医影在线
标题: CT2672:[原创]女30岁,头痛右枕部稍高密度影. [打印本页]
作者: kbzyycm 时间: 2006-2-2 00:01
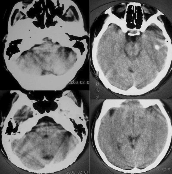
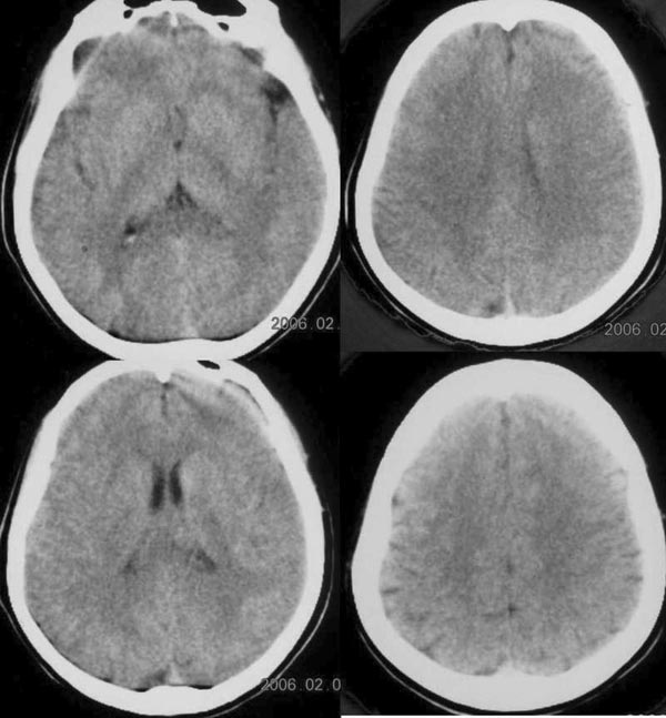
标题: CT2672:[原创]女30岁,头痛右枕部稍高密度影.


[本贴已被 gaozhengyi 于 2006-2-2 9:46:07 修改过]
作者: huhong1111111 时间: 2006-2-2 00:04
正常
作者: xhsmx 时间: 2006-2-2 00:20
图像不是太好.第三幅图右侧稍高密度影可能是伪影!
作者: qinwei260 时间: 2006-2-2 01:53
不好讲!!
作者: 东北 时间: 2006-2-2 02:01
未见异常
作者: 张耀森 时间: 2006-2-2 02:02
没发现什么明显的问题
作者: zhangwenxiu 时间: 2006-2-2 02:40
伪影
作者: X线 时间: 2006-2-2 02:50
考虑伪影。
作者: 同 时间: 2006-2-2 03:22
没看见什么异常的呀?
作者: 龙在野 时间: 2006-2-2 03:31
为什么不薄扫
作者: xwctlw 时间: 2006-2-2 03:44
未见确切异常。
作者: 成功成仁 时间: 2006-2-2 04:18
多系伪影
作者: 乡医 时间: 2006-2-2 04:49
象伪影,细看两侧都有,右侧打点。
作者: 小妹 时间: 2006-2-2 05:10
好像有可疑病灶,做个mr
作者: wawaquan 时间: 2006-2-2 05:24
未见异常
作者: 王锋 时间: 2006-2-2 06:50
颅底伪影太明显,应该薄扫
作者: jiangjing 时间: 2006-2-2 07:26
没发现什么明显的问题
作者: 仙人球 时间: 2006-2-2 15:13
未见异常
作者: sn4187189 时间: 2006-2-2 17:20
做mr吧,后颅窝是强项.
作者: c 时间: 2006-2-3 02:01
伪影太多.不好诊断
作者: y8936 时间: 2006-2-3 04:23
未见异常!!
作者: ssl1_1 时间: 2006-2-3 06:21
可能是伪影
作者: cefcmj 时间: 2006-2-3 07:57
未见明显异常。
作者: heyucheng01 时间: 2006-2-3 20:04
mei kan dao she me
作者: huangaiying1 时间: 2006-2-10 02:40
伪影
作者: yemin92007 时间: 2006-2-10 22:07
未见异常。
作者: shibing 时间: 2015-6-1 10:55
伪影
| 欢迎光临 医影在线 (http://bbs.radida.com/bbs/) |
Powered by Discuz! X3.2 |