诊断,
作者: wawaquan 时间: 2005-12-12 21:58
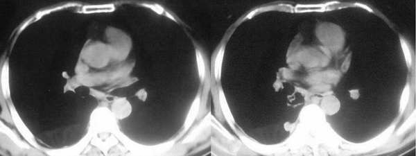
双肺胸膜下见大小不等圆形类圆形结节影,边缘较光滑;右肺下叶基底段靠隔顶及纵隔旁见团块状病灶,其内见偏心性厚壁空洞,洞内见短液平面,壁厚薄不均。纵隔淋巴结增大;右侧见少量胸腔积液。
考虑:⑴双肺转移瘤可能大。⑵右下肺鳞癌伴双肺转移。⑶右下肺脓肿伴双肺血行播散。建议结合临床近一步检查。
作者: zjh196425 时间: 2005-12-12 22:23
右肺下叶基底段团块状病灶,其内见偏心性空洞,洞内未见液平面,可见壁结节;双肺野及双侧胸膜见多发大小不等软组织密度结节影,边缘较光滑,部分肺内结节有空洞形成;纵隔内见有重大淋巴结;右侧见少量胸腔积液。
结合临床考虑:1、右肺癌并双肺、胸膜转移,考虑鳞癌可能性大。2、纵隔淋巴转移。3、建议查痰找癌细胞。
坚决支持楼主的意见,右下肺考虑癌性空洞,双肺考虑转移灶。有空洞的病例最好争取查痰,比要时早作支气管镜检,尽早确诊。
作者: zhuxinli 时间: 2005-12-12 22:26
诊断:我觉得wegener肉芽肿应该首先考虑。
影像表现:两肺大小不等结节,有融合、有空洞,洞壁薄厚不均,
临床表现:发热1月余,间断性,停药既烧。有时吐痰、鼻涕带血。符合多系统受累。
点平:wegener肉芽肿好发两下肺,大小不等,边缘清,部分融合呈块状,出现坏死、空洞,厚薄不一,也有结节影,或斑片影,可见供养血管征。白细胞升高。其病理改变主要为小血管炎和结节样凝固性坏死肉芽肿形成,周围有大量的成纤维细胞和瘢痕组织,我个人更倾向与肉芽肿病变的诊断
作者: jiajie 时间: 2005-12-12 23:11
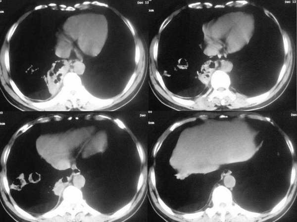
两肺外周胸膜下可见多发大小不等的结节影,边缘稍模糊,可见细长毛刺,右肺下叶病灶部分融合成片状,内出现多房空洞,部分内有小液平面,内壁较光整,壁厚不规则。考虑真菌感染(隐球菌)。
作者: mzjctmr 时间: 2005-12-12 23:23
双肺影响表现诸位大侠已描述详尽,结合临床表现考虑:wegener肉芽肿
作者: 576034755 时间: 2005-12-13 02:09
wegener肉芽肿。1.鼻窦ct检查协诊 2.激素、免疫抑制剂试验治疗
作者: 576034755 时间: 2005-12-13 02:19
wegener肉芽肿 1.鼻窦ct检查协诊 2.激素、免疫抑制剂试验治疗
作者: lz8320473 时间: 2005-12-13 03:36
男,53,发热1月余,间断性,用药(不详)既停,停药既烧。有时吐痰、鼻涕带血。
ct所见;两肺胸膜下多发散在大小不一结节状影,部位以右侧为主,多在胸膜下,多数结节内可见不规则空洞,壁厚薄不均,未见液平。
考虑1,wegener肉芽肿。
wegener肉芽肿目前一般认为是多发性动脉炎的一种类型。临床表现为鼻部和脸中部皮肤,黏膜,软骨和骨坏死。可有发热,咳嗽,咳血,尿/便血,皮下出血等。本例鼻涕有带血,临床表现较符合。
wegener肉芽肿的典型表现为单发/多发实性肿快,边缘清楚,直径数毫米到数厘米,常出现厚壁空洞,边缘不规则,易误诊为转移瘤。
2,霉菌感染。为重症患者的严重并发症,多由于抗菌素及激素大量应用之后,需有其基础疾病,本例患者用药不详,应该警惕。
3,转移瘤,一般空洞较少。
作者: didadoc 时间: 2005-12-13 04:19
标题: 回复:ct2386:[求助]肺部多发病变
以下是引用xiaoniu在2005-12-12 13:56:00的发言:[br]诊断:我觉得wegener肉芽肿应该首先考虑。[br]影像表现:两肺大小不等结节,有融合、有空洞,洞壁薄厚不均,[br]临床表现:发热1月余,间断性,停药既烧。有时吐痰、鼻涕带血。符合多系统受累。[br]点平:wegener肉芽肿好发两下肺,大小不等,边缘清,部分融合呈块状,出现坏死、空洞,厚薄不一,也有结节影,或斑片影,可见供养血管征。白细胞升高。其病理改变主要为小血管炎和结节样凝固性坏死肉芽肿形成,周围有大量的成纤维细胞和瘢痕组织,我个人更倾向与肉芽肿病变的诊断,
支持!!!!!!!!!1
作者: ygdygd123a 时间: 2005-12-13 04:31
支持5楼.
作者: ssl1_1 时间: 2005-12-13 04:50
wegener肉芽肿可能
作者: 好逸 时间: 2005-12-13 05:37
5楼意见有道理
作者: 李生祥 时间: 2005-12-13 06:12
我个人认为应该像wegener肉芽肿。
作者: 流星1234 时间: 2005-12-13 06:15
影像表现:双肺大小不等的结节影 ,部分有融合,有空洞,洞壁厚薄不一,
临床表现:发热月余,间断性,用药即停,有时吐痰,鼻涕带血
诊断:考虑韦格氏肉芽肿
韦氏肉芽肿是一种原因不明的坏死性肉芽肿性血管炎,主要累及上下呼吸道,肾和皮肤等脏器,多数患者有鼻咽部症状和肺部感染症状等.
鉴别:应与转移瘤,炎症,血管性及嗜酸性肉芽肿等多灶性疾病鉴别.
作者: guduchunmeng 时间: 2005-12-13 06:58
标题: 回复:ct2386:[求助]肺部多发病变
以下是引用xiaoniu在2005-12-12 13:56:00的发言:[br]诊断:我觉得wegener肉芽肿应该首先考虑。[br]影像表现:两肺大小不等结节,有融合、有空洞,洞壁薄厚不均,[br]临床表现:发热1月余,间断性,停药既烧。有时吐痰、鼻涕带血。符合多系统受累。[br]点平:wegener肉芽肿好发两下肺,大小不等,边缘清,部分融合呈块状,出现坏死、空洞,厚薄不一,也有结节影,或斑片影,可见供养血管征。白细胞升高。其病理改变主要为小血管炎和结节样凝固性坏死肉芽肿形成,周围有大量的成纤维细胞和瘢痕组织,我个人更倾向与肉芽肿病变的诊断,
作者: jiangjing 时间: 2005-12-13 07:38
两肺外周胸膜下可见多发大小不等的结节影,边缘稍模糊,可见细长毛刺,右肺下叶病灶部分融合成片团状,内出现多房空洞,部分内有小液平面,内壁较光整,壁厚不规则。气管前腔静脉后淋巴结肿大。考虑1韦格氏肉芽肿。2真菌感染(隐球菌)。其他待排。
作者: dglq 时间: 2005-12-13 15:56
支持韦氏肉芽肿.
作者: gdlwx001 时间: 2005-12-13 17:37
支持9楼
作者: aosangwa 时间: 2005-12-13 18:29
1\\考虑右肺癌并肺内及纵隔淋巴结转移
2\\右侧胸膜腔少量积水
3\\建议查鼻咽排除鼻咽癌
作者: y8936 时间: 2005-12-13 23:58
两肺大小不等结节及空洞多位于肺的外周部,空洞壁厚薄不均,结合临床表现,支持肺韦格肉芽肿诊断。
作者: xiaogang123 时间: 2005-12-14 00:11
个人认为考虑右下肺癌伴双肺及纵隔转移
作者: jiahu630212 时间: 2005-12-14 00:57
支持wegerner肉芽肿
作者: bvbv08 时间: 2005-12-14 01:24
右肺下叶基底段团状阴影,其内见多发不规则空洞,无液平;两肺多发大小不等结节影,纵隔淋巴结肿大,考虑:肺癌伴肺内及纵隔淋巴结转移
一楼刘明老师 淋巴结转移的具体位置请说明一下谢谢
作者: xytzp 时间: 2005-12-14 03:50
支持wegerner肉芽肿。
作者: 刘明 时间: 2005-12-16 03:17
气管前、腔静脉后可见肿大的淋巴结。韦氏肉芽肿为少见病例,发病率远低于肺癌
作者: wwg65578302 时间: 2005-12-24 23:43
该病人还是暂且不下结论,不管是怀疑韦格氏肉芽肿或转移性肺癌,首先鼻烟部和副鼻窦ct必须得做,
假如韦格氏肉芽肿,鼻窦内应该有所改变
假如肺部氏转移,我想鼻烟癌得可能性也不小
作者: shibing 时间: 2015-5-31 13:26
双肺影响表现诸位大侠已描述详尽,结合临床表现考虑:wegener肉芽肿
| 欢迎光临 医影在线 (http://bbs.radida.com/bbs/) |
Powered by Discuz! X3.2 |