医影在线
标题: CT2609:(元月20新增资料)[求助]可不可以定为眶内壁骨折? [打印本页]
作者: qinwei260 时间: 2006-1-20 00:48
标题: CT2609:(元月20新增资料)[求助]可不可以定为眶内壁骨折?
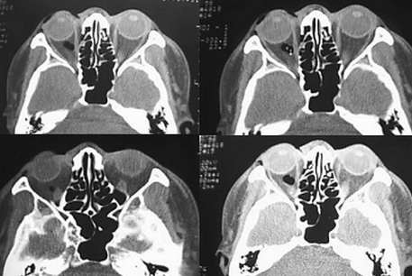
男45y3小时前被打伤眼部,无鼻出血,hrct示右眼眶内壁眼内直肌内侧有积气,可不可以定为眶内壁骨折???


[本贴已被 jiajie 于 2006-1-19 17:21:01 修改过]


[本贴已被 jiajie 于 2006-1-20 21:10:21 修改过]
作者: fanxing 时间: 2006-1-20 00:58
眼拙!我没看到确切的骨折。
作者: doone315 时间: 2006-1-20 01:04
是积气?脂肪? 反正可间接提示为骨折。
作者: jiajie 时间: 2006-1-20 01:25
层面上传不够,考虑眶内壁骨折。
作者: 尚峰 时间: 2006-1-20 01:27
应该不是骨折,眼眶内侧壁骨折一般都是爆裂骨折,内直肌和眶内脂肪会向内移位,这个病人却没有。
作者: zxd95 时间: 2006-1-20 01:33
若hrct示右眼眶内壁眼内直肌内侧是积气,应该可以认为是眶内壁骨折的间接征象,筛骨纸板很薄,容易发生骨折。
作者: huangaiying1 时间: 2006-1-20 01:42
筛骨纸样板是很薄的,故本例病人我考虑有眶内壁骨折
作者: zhihuixinglwg 时间: 2006-1-20 02:11
可以考虑眶内壁骨折,能不能缩小显视野,将图像放大观察,第一幅图像气体影处有一小致密结节,请上传邻近层面的图像。
作者: 山野樵夫 时间: 2006-1-20 02:45
可以考虑眶内壁骨折,建议病人复查
作者: 一棵树 时间: 2006-1-20 02:56
筛骨纸板很薄的,所见眶内积气应该是骨折的间接征象
作者: lkc8963 时间: 2006-1-20 04:07
既然为hrct应该征象均比较明确。
本例无明显筛板中断,眶内侧气体影也不确切,眶内侧及窦腔内无渗液,内直肌不厚,虽有鼻部软组织肿胀,但还是没有太多依据诊断为筛板骨折。
作者: ssl1_1 时间: 2006-1-20 05:04
考虑眶内壁骨折。但左侧颞底那个光滑的类圆形是啥
作者: woaixct 时间: 2006-1-20 05:58
1.图片的窗宽、位调整一下能更好的观察筛窦纸板是否有异常改变;
2.本片支持右侧筛窦纸板骨折;
3.左中颅凹可见类圆形略高密度,中颅凹的占位?
4.建议增强一下吧!
作者: 乡医 时间: 2006-1-20 06:14
标题: 回复:ct2609:[求助]可不可以定为眶内壁骨折???
骨折
作者: jiangjing 时间: 2006-1-20 07:19
间接提示为骨折,请结合临床。
作者: 光线 时间: 2006-1-20 07:25
建议复查看看
作者: wawaquan 时间: 2006-1-20 08:05
标题: [转帖]回复:ct2609:[求助]可不可以定为眶内壁骨折???
以下是引用ssl1_1在2006-1-19 21:04:00的发言:[br]考虑眶内壁骨折。但左侧颞底那个光滑的类圆形是啥
作者: lushijun 时间: 2006-1-20 14:01
可以考虑
作者: 航书 时间: 2006-1-20 16:02
右眼眶内壁与眼内直肌间可见积气,应该可以认为是眶内壁骨折的间接征象,筛骨纸板很薄,容易发生骨折,典型的骨折较难看到。
作者: 东北 时间: 2006-1-20 16:23
筛骨纸板很薄的,所见眶内积气应该是骨折的间接征象
作者: 老林 时间: 2006-1-20 16:54
眶内壁骨折
作者: yang4132 时间: 2006-1-21 03:34
眶内壁有缺埙,内直肌外气体影,眶内壁骨折。
作者: 阿圣 时间: 2006-1-21 04:16
只要是气体密度,就可提示眶内壁骨折
作者: jiajie 时间: 2006-1-21 05:12
以下是引用wangqj1976在2006-1-20 20:36:00的发言:[br]可以诊断右眶内侧壁骨折[br]依据:[br]1直接征象:右眶内壁骨质局限性中断,内陷.[br]2间接征象:球后间隙积气,右眶部软组织肿胀.[br]
作者: wangjing81750 时间: 2006-1-21 07:18
可以考虑眶内壁骨折,建议让他再作一次冠扫,结合起来看嘛
作者: shibing 时间: 2015-6-1 09:33
眶内壁骨折,建议病人复查
| 欢迎光临 医影在线 (http://bbs.radida.com/bbs/) |
Powered by Discuz! X3.2 |