








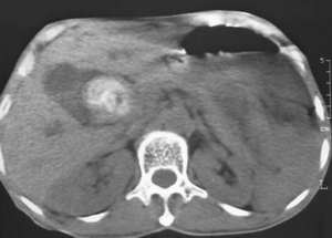
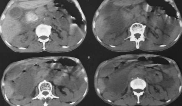
以下是引用wawaquan在2006-1-19 23:55:00的发言:[br]胆系结石,右半结肠梗阻:考虑横结肠占位(横结肠壁厚呈肿块状)。
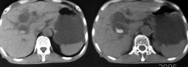
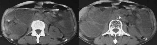
以下是引用lkc8963在2006-1-19 21:13:00的发言:[br]右半结肠及盆腔小肠明显积液扩张,腹腔内无明显渗出;右半结肠近端见多发点状高密度影;胆管内多发结石。[br]不知临床有哪些资料。本例需考虑胆石性肠梗阻的可能性,或胆系结石漏至结肠(异常通道如瘘)。
| 欢迎光临 医影在线 (http://bbs.radida.com/bbs/) | Powered by Discuz! X3.2 |