医影在线

标题: CT2405:[原创]膀胱病变读片 [打印本页]

作者: 向武昌    时间: 2005-12-15 20:17
标题: CT2405:[原创]膀胱病变读片
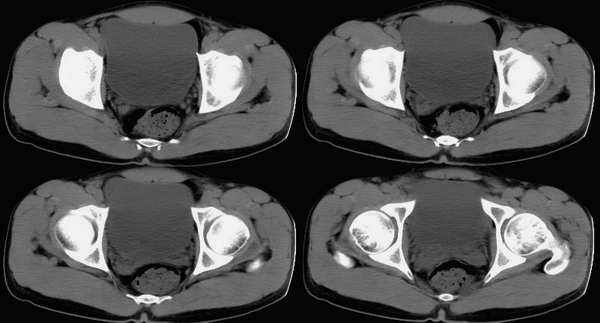
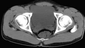
男,25岁,尿血15天,bus示膀胱内囊性占位




[本贴已被 jiajie 于 2005-12-15 16:52:47 修改过]

作者: sdqzwyx    时间: 2005-12-15 20:44
膀胱形态正常,其内密度均匀,看不到明显异常。有没有更多层面图片或其他窗的图片以供进一步观察?希望楼主提供。
作者: 流星1234    时间: 2005-12-15 21:13
好象没有异常,结合b超更把握.
作者: 向武昌    时间: 2005-12-15 21:37
请大家仔细观察,病变在这几幅中,只是不一定顺序排列.
作者: huangaiying1    时间: 2005-12-15 22:00
膀胱后壁偏右可见一小的囊性低密度影,考虑膀胱憩室可能
作者: 乡医    时间: 2005-12-16 00:29
后面的图像关闭了,前面的没有发现异常?
作者: 好逸    时间: 2005-12-16 00:50
右侧输尿管下端囊肿待排,建议i.v.p
作者: 8314337    时间: 2005-12-16 01:13
膀胱后壁偏右可见一小的囊性低密度影,膀胱前方可见一软组织影,和膀胱分届尚清。膀胱右后壁见一软组织影突向腔内,精囊腺增大。
作者: 枸橼酸盐    时间: 2005-12-16 02:30
精囊腺增大,老师好像说过急性精囊腺炎有时会有血尿,请各位前辈指教
作者: tsxhfsk    时间: 2005-12-16 02:50
膀胱后壁偏右好象可见一小的囊性低密度影 .太为难了.请做膀胱造影再定吧
作者: lgm660927    时间: 2005-12-16 03:56
右侧输尿管下端囊肿可能性大,建议ivp.
作者: 张芸    时间: 2005-12-16 05:46
我看还是用对比剂吧?
作者: wawaquan    时间: 2005-12-16 18:57
右侧输尿管下端囊肿可能大.
作者: jiajie    时间: 2005-12-17 04:47
所见膀胱图像未见明显异常,年轻人、血尿,应检查是否有肾结核。
作者: ssl1_1    时间: 2005-12-17 07:00
(-)
作者: 向武昌    时间: 2005-12-18 02:57
第1\\2图可见右侧输尿管扩张积水,第四\\五图膀胱内右侧精囊腺前方可见枣核样囊影,壁薄均匀,内为水密度.bus和ct均诊断:右侧输尿管末端囊肿,已建议ivp.
作者: 乡医    时间: 2005-12-18 03:20
有ivp片,请上传。有始有终吗
作者: 东北    时间: 2005-12-22 21:35
未见异常 查肾
作者: cefcmj    时间: 2006-1-31 02:00
所见图像未见明显异常??
作者: 乡医    时间: 2006-1-31 04:16
利用对比剂吧,如有请上传
作者: 向武昌    时间: 2006-2-2 03:59
目前没有进一步检查资料,若有,定会上传,请放心.
作者: shibing    时间: 2015-5-31 13:35
膀胱后壁偏右好象可见一小的囊性低密度影 .太为难了.请做膀胱造影再定吧




欢迎光临 医影在线 (http://bbs.radida.com/bbs/) Powered by Discuz! X3.2