医影在线
标题: CT2409:[讨论]下腹 [打印本页]
作者: LNC 时间: 2005-12-16 00:50
标题: CT2409:[讨论]下腹
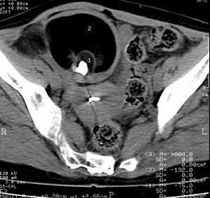
女、50岁右下腹痛二年余查右下腹稍膨隆、局部压痛。考虑:畸胎瘤并肉芽增殖性腹膜炎,不排除恶性变






[本贴已被 jiajie 于 2005-12-15 17:36:04 修改过]
作者: huangwei741 时间: 2005-12-16 02:29
畸胎瘤
作者: yang4132 时间: 2005-12-16 02:55
右侧附件畸胎瘤。
作者: tsxhfsk 时间: 2005-12-16 03:06
右下腹混杂密度影,还是考虑畸胎瘤吧
作者: kbzyycm 时间: 2005-12-16 03:51
畸胎瘤
作者: lz8320473 时间: 2005-12-16 04:12
脂肪密度+钙化。畸胎瘤应该没问题吧?
作者: haogandian 时间: 2005-12-16 04:27
畸胎瘤
作者: zhangrusi 时间: 2005-12-16 04:34
成熟型畸胎瘤恶变可能大
依据1腹腔积液2肿块巨大形态不规则、密度不均匀与周周有粘连
作者: 阿圣 时间: 2005-12-16 05:17
畸胎瘤
作者: aosangwa 时间: 2005-12-16 05:27
1\\诊断畸胎瘤应该没问题
2\\此例畸胎瘤恶性可能性大
作者: bhyl 时间: 2005-12-16 05:46
标题: 回复:ct2409:[讨论]下腹
以下是引用阿圣在2005-12-15 21:17:00的发言:[br]畸胎瘤
作者: 沈谦 时间: 2005-12-16 05:51
同意10楼主
作者: guduchunmeng 时间: 2005-12-16 05:58
寄胎瘤的诊断应该没问题。至于良性还是恶性就不好说了。
作者: caihe 时间: 2005-12-16 06:24
支持楼主分折。
作者: 流星1234 时间: 2005-12-16 07:00
畸胎瘤
作者: jiangjing 时间: 2005-12-16 07:48
腹腔积液2肿块巨大形态不规则、密度不均匀与周周有粘连之低等混杂影,且见钙化。考虑畸胎瘤,并提示恶变可能。
作者: abzzys 时间: 2005-12-16 08:17
首先考虑畸胎瘤.
作者: 夏明华 时间: 2005-12-16 08:21
畸胎瘤
作者: ssh7471 时间: 2005-12-16 15:10
标题: 回复:ct2409:[讨论]下腹
以下是引用夏明华在2005-12-16 0:21:00的发言:[br]畸胎瘤
作者: y8936 时间: 2005-12-16 17:26
畸胎瘤,恶性可能性大。
作者: wawaquan 时间: 2005-12-16 18:41
标题: [转帖]回复:ct2409:[讨论]下腹
以下是引用zhangrusi在2005-12-15 20:34:00的发言:[br]成熟型畸胎瘤恶变可能大[br]依据1腹腔积液2肿块巨大形态不规则、密度不均匀与周周有粘连
作者: jsgaojian 时间: 2005-12-16 19:54
标题: 回复:ct2409:[讨论]下腹
畸胎瘤起源于外,内,中三个胚层,为实质性,常有大小不等的囊性区域,囊性者多为良性,囊壁为纤维组织,易钙化,囊内含有皮脂样液体。组织结构可包含脂肪、毛发、骨与软骨、牙齿等。肿瘤较小时患者多无自觉症状,较大者对组织与器官产生压迫症状。有文献分析40%平片可发现囊壁钙化、肿块中含牙齿和骨结构而明确诊断,但由于ct检查的密度分辨率更高,更易发现脂质、钙化、骨及牙齿等结构,而成为诊断畸胎瘤最特异的方法。如ct上既没有见到脂肪密度,也没有见到钙化的囊性肿块就不能诊断为畸胎瘤。ct检查中必须测定囊性肿块中不同密度组织的ct值,以辨别是否含有脂肪组织,如有脂肪一液体平面时,可改变体位扫描,低密度的脂肪成分必然始终飘浮在上方。盆腔非脏器起源的畸胎瘤常发生在骶骨前区、恶性畸胎瘤占有一定比例,这时脂肪钙化或骨化成分较少,常破坏骶骨并侵犯邻近脏器者,与其它恶变较难鉴别。
作者: huangaiying1 时间: 2005-12-17 00:25
考虑恶性畸胎瘤
作者: jiajie 时间: 2005-12-17 04:17
子宫右前方巨大囊性混杂密度影,囊内以脂肪密度为主,并见斑点状高密度钙化,壁较厚且均匀,支持卵巢囊性畸胎瘤。
作者: ssl1_1 时间: 2005-12-17 06:52
畸胎瘤应该没问题
作者: py3ylhj 时间: 2005-12-17 07:39
脂肪密度,钙化,囊性,畸胎瘤
作者: 东北 时间: 2005-12-24 23:44
都对
作者: shibing 时间: 2015-5-31 13:35
畸胎瘤
| 欢迎光临 医影在线 (http://bbs.radida.com/bbs/) |
Powered by Discuz! X3.2 |