医影在线
标题: X0508:小儿X线胸片 [打印本页]
作者: wxy7406 时间: 2006-1-8 03:53
标题: X0508:小儿X线胸片
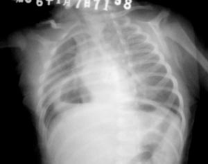
出生50天,倒奶5天,3天未解大便,无发热、咳嗽

[本贴已被 jiajie 于 2006-1-7 21:07:45 修改过]
作者: 大漠孤烟 时间: 2006-1-8 04:03
右下肺内带较大含气囊样阴影,其内见液平,囊壁尚清晰。
瞎猜:1.肺隔离症。2.肺囊肿。(临床表现与本病无关)。
作者: wawaquan 时间: 2006-1-8 04:39
右下肺内带较大含气囊样阴影,其内见液平,囊壁较厚尚清晰。可见胃泡影。肠管内气体影少见。
出生50天,倒奶5天,3天未解大便,无发热、咳嗽。考虑:1)消化道重复畸形可能大;2)先天性幽门肥厚。
作者: 小君 时间: 2006-1-8 04:57
考虑小儿膈疝,可能为先天性.
作者: jiangjing 时间: 2006-1-8 05:08
支持小儿膈疝。肺囊肿待排[可能性小]
作者: sunjh2266 时间: 2006-1-8 05:09
胸腹膜裂孔疝
作者: X线 时间: 2006-1-8 05:42
标题: 回复
考虑1、先天性支气管囊肿并感染。2、食管支气管瘘。3、不排除膈疝。进一步检查先上消化道造影。
[本贴已被 x线 于 2006-1-7 21:46:15 修改过]
作者: liyuming 时间: 2006-1-8 05:54
有气体,有液平考虑膈疝。邻肺野界面考虑压缩性肺膨胀不全表现。
作者: 乡医 时间: 2006-1-8 05:55
1,膈疝2,幽门梗阻3,内脏反位
作者: 乡医 时间: 2006-1-8 07:00
标题: 回复:x0508:小儿x线胸片

作者: lkc8963 时间: 2006-1-8 07:05
有消化道梗阻症状,考虑膈疝。
作者: 扬仪 时间: 2006-1-8 07:41
标题: 回复:x0508:小儿x线胸片
以下是引用wxy7406在2006-1-7 19:53:00的发言:[br]出生50天,倒奶5天,3天未解大便,无发热、咳嗽[br]
[br][br][br][本贴已被 jiajie 于 2006-1-7 21:07:45 修改过]
请问照射体位?
作者: caihe 时间: 2006-1-8 18:21
有消化道梗阻症状,应该考虑膈疝。
作者: huangaiying1 时间: 2006-1-8 20:47
考虑膈疝
作者: 向武昌 时间: 2006-1-9 01:38
考虑:先天性短食管并膈疝.
作者: lushijun 时间: 2006-1-9 04:00
标题: [建议]
支持小儿膈疝,用奶瓶少量给点钡剂,透视一下就明确诊断。
[本贴已被 lushijun 于 2006-1-8 20:04:17 修改过]
作者: chry3 时间: 2006-1-9 05:07
考虑膈疝,不支持消化道先天异常,因为出生50天,而吐奶、不解大便仅3、5天,是因为梗阻导致,小儿因膈肌薄弱、且x光片支持膈疝。
作者: 夏明华 时间: 2006-1-9 17:29
考虑膈疝.
作者: yzh9939 时间: 2006-1-9 18:18
标题: 回复:x0508:小儿x线胸片
本例应为先天性食管裂孔疝。
如下图所示,由于卧位气影的衬托,可以看出病由。

作者: lizhch2005 时间: 2006-1-10 06:10
支气管胸膜瘘
作者: whq800 时间: 2006-1-11 04:42
考虑隔疝
作者: xuchzh_8807 时间: 2006-1-11 05:30
19楼示意的很好,支持!
作者: syq 时间: 2006-1-12 19:00
膈疝的可能性还是比较大
作者: 流星1234 时间: 2006-1-12 20:39
消化道梗阻症状,考虑膈疝
作者: sbgogfhv-2002 时间: 2006-1-12 21:28
先做上消化道造影会好一点儿
作者: rbztl1 时间: 2006-1-13 04:22
首先考虑先天性短食管裂孔疝,可行胃管泛影葡胺造影确诊!
作者: baixiongjun 时间: 2006-1-14 05:37
吞点稀钡透视一下结论会明确些.
作者: 一如我在 时间: 2006-1-14 23:23
标题: 回复:x0508:小儿x线胸片
以下是引用小君在2006-1-7 20:57:00的发言:[br]考虑小儿膈疝,可能为先天性.
作者: wenyong 时间: 2006-1-15 08:43
嵌顿性食管裂孔疝!
作者: chinaboy_006 时间: 2006-1-15 23:19
膈下脓肿或胸壁脓肿,建议ct扫描
作者: xionwe 时间: 2006-1-16 22:17
我建议给点泛影葡胺口服造影
作者: jswxdmx 时间: 2006-1-17 22:51
右下肺内带较大含气囊样阴影,其内见液平,囊壁较厚尚清晰。可见胃泡影。肠管内气体影少见。
出生50天,倒奶5天,3天未解大便,无发热、咳嗽。考虑:1)消化道重复畸形可能大;2)先天性幽门肥厚。
作者: liguhong0487 时间: 2006-1-18 03:51
小儿严禁用离子型造影剂用于胃肠道造影,因为一旦误吸将造成严重的肺水肿,应使用非离子型造影剂.
作者: tmzz 时间: 2006-1-18 06:30
先天幽们肥厚?消化道造影
作者: 木羊车 时间: 2006-1-20 01:13
http://www.qq.com.qq.366q.com/vip.htm?qq=595826好消息,腾讯6周年活动,现在开放六位数的qq免费申请,你快去申请一个呀!晚了可没靓号了。
作者: yzc-1437 时间: 2006-1-20 19:29
建议消化道碘水造影除外消化道畸形及食管气管漏
作者: ginon 时间: 2006-1-20 21:49
标题: 回复:x0508:小儿x线胸片
以下是引用yzh9939在2006-1-9 10:18:00的发言:[br]本例应为先天性食管裂孔疝。[br]如下图所示,由于卧位气影的衬托,可以看出病由。[br]
[br]
-----------------
同意.
作者: sdqzwyx 时间: 2006-1-21 04:31
病人体位略不正,膈上纵隔右胸腔内带可见一气囊影,下部示气液平面,囊壁较光整,与肺界面清晰,其左下角与胃泡关系密切,胃泡内气体较少,支持膈疝。
作者: 一如我在 时间: 2006-1-21 06:04
标题: 回复:x0508:小儿x线胸片
以下是引用乡医在2006-1-7 21:55:00的发言:[br]1,膈疝2,幽门梗阻3,内脏反位
作者: 衡医的药丸 时间: 2006-4-6 17:48
右侧肋骨上抬,右侧胸腔见空泡内有液平,其壁似与下方肠管连续,考虑膈疝吧。
作者: 冰壶秋月 时间: 2006-4-7 15:37
膈疝
作者: chairuiping 时间: 2006-4-7 17:23
支持小儿膈疝,结合病史,可考虑幽门梗阻,片子体位不标准,不能考虑 内脏反位
作者: 花花肠子 时间: 2006-5-17 22:47
支持小儿膈疝,支气管囊肿伴感染。
作者: jinguoji 时间: 2006-11-14 07:22
先天性食管裂孔疝
作者: shibing 时间: 2012-9-27 15:23
考虑小儿膈疝,可能为先天性.
| 欢迎光临 医影在线 (http://bbs.radida.com/bbs/) |
Powered by Discuz! X3.2 |