













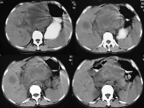
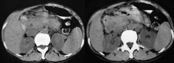
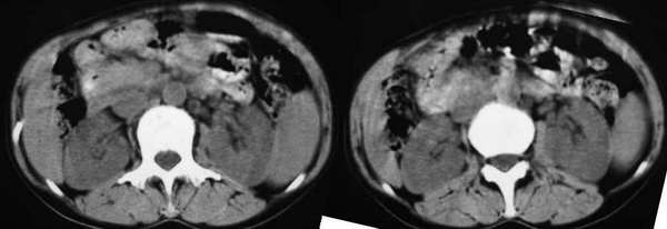
以下是引用东北在2006-1-20 15:36:00的发言:[br]图象少 外生性肝癌并肝内转移侵犯胃窦[br]胰腺的图象少
以下是引用jiajie在2006-1-20 16:52:00的发言:[br][quote]以下是引用东北在2006-1-20 15:36:00的发言:[br]图象少 外生性肝癌并肝内转移侵犯胃窦[br]胰腺的图象少
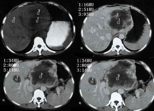
以下是引用wangqj1976在2006-1-20 21:11:00的发言:[br]不支持胰腺癌的诊断[br]1位置抬高,病变在腹腔干之上, 2胆管、胆囊主胰管不扩张,化验胆红素不高。[br]不支持肝癌[br]1无乙肝、肝硬化病史2病变强化方式[br]支持胃癌可能性大,合并肝转移、胰腺受累。(病人还贫血)[br]脾大,可以用肿瘤压迫脾静脉来解释。[br]建议做上消化道钡餐检查。
| 欢迎光临 医影在线 (http://bbs.radida.com/bbs/) | Powered by Discuz! X3.2 |