医影在线

标题: CT2673:[讨论]头颅。平扫空三角征? [打印本页]

作者: legend    时间: 2006-2-3 20:33
标题: CT2673:[讨论]头颅。平扫空三角征?
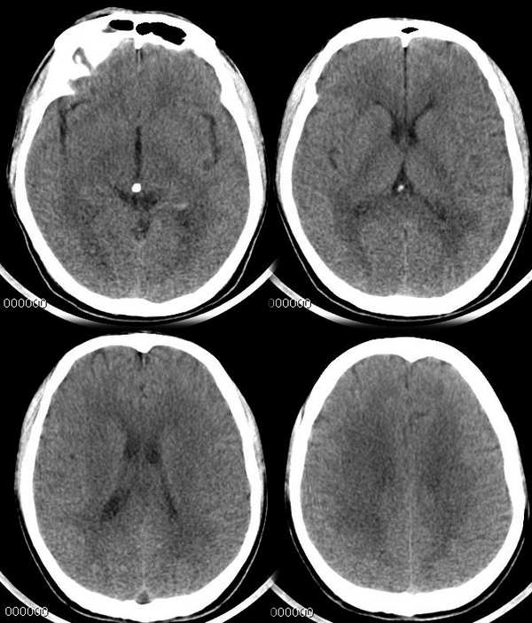
男 47岁 头痛多年,眩晕、呕吐一天,无明显神经系统症状。头颅ct部分层面显示双侧筛窦,右侧额窦炎。



[本贴已被 jiajie 于 2006-2-3 19:43:17 修改过]

作者: 曹莽    时间: 2006-2-3 21:37
未见异常
作者: 东北    时间: 2006-2-3 22:24
未见异常
作者: wawaquan    时间: 2006-2-3 22:27
男 47岁 头痛多年,眩晕、呕吐一天,无明显神经系统症状。头颅ct部分层面显示双侧筛窦,右侧额窦炎。
   ct平扫未见明显异常。
平扫空三角征最多见于蛛网膜下腔出血,多伴纵裂池改变。也可为贫血等原因所致。必要时增强扫描或mr排除静脉窦血栓。静脉窦血栓平扫多显示为高密度三角征或束带征。
作者: 同    时间: 2006-2-4 03:44
应该没问题吧?
作者: qinwei260    时间: 2006-2-4 04:09
ct平扫是不是有脑肿胀,脑裂消失。
作者: legend    时间: 2006-2-4 04:15
标题: 回复:ct2673:[讨论]头颅。平扫空三角征?
以下是引用qinwei260在2006-2-3 20:09:00的发言:[br]ct平扫是不是有脑肿胀,脑裂消失。

没有。
作者: yang4132    时间: 2006-2-4 04:20
未见异常。
作者: legend    时间: 2006-2-4 04:21
标题: 回复:ct2673:[讨论]头颅。平扫空三角征?
下图中红圈里上矢状窦的三角形低密度影如何解释?
作者: guzhongliangddd    时间: 2006-2-4 05:14
ct平扫未见异常。
作者: bty0902    时间: 2006-2-4 05:46
未见异常
作者: 国王    时间: 2006-2-4 16:44
ct平扫未见异常
作者: huangaiying1    时间: 2006-2-8 02:52
未见明显异常
作者: 成功成仁    时间: 2006-2-8 05:34
未见异常
作者: 一棵树    时间: 2006-2-8 22:19
1、左侧基底节及双侧放射冠区腔隙性脑梗塞;2、应该排除伪影所致的空三角征。
作者: shibing    时间: 2015-6-1 10:54
ct平扫未见异常。




欢迎光临 医影在线 (http://bbs.radida.com/bbs/) Powered by Discuz! X3.2