医影在线
标题: CT2418:求诊:无痛性黄疸10天,无发热。 [打印本页]
作者: haogandian 时间: 2005-12-18 04:34
标题: CT2418:求诊:无痛性黄疸10天,无发热。
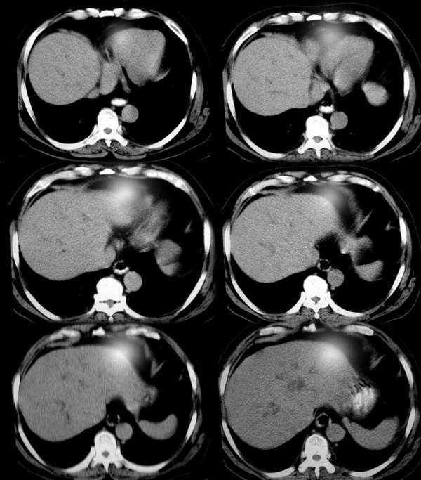
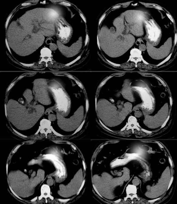
男,70y,就是单纯无痛性黄疸




[本贴已被 jiajie 于 2005-12-18 11:49:50 修改过]
作者: lgm660927 时间: 2005-12-18 05:42
在倒数第2幅和第3幅图像间再有一幅图像就好了,胆总管突然截断,但没有结石和肿物,只能考虑炎症了。胆囊结石,胆囊炎。
作者: jiangjing 时间: 2005-12-18 06:43
胆囊不扩大,较小,壁增厚,其内见小斑点状结石灶。肝内胆管扩张,扩张至肝门区,其内侧见小斑状高密度影,以下胆管无明显扩大。考虑1肝内胆管扩大,考虑肝门部占位.2胆囊炎胆结石。建议增强检查。
作者: jiajie 时间: 2005-12-18 16:31
肝脏体积不大,肝裂稍宽,肝实质密度均匀,肝内胆管呈枯枝状扩张,在肝门区突然中断,胆总管未见明显增宽,胆囊缩小,壁厚并见斑点状钙化。考虑:1)肝外远侧段肝总管癌,2)慢性胆囊炎。(若能提供年龄、增强片子更好)
作者: haogandian 时间: 2005-12-18 18:12
男,70y。对不起,我们这是最基层医没有增强。
作者: tsxhfsk 时间: 2005-12-18 19:28
肝脏体积不大,肝裂稍宽,肝实质密度均匀,肝内胆管呈枯枝状扩张,在肝门区突然中断,胆总管未见明显增宽,胆囊缩小,壁厚其内侧见小斑状高密度影,考虑1肝内胆管扩大,考虑;1肝门部占位.2胆囊炎胆结石。
作者: 576034755 时间: 2005-12-18 20:26
肝硬化、硬化性胆管炎、慢性胆囊炎、胆囊结石
作者: 一棵树 时间: 2005-12-18 22:16
肝脏形态不规则,肝裂较宽,尾叶增大;胆囊较小,壁厚,其内可见不规则高密度影;于肝门区见胆总管扩张;胰腺形态密度无著变,羽毛征存在,腹腔内未见明显肿大淋巴结。余(—)
印诊:1、低位胆道梗阻,胆总管扩张,肝内胆管扩张,不除外炎症所致,建议治疗后复查,排除胆总管占位(有条件可以做ercp或ct增强);2、肝硬化;3、胆囊炎,胆囊结石。
作者: 克山 时间: 2005-12-18 23:15
胆囊结石症较明确,无占位表现,结合年龄考虑mirrizz氏症。
作者: lihuuuu 时间: 2005-12-19 00:24
标题: 回复:ct2418:求诊:无痛性黄疸10天,无发热。
以下是引用lgm660927在2005-12-17 21:42:00的发言:[br]在倒数第2幅和第3幅图像间再有一幅图像就好了,胆总管突然截断,但没有结石和肿物,只能考虑炎症了。胆囊结石,胆囊炎。
作者: honghuqitian 时间: 2005-12-19 02:24
1.肝硬化、脾肿大
2.胆囊结石
3.肝内胆管扩张,建议肝门部薄层扫描及增强,除外占位
作者: wawaquan 时间: 2005-12-19 02:49
胆结石;慢性胆囊炎;慢性硬化性胆管炎;肝硬化。
作者: ssl1_1 时间: 2005-12-19 03:28
胆囊内结石,胆管扩张,胆总管壁不厚,单从征象考虑,未见明显肿物.不过年龄70应该做mrcp进一步确诊.除外占位病变.
作者: huangaiying1 时间: 2005-12-19 05:38
慢性胆囊炎,胆结石,胰头段胆总管占位可能
作者: 流星1234 时间: 2005-12-19 06:26
肝体积不大,肝裂宽,肝密度均匀,肝内胆管扩张,胆总管突然截断,管壁不规则,管腔呈梅花状,考虑 1)胆总管癌 2)胆囊结石,胆囊炎.
作者: 快乐流星 时间: 2005-12-19 19:40
在胆囊慢性炎症,结石,体积缩小的情况下,肝内胆管及胆总管会不会代偿性扩张呢?
作者: duguo 时间: 2005-12-20 01:31
结合胆囊结石,高度怀疑胆总管结石。
作者: 小翟 时间: 2005-12-20 02:09
胆囊结石,胆囊炎。胆管炎
作者: wfq2222 时间: 2005-12-20 03:37
标题: 回复:ct2418:求诊:无痛性黄疸10天,无发热。
以下是引用小翟在2005-12-19 18:09:00的发言:[br][br][br][br]胆囊结石,胆囊炎。胆管炎
支持
作者: chry3 时间: 2005-12-21 04:05
从片子看,只有胆囊炎、胆囊结石,实在看不出别的什么,肝门处似乎不是很清楚
作者: 东北 时间: 2005-12-22 20:24
胆总管结石可能
作者: shibing 时间: 2015-5-31 13:32
在倒数第2幅和第3幅图像间再有一幅图像就好了,胆总管突然截断,但没有结石和肿物,只能考虑炎症了。胆囊结石,胆囊炎。
| 欢迎光临 医影在线 (http://bbs.radida.com/bbs/) |
Powered by Discuz! X3.2 |