医影在线

标题: CT2677:[原创]男54岁,左髋疼痛三月 [打印本页]

作者: kbzyycm    时间: 2006-2-3 03:12
标题: CT2677:[原创]男54岁,左髋疼痛三月




[本贴已被 lkc8963 于 2006-2-2 20:45:00 修改过]

作者: wawaquan    时间: 2006-2-3 04:41
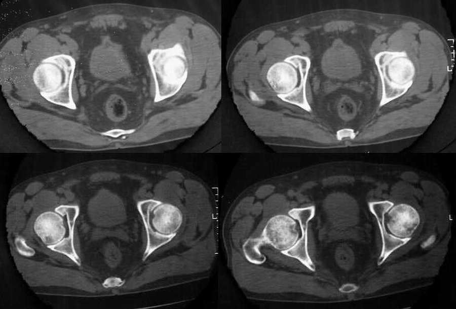
盆腔静脉石;前列腺钙化;左股骨骨岛。
作者: 乡医    时间: 2006-2-3 05:24
骨皮质下有囊变还要考虑无菌性坏死
作者: lkc8963    时间: 2006-2-3 07:48
左侧股骨头无菌性坏死,盆腔静脉石;前列腺钙化;左股骨骨岛。
作者: 东北    时间: 2006-2-3 16:28
左侧股骨头无菌性坏死,盆腔静脉石
作者: 潘建华    时间: 2006-2-3 16:41
最好再拍个平片看看
作者: x-man    时间: 2006-2-3 17:48
标题: 回复:ct2677:[原创]男54岁,左髋疼痛三月
以下是引用lkc8963在2006-2-2 23:48:00的发言:[br]左侧股骨头无菌性坏死,盆腔静脉石;前列腺钙化;左股骨骨岛。

作者: 扬仪    时间: 2006-2-3 18:29
双侧都需要考虑股骨头无菌性坏死,其中左侧最为明显(囊变和碎裂)
作者: 张耀森    时间: 2006-2-3 18:57
双侧都需要考虑股骨头无菌性坏死,其中左侧最为明显(囊变和碎裂)  
   
支持!!!!!!!
作者: heyucheng01    时间: 2006-2-3 19:52
两边都有问题,无菌坏死可能大
作者: sbgogfhv-2002    时间: 2006-2-3 20:12
两边都有问题考虑无菌性坏死吧
作者: wawaquan    时间: 2006-2-3 23:14
本例就此图像无法明确有无股骨头缺血性坏死。
    以股骨头缺血性坏死部位分为股骨头顶部和中心部持重区坏死与及其周边非持重区坏死。而本例左侧明显囊变在头颈结合部的下方。若两边都有问题,那么骨盆也显示密度不均,有问题吗?建议查mr或ect。
    缺血性坏死的ct表现:(1)早期主要表现为正常股骨头骨小梁星状征变形,表现在从股骨头中央到皮质下有点状或小道样致密的骨增生,周围呈丛状或相互融合,关节下非持重部多以骨质疏松为主,股骨头完整,无明显碎裂;(2)病变区出现小范围坏死及小囊状影,继之股骨头坏死以持重区为明显,中央多呈楔形或周围新月状的骨密度增高坏死,囊变边缘硬化,正常骨结构可完全消失,坏死周围骨质梳松;(3)股骨头软骨头下骨折、塌陷,关节面不规则,关节间隙宽窄不一,股骨头可有轻中度变形,可有碎骨片落入关节腔;(4)晚期股骨头变扁、碎裂增加,外形不规整,呈“蕈伞”状畸形,其内见骨质增生硬化及透光区混合密度影,关节间隙变窄,髋关节退行性变。
作者: 同    时间: 2006-2-4 03:29
支持4楼。
作者: 影象王    时间: 2006-2-4 03:52
建议mri进一步检查
作者: yang4132    时间: 2006-2-4 04:10
双侧股骨头坏死可能性大,左侧为著,建议mri。
作者: jbhaaa111    时间: 2006-2-4 07:06
两侧无菌性坏死,再结合病史
作者: huangaiying1    时间: 2006-2-8 17:55
双侧股骨头无菌坏死,左侧为著
作者: jbhaaa111    时间: 2006-2-12 04:32
无菌坏死
作者: shibing    时间: 2015-6-1 10:54
双侧都需要考虑股骨头无菌性坏死,其中左侧最为明显(囊变和碎裂)




欢迎光临 医影在线 (http://bbs.radida.com/bbs/) Powered by Discuz! X3.2