




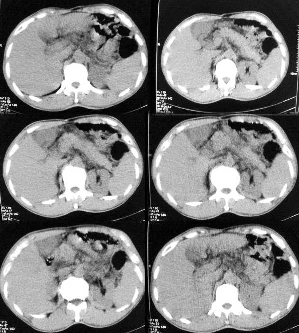
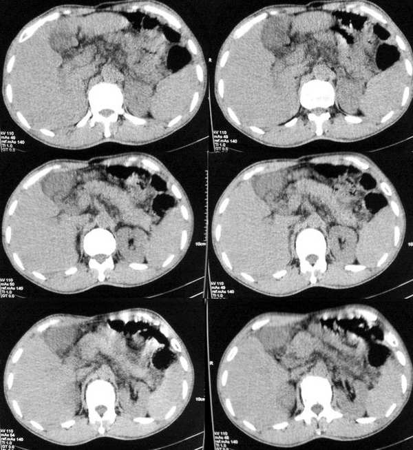
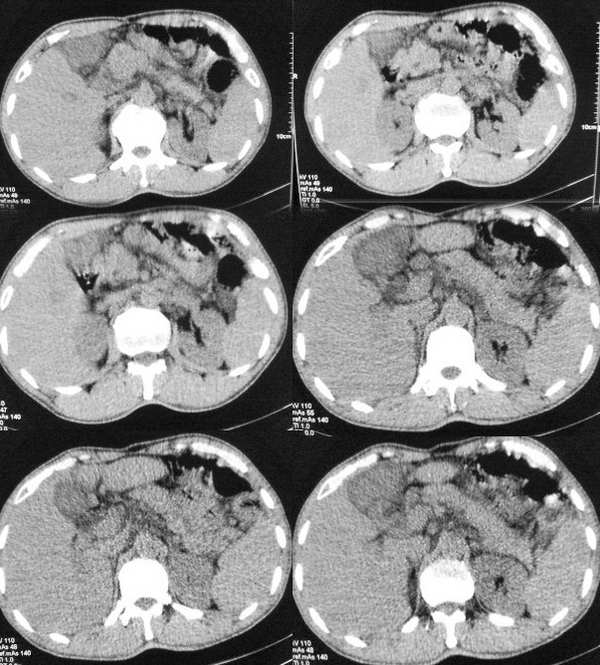
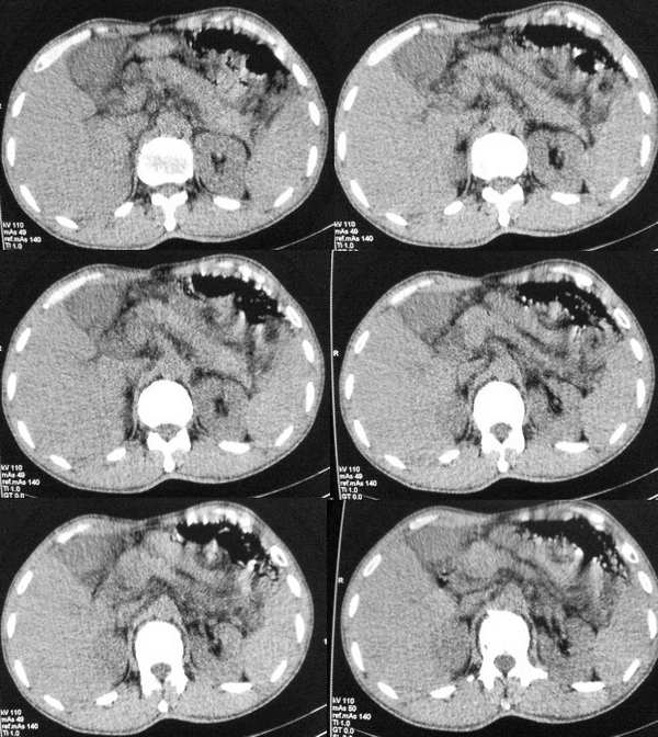
以下是引用butterylf在2005-12-21 19:10:00的发言:[br]我扫出来的图像都是这样的,窗宽窗位我参考了别的医院的啊,可是为什么我扫出来的图像质量不好,不好意思,是从显示器上拍的,而且还是用手机拍的,我不知道其他还能有什么方法拍啊!![br]病人是男性,41岁,[br]另外mas怎么调,不是不同的部位都要重新调过吧,?[br][br][br]对了,各位老师,我想问一个问题,我现在扫描片子打不出来了,这是为什么?ct已经传送过去了,可是激光打印就是出不来啊,打印机上总是显示close lower cover?这是为什么啊?
| 欢迎光临 医影在线 (http://bbs.radida.com/bbs/) | Powered by Discuz! X3.2 |