医影在线

标题: CT2400:[讨论]胸部病变,请大家帮忙看一下! [打印本页]

作者: 山野樵夫    时间: 2005-12-15 03:05
标题: CT2400:[讨论]胸部病变,请大家帮忙看一下!
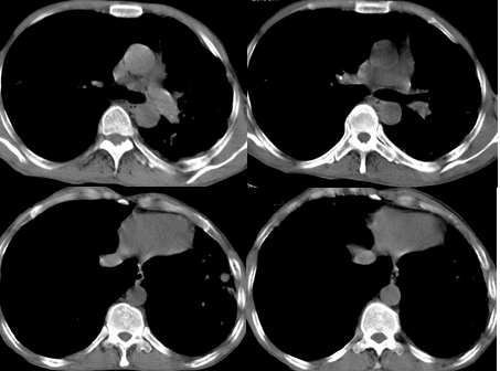
男,58岁,胸痛、咳嗽一周,无痰血;否认其他特殊病史







[本贴已被 jiajie 于 2005-12-14 20:16:43 修改过]

作者: frmjs    时间: 2005-12-15 03:49
两肺空洞,纤维化,两中下肺野支气管播散灶及点状钙化,纵隔移位,淋巴结钙化,可符合慢纤洞。
右下肺肺纹理纤细,并可见囊柱样改变,不除外先天性囊肿及支气管扩张。
作者: yang4132    时间: 2005-12-15 04:18
两肺结核(空洞,支气管播散灶)并左肺纤维化,支扩,肺大炮,胸膜肥厚粘连。
作者: jiajie    时间: 2005-12-15 04:28
两侧胸廓不对称,左侧明显变小,两肺上叶可见空洞,纤维条索影,两肺下叶多发斑片状影。考虑两肺上叶继发性肺结核伴两肺下叶支气管播散。
作者: 尚峰    时间: 2005-12-15 04:34
结核,老中青病灶都有。
作者: lz8320473    时间: 2005-12-15 04:52
佩服jiajie班主的事业心和责任心,刚才看图片有些零散,浏览了一下其他内容,页面整齐多了,有这样的好班主,网站人气肯定旺。
影像;两上肺及左中下肺多个大小不一薄壁不规则空洞,部分空洞可见少量液平,周围拌有条索影,纵隔,心脏左移,两中下肺多发散在小结节以及小囊状阴影。
考虑;慢纤洞伴两肺下叶支气管播散。肺结核合并症---支扩。
作者: xiaoniu    时间: 2005-12-15 05:15
慢、纤、洞
作者: 牟言科    时间: 2005-12-15 06:48
根据病变的部位、形态及密度改变符合慢性纤维空洞型肺结核,不同时期的病灶均有。
作者: 秋秋    时间: 2005-12-15 07:02
根据病变的部位、形态及密度改变符合慢性纤维空洞型肺结核,不同时期的病灶均有。
作者: abzzys    时间: 2005-12-15 07:03
符合陈旧性慢纤空型肺tb,左侧上肺片状影考虑tb复发;
作者: ssl1_1    时间: 2005-12-15 07:22
两肺上叶肺结核,两肺下叶支气管播散。
作者: jiangjing    时间: 2005-12-15 09:29
两侧胸廓不对称,左侧明显变小,两肺上叶可见空洞,纤维条索影,两中下肺多发散在小结节、斑片状以及小囊状阴影。考虑两肺上叶继发性肺结核伴两肺下叶支气管播散及感染。
作者: dglq    时间: 2005-12-15 17:00
iv型肺结核.
作者: huangaiying1    时间: 2005-12-15 18:46
左侧慢性纤维空洞型肺结核,双下肺播散,左侧牵引性支扩
作者: 流星1234    时间: 2005-12-15 22:32
符合慢纤空洞型肺结核伴支气管播散.
作者: 东北    时间: 2005-12-24 16:54
支持
作者: shibing    时间: 2015-5-31 13:36
符合陈旧性慢纤空型肺tb,左侧上肺片状影考虑tb复发;




欢迎光临 医影在线 (http://bbs.radida.com/bbs/) Powered by Discuz! X3.2