医影在线

标题: CT2401:[求助]是多囊胰、肾伴右肾癌吗? [打印本页]

作者: 影子天使    时间: 2005-12-15 05:25
标题: CT2401:[求助]是多囊胰、肾伴右肾癌吗?
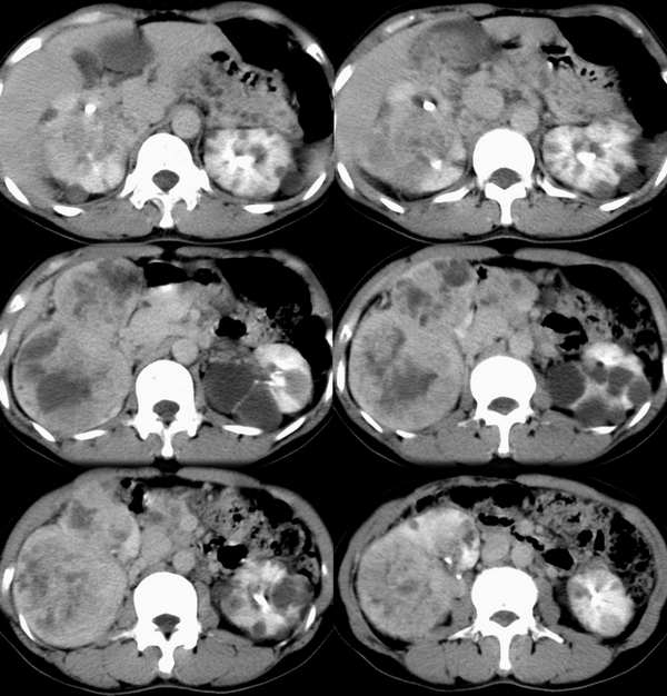
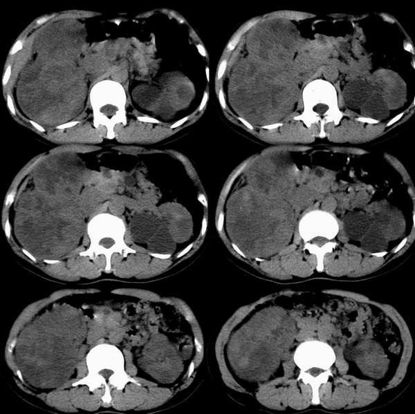
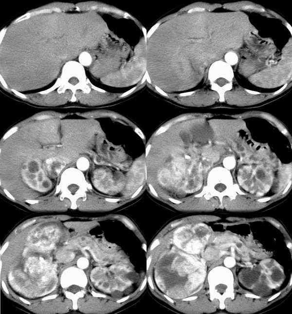
女性, 40岁。 10年前曾因腰痛在外院诊断双侧多囊肾并右肾多发结石(有静脉肾盂造影及b超报告,但没能见到影像图片)并行碎石处理且有排石史,后来一直无明显异常。但近2个月来自觉肝区饱满、右侧膈肌上抬,并进行性加重;血尿常规及淀粉酶阴性,血压正常。
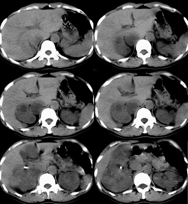
平扫



动脉期


静脉期

增强注药2小时后再次扫描



顺便请问上传图片还有更好的办法吗?这样一张一张太费力了








[本贴已被 jiajie 于 2005-12-15 7:00:47 修改过]

作者: xiaoniu    时间: 2005-12-15 05:57
右肾从影像表现、强化特性太符合肾癌了,但多囊肾也不能排除,因为左肾和胰腺都有囊中。
作者: jiangjing    时间: 2005-12-15 09:22
考虑多囊肾伴右肾肿瘤,多囊胰可能。
作者: huangaiying1    时间: 2005-12-15 18:57
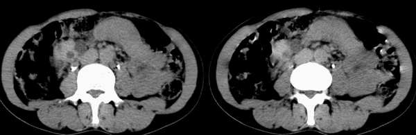
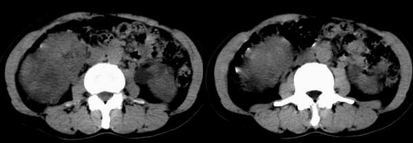
右肾体积增大,形态失常,其内可见多发低密度影,增强后动脉期病灶实质明显强化,低密度区未见强化,静脉期病灶呈等密度,考虑右肾癌,左肾多发囊肿,多囊胰
作者: 流星1234    时间: 2005-12-15 22:06
右肾内见不均匀强化软组织密度,考虑双侧多囊肾,多囊姨,右肾癌.
作者: 吕军浩    时间: 2005-12-16 03:13
如楼上各位战友所言,右肾癌的诊断应该没有太大问题。
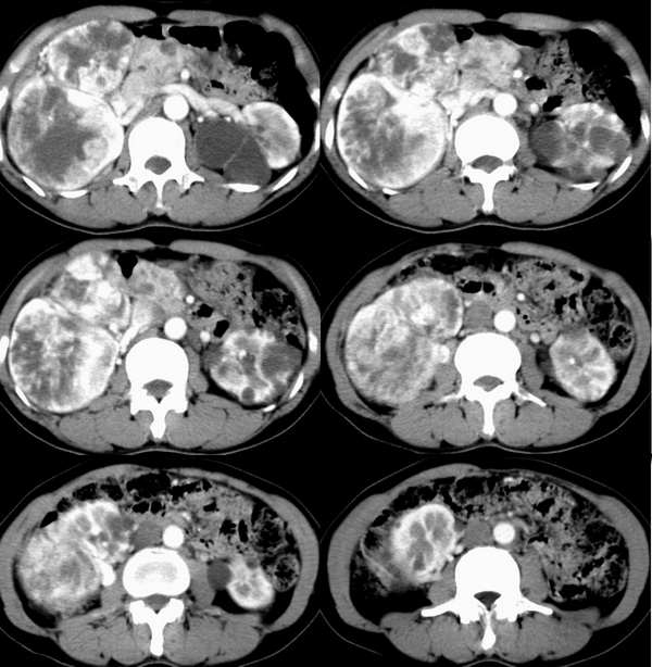
肝内胆管轻度扩张,肾门区及胰头区结构不清,胰腺多个囊性结构,考虑为胰头受侵,胰管的串珠状扩张可能大。
作者: tsxhfsk    时间: 2005-12-16 03:16
右肾体积增大,形态失常,其内可见多发低密度影,增强后动脉期病灶实质明显强化,低密度区未见强化,静脉期病灶呈等密度.
考虑1右肾囊性癌,2左肾多发囊肿,3多囊胰可能?
作者: yang4132    时间: 2005-12-16 04:40
右侧肾癌,左侧多囊肾,慢性胰腺炎。
作者: aosangwa    时间: 2005-12-16 05:19
标题: 回复:ct2401:[求助]是多囊胰、肾伴右肾癌吗?
以下是引用xiaoniu在2005-12-14 21:57:00的发言:[br]右肾从影像表现、强化特性太符合肾癌了,但多囊肾也不能排除,因为左肾和胰腺都有囊中。[br]

作者: 东北    时间: 2005-12-24 23:39
右肾癌  左多囊肾 胰腺(胰头周围淋巴结肿大)胰管扩张
作者: shibing    时间: 2015-5-31 13:36
考虑多囊肾伴右肾肿瘤,多囊胰可能。




欢迎光临 医影在线 (http://bbs.radida.com/bbs/) Powered by Discuz! X3.2