医影在线
标题: MRI0276:头部平扫 增强 [打印本页]
作者: guofang 时间: 2006-1-16 04:17
标题: MRI0276:头部平扫 增强
患者 m 45 头痛 言语不清一周





[本贴已被 jiajie 于 2006-1-15 21:35:18 修改过]
作者: 老林 时间: 2006-1-16 06:39
首考肿瘤,请上传增强片,排除炎症
作者: guofang 时间: 2006-1-16 06:49
上面的ct是平扫
mr是增强
作者: wawaquan 时间: 2006-1-16 07:06
考虑:出血性脑梗塞。
作者: jiangjing 时间: 2006-1-16 07:14
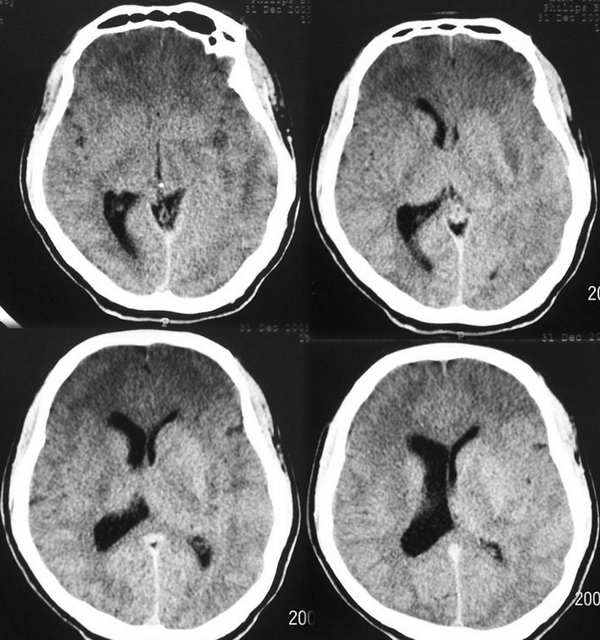
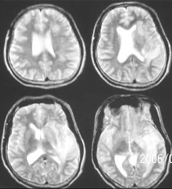
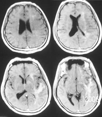
左侧基底节额颞叶稍长t1长t2信号,增强见边缘与脑回样强化,作侧脑室变窄。ct平扫呈等与扫地密度以等密度为主。考虑1脑炎。2脑肿瘤[淋巴瘤]
作者: 576034755 时间: 2006-1-16 09:04
梗塞
作者: lushijun 时间: 2006-1-16 11:55
1、占位效应明显,支持肿瘤 2、额叶低密度,支持缺血性改变
作者: hanlang 时间: 2006-1-17 01:46
脑梗
作者: lf994017 时间: 2006-1-17 02:51
出血性脑梗塞
作者: trs741009 时间: 2006-1-17 07:34
补充病史,血液检查.排除病毒感染.
作者: jfj-015 时间: 2006-1-17 08:12
还是顷向于脑梗
作者: huangaiying1 时间: 2006-1-17 17:05
ct示左颞叶等,略低密度影,mr示左额颞叶t1wi呈低信号,t2wi呈高信号,增强后边缘不均匀强化,左侧脑体部明显受压,考虑脑梗塞可能性大
作者: 影象王 时间: 2006-1-17 21:46
首先考虑脑梗塞,肿瘤mri表现多为长t2信号,增强后多有明显的不均匀强化,本病例占位征象明显,如果是肿瘤恶性度是偏高的,增强后应该有明显的强化表现。临床病史比较短暂,增强后强化呈条片状,梗塞在三天为水肿高峰,占位明显。综合考虑脑梗塞可能性大。
作者: hyl4523 时间: 2006-1-18 04:58
胶质瘤
作者: fjlinmei 时间: 2006-1-23 07:29
炎症可能性大,疱疹病毒性脑炎?
作者: qingxijushi 时间: 2006-1-25 00:33
考虑占位性病变,以胶质瘤可能性大.
作者: lirfeng 时间: 2006-1-27 00:16
1.肿瘤 2.脑炎
作者: michael791214 时间: 2006-1-30 02:24
脑梗塞可能性较大
作者: wangkexing 时间: 2006-1-30 06:27
nao zhongliu
作者: 听蝉观竹 时间: 2006-1-30 08:29
标题: 请问
mr 片与ct 吻合不起来。ct上双侧额叶大片低密度影像,而mr上额叶却没有异常信号。是不是两个检查相隔时间较长?或者ct 扫描时头颅不在机架中心而偏下出现的伪影?如果不是伪影怎么没有一点占位效应?
[本贴已被 听蝉观竹 于 2006-1-30 0:31:26 修改过]
作者: 龙在野 时间: 2006-2-2 16:55
梗塞
作者: 蓝星 时间: 2006-2-3 02:15
占位效应明显,支持肿瘤 2、额叶低密度,考虑脑梗
作者: fjlinmei 时间: 2006-2-3 06:57
脑炎可能性大,梗塞待除.
作者: zyx168 时间: 2008-7-24 07:42
梗塞
作者: dangjiancai 时间: 2015-2-3 11:15
肿瘤可能
| 欢迎光临 医影在线 (http://bbs.radida.com/bbs/) |
Powered by Discuz! X3.2 |