医影在线

标题: B0040:转贴一篇译文! [打印本页]

作者: 屈指西风    时间: 2006-1-1 04:02
标题: B0040:转贴一篇译文!
英文原文:ultrasonographic evaluation of a vascularized tracheal transplantation
tracheal stenosis is a frequent problem that in most cases is a complication of prolonged intubation. when the stenosis impairs more than half of the length of the trachea, it is not technically feasible to make a resection with a terminoterminal anastomosis. in this clinical context, tracheal transplantation is a therapeutic alternative. we report the case of a patient in whom a vascularized tracheal transplantation was performed successfully and emphasize the importance of an imaging evaluation, particularly with ultrasonography.
case report
an 18-year-old patient with a history of head trauma was admitted to the intensive care unit. because he required prolonged intubation, a tracheostomy was performed. after 8 weeks, when we tried to decannulate, he had shortness of breath. bronchoscopic and computed tomographic evaluations of the respiratory tract were performed and showed a total occlusion of the tracheal lumen impairing 70% of the tracheal length. because resection and anastomosis were not possible, a tracheal transplantation (allograft) from a cadaveric donor was considered. the patient and his family accepted this option and gave their consent. the hospital’s ethics committee approved the procedure.
the transplantation was performed by anastomosing the donor’s trachea proximally from the first tracheal ring and distally 3 cm above the level of the carina. the trachea was transplanted in conjunction with the thyroid gland on the basis of a technique developed by the surgical team from previous experimental animal models. the arterial anastomosis was performed between the donor’s inferior thyroid arteries and the receptor common carotid arteries. anastomosis between the right superior thyroid artery and the ipsilateral external carotid artery was also performed. the medium thyroid veins were anatomosed to the internal jugular veins, and the inferior thyroid veins were anatomosed to the innominate veins. two months later, control catheter digital subtraction angiography (dsa) showed vascular (arterial) perfusion. the venous phase was not clearly shown in the examination. the postoperative evolution of the patient was uneventful, except for a chylothorax that resolved. the patient was extubated after surgery and had no respiratory difficulty; he received immunosuppression therapy to prevent rejection.
six months after the transplantation, a neck ultrasonographic scan was performed with a high-resolution linear transducer (voluson 730 pro; ge healthcare, waukesha, wi) that showed the transplanted thyroid gland anterior and caudal to the native thyroid (figure 1, a and b). both glands were normal in echogenicity and size. gray scale real-time ultrasonography showed a normal appearance of the inferior transplanted thyroid arteries. color doppler ultrasonography proved vascular perfusion and allowed visualization of the right superior thyroid artery. power doppler ultrasonography showed normal flow within the transplanted thyroid gland (figure 1c). b-mode ultrasonography showed normal dilatation of the carotid artery at the site of the arterial anastomosis (figure 2a); color doppler ultrasonography showed reversal of flow at that point (figure 2b). spectral doppler ultrasonography was performed at the origin of transplanted thyroid arteries and showed peak systolic speeds between 32 and 48 cm/s and end-diastolic velocities between 9 and 13 cm/s with high-resistance waveforms (figure 3b). the evaluation of venous anastomoses was not possible because there were no changes in internal jugular veins allowing differentiation from native thyroid veins. spectral analysis showed both arterial and venous flow within the transplanted thyroid gland, the latter being an indirect sign of patency of the venous anastomoses.
discussion
tracheal stenosis can be secondary to trauma, congenital malformations, inflammatory conditions, or neoplastic diseas
作者: 屈指西风    时间: 2006-1-1 04:04
标题: 回复:转贴一篇译文!
超声检查在血管成形的气管移植中的应用
气管狭窄是一种常见的疾病,大多数的病例是由于持续的气管插管导致的并发症。如果狭窄的范围超过气管长度的一半,那么行端端吻合的气管切除术在技术上是不行的。在临床实践中,气管移植是一种可选择的治疗方法。我们报告了一例成功实施了血管成形的气管移植病例,强调了影像学检查,尤其是超声检查的重要性。
病例报告
患者,18岁,因头部创伤住进重症监护室。由于他需要持续的气管插管,因此予以气管切开。8周以后,当我们想拔除插管时,他出现了呼吸急促。呼吸道的支气管镜和ct扫描显示气管腔出现完全性闭塞,病变占气管长度的70%。由于气管的切除吻合术是不可能的,因此我们考虑行尸体器官供者提供的同种异体的气管移植。病人及其家属接受并同意了,医院伦理委员会也予以了批准。
移植手术中将供者气管近端与第一个气管环吻合,将远端在隆凸水平上3cm处吻合。根据手术医生从先前的动物试验模型中发展来的技术,将气管连带甲状腺进行了移植。同时将供者甲状腺下动脉和受者的颈总动脉吻合,将右甲状腺上动脉和受者同侧颈外动脉吻合,甲状腺中静脉与颈内静脉吻合,甲状腺下静脉与无名静脉吻合。2个月后,dsa显示血管(动脉)灌注良好,检查期间静脉相显示不清。病人术后进展平稳,除了有过一次的乳糜胸但也解决了。术后病人拔除了插管,也没出现呼吸困难,予以免疫抑制剂治疗防止排异反应。移植手术后6个月,应用高分辨率的探头行颈部超声检查(ge voluson730 pro),显示移植的甲状腺位于前面,自身甲状腺在后(图1,a和b),两腺体的回声和大小正常。灰阶实时超声扫描显示移植甲状腺下动脉形状正常。彩色多普勒超声证实血管充盈良好,右侧甲状腺上动脉充盈良好。能量多普勒显示移植甲状腺内血流正常(图1,c)。b型超声显示动脉吻合处颈动脉正常扩张(图2,a)。彩色多普勒显示此处血流反转(图2,b)。频谱多普勒超声显示移植甲状腺动脉起始点的收缩期峰值流速在32-48cm/s,舒张末期流速在9-13cm/s,呈高阻力波形(图3,b)。由于无法区分自身甲状腺静脉和颈内静脉,因此静脉吻合处的检查不能评估。频谱多普勒显示移植甲状腺内的动脉和静脉分布正常。后者间接表明了静脉吻合处是开放的。
讨论
气管狭窄可以继发于创伤、先天性畸形、炎症感染或肿瘤病变。最常见的病因是持续的气管内插管,就象本文所报道的病例。典型的影像学特征是对称性狭窄 和漏斗样变形。偏心性狭窄很少见。ct扫描,尤其是冠状面重建可以显示气管狭窄的严重程度和范围以及明确它与声门的关系。
气管插管造成的气管狭窄的发生率由于持续的生命支持的应用而增加。尽管有几种手术方式可以气管重建,但当破坏比较广泛(长度大于50%)时成功率低。对这些病例,有效的治疗方法应选择气管移植。已经有在试验模型中对喉和气管的血管重建成功的报告。在对喉部或气管进行移植时必须同时对动脉和静脉行血管成形术,以避免出现狭窄和术后软化。基于此原因,对同种异体移植物进行血管成形时当前被用来修复大范围气管缺陷最可靠的手术方法之一。
喉部和气管的血管分布范围从根本上依赖于甲状腺上、下动脉。这些器官的血管成形术在上世纪被开始用于犬的模型的喉部移植中,然而,直到世纪末期明确了甲状腺上动脉供应上13隔气管环。对这些血管分布区的广泛吻合使得大范围气管节段的血管进行重建。血管的灌流对维持移植物的生存能力起决定作用。
我们对移植物的血管供应运用了不同的影像学检查方法。在术后阶段,dsa显示了移植甲状腺动脉是开放的。dsa的空间分辨率使得可以对这些血管的形态学特征进行整体的评估。然而,这种侵袭性的检查并不是一种理想的影像学方法,原因是检查中所应用的造影剂具有被广泛知晓的潜在的肾毒性的并发症,尤其是病人所接受的免疫抑制剂本身也会对肾功能产生有害的影响。此外,我们应用了其它的非侵入性的方法,如mri和多普勒超声对病人进行检查。mri可以对移植物的静脉和动脉系统进行细致的观察,其缺点是费用昂贵,在书后的早期阶段缺少配套的支撑因素。超声检查作为一种低廉的检查方法甚至可以在icu行床边的检查,从而避免将病人搬送到血管造影室。
作为喉移植一部分的甲状腺移植已有报道,但移植腺体的超声表现还没有过描述。此例病人实时b超对自身和移植甲状腺及其解剖关系都能清楚的予以描述,并且两者具有相同的回声。
多普勒超声检查显示两腺体内的收缩期峰值流速与以往的报告相似,对甲状腺动脉的评估也与以往的报告一致,不存在技术上的困难。病人因为有两套甲状腺动脉使检查更加复杂,区分自身和移植血管显得很重要。有两种方法可以帮助区分自身和移植气管的动脉:第一,移植甲状腺动脉起源于颈总动脉,它通常没有分支;第二,存在颈动脉扩张提示了血管修补的位置。气管移植最主要的并发症发生在血管起始处。在术后初期最严重的并发症是血管修补处的血栓形成。一个可能出现的重要的并发症是排异反应,使血流量减少或消失。其次,营养血管的内皮异常增
作者: 屈指西风    时间: 2006-1-1 04:06
标题: 回复:转贴一篇译文!
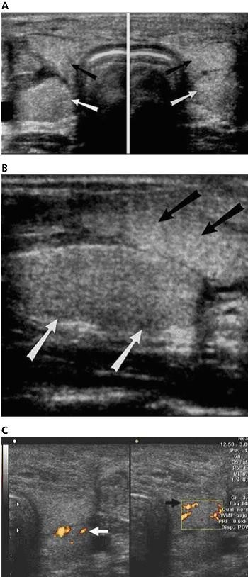
图1 a, b超轴切面显示18岁的患者器官移植后的4个甲状腺叶片。移植腺体(黑箭头)位于自身甲状腺(白箭头)的前方。两者回声正常。b,左侧甲状腺叶片b超纵切面显示移植甲状腺(黑箭头)在前,自身甲状腺(白箭头)位于后方。c,能量多普勒显示甲状腺实质内血管供应正常(左侧自身腺体和移植甲状腺叶片分别用白色和黑色箭头表示)。
作者: 屈指西风    时间: 2006-1-1 04:09
标题: 回复:转贴一篇译文!
图2 a,b超纵切面显示18岁的患者气管移植后的动脉吻合处的颈动脉正常扩张。b,彩色多普勒纵切面图像:蓝色区(箭头)显示动脉修补处的血管反转。
作者: 屈指西风    时间: 2006-1-1 04:10
标题: 回复:转贴一篇译文!
图3 a,彩色多普勒图像显示18岁患者气管移植后的移植甲状腺左上动脉呈环状(黑箭头),起源于左侧颈总动脉(白箭头)。b,频谱多普勒图像显示移植甲状腺动脉起源处的高阻力频谱。

作者: 韵翔    时间: 2006-2-17 18:26
好图,顶一下
作者: 陈永刚    时间: 2006-2-22 02:27
太厉害了 我怎么看不懂啊   
我是一个刚到校的医学生,将来从事影像,现在还未开设专业课  但我看此网站已经好长时间了,着对我以后的学习可能是一个很好的作用,谢谢




欢迎光临 医影在线 (http://bbs.radida.com/bbs/) Powered by Discuz! X3.2