医影在线
标题: CT2391:请老师指点:心包积液与双侧胸腔积液是否相关 [打印本页]
作者: 强哥 时间: 2005-12-14 02:05
标题: CT2391:请老师指点:心包积液与双侧胸腔积液是否相关
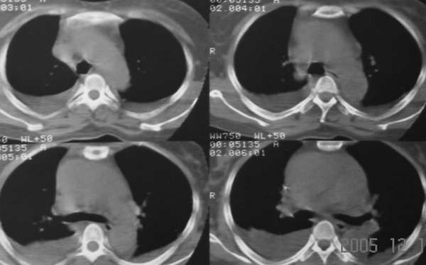
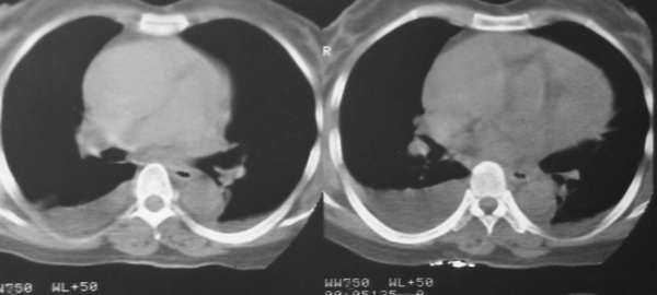
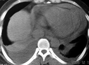
f43y昨日突发胸剧痛,今下午来医院并行ct平扫示:左下肺少许淡薄渗出病灶,双侧胸腔积液以右肺为甚,心包积液。







[本贴已被 jiajie 于 2005-12-13 18:18:19 修改过]
作者: 爱我老婆 时间: 2005-12-14 02:38
个人认为是心包积液,因为胸膜腔里的如果不包裹,易于流动,而此例病人心影周围的水是沿着心包腔的限制分布的,所以认为是心包积液
作者: 影像同路人 时间: 2005-12-14 03:00
我认为,一般情况胸腔积液与心包积液并没有相关性,我们经常看到胸腔积液,但心包积液比胸腔积液要少。而这个患者心包积液较重,且发病较急,存在心包填塞的表现,右心房增大,说明回心血流受阻,肺淤血,可能会导致胸腔积液。该患者心包积液较重,建议进一步增强扫描。
-------个人拙见。
作者: wawaquan 时间: 2005-12-14 03:18
标题: [原创]
“胸腔积液与心包积液”的诊断可以肯定。结合突然发病的病史,考虑:主动脉窦口破裂可能大。
[本贴已被 wawaquan 于 2005-12-13 19:22:49 修改过]
作者: lz8320473 时间: 2005-12-14 03:18
心包积液基本可以肯定。两侧胸腔积液,心脏或肾脏病变或血浆蛋白过低都可引起胸腔积液。心包积液常拌有胸腔积液,可为单侧性或双侧性。上海一医大《x线诊断学》把其列为x线表现之一。
作者: 流星1234 时间: 2005-12-14 03:38
心包积液常伴或多或少,单侧或双侧的胸腔积液.
作者: 乡医 时间: 2005-12-14 05:35
“胸腔积液与心包积液”的诊断可以肯定。突然发病的病史,不知何病,还请高手细细指点。
作者: jiangjing 时间: 2005-12-14 08:44
“胸腔积液与心包积液”的诊断可以肯定。突然发病的病史,不知何病.左肺密度减低,肺纹稀少。考虑肺栓塞可能。2肺动脉夹层
作者: 强哥 时间: 2005-12-14 16:59
8楼:肺栓塞可能。2肺动脉夹层。与心包积液相关不大,似乎解释不全。
作者: 航书 时间: 2005-12-14 17:34
“胸腔积液”的诊断可以肯定。结合突然发病的病史,考虑:主动脉窦口破裂可能大,引起心包积血。
作者: gaozhengyi 时间: 2005-12-15 01:37
患者急性起病,影象学表现为大量心包积液和双侧胸腔积液,心包积液密度较高,应该考虑为积血,患者没有外伤史,自发性心包积血应该想到主动脉夹层动脉瘤心包内部分破裂的可能,主动脉根部明显增粗也支持该诊断。关于胸腔积液有两种可能的解释,一是由于夹层的压力很高,造成血性胸腔渗出;另外就是由于心包填塞造成腔静脉系统压力增高,引起胸腔的渗出改变。
不知道患者有无高血压病史,高血压是造成主动脉夹层的最主要原因。
作者: yang4132 时间: 2005-12-15 03:27
心包大量积液,双侧行腔积液,升主动脉增宽,结合突然发病,不排除主动脉夹层破裂。
作者: ssl1_1 时间: 2005-12-15 07:31
心包及胸腔积液,双下肺血管增粗,以右下肺为著,考虑肺淤血
作者: 强哥 时间: 2005-12-17 22:46
回11楼,患者有高血压史.谢谢!
作者: 乡医 时间: 2005-12-18 03:29
有无超声图片质料请上传
作者: 东北 时间: 2005-12-23 16:27
支持11楼
作者: shibing 时间: 2015-5-31 13:38
胸腔积液”的诊断可以肯定。结合突然发病的病史,考虑:主动脉窦口破裂可能大,引起心包积血。
| 欢迎光临 医影在线 (http://bbs.radida.com/bbs/) |
Powered by Discuz! X3.2 |