手机应用
微信
微博
QQ群
普通登陆
QQ登录
找回密码
注册
登录
好友
帖子
收藏
道具
勋章
任务
搜索
搜索
本版
文章
帖子
用户
影像医生
也能
网上问诊
了
首页
社区
BBS
新闻
读片会
影像图库
锐滴达
医影在线
»
社区
›
教育专区
›
典型病例
›
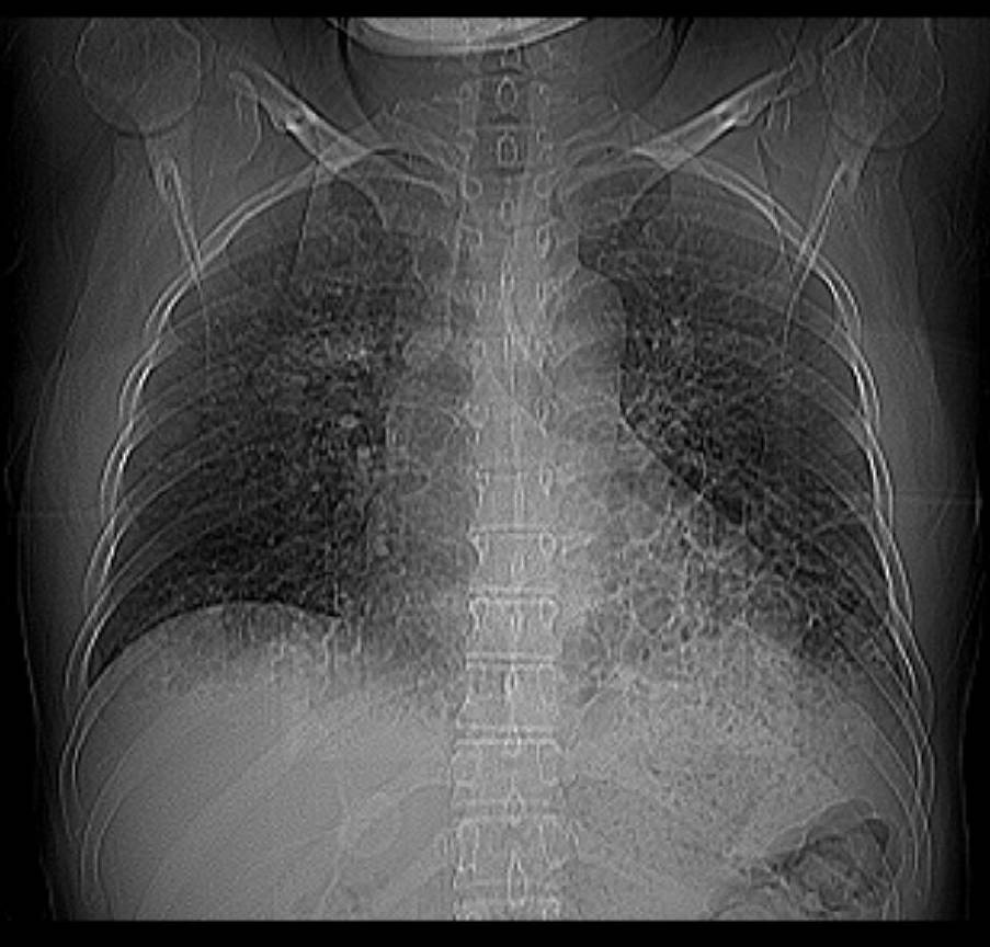
CL2630:典型支气管扩张并感染
CL2630:典型支气管扩张并感染
查看数:
3012
|
评论数:
8
|
收藏
0
关灯
|
提示:支持键盘翻页<-左 右->
帖子模式
组图打开中,请稍候......
收藏
0
赞同
0
反对
0
李仕雄
发布时间:
2012-9-11 23:21
正文摘要:
三年前曾患支气管扩张,治疗后最近半年胸痛、多痰。
回复
宇宙CT
发表于
2012-10-30 16:17
典型支气管扩张并感染
支持
收藏
0
雪个
发表于
2012-10-18 15:29
典型!!谢谢楼主!
支持
收藏
0
shibing
发表于
2012-10-18 09:57
典型支气管扩张并感染
支持
收藏
0
xywx
发表于
2012-10-11 19:15
典型
支持
收藏
0
宝天曼
发表于
2012-10-5 09:27
典型!!谢谢楼主!
支持
收藏
0
北方的狼
发表于
2012-9-12 14:48
那是相当的不错“印戒”征
支持
收藏
0
zujifu
发表于
2012-9-12 08:38
谢了
支持
收藏
0
陈伟超
发表于
2012-9-12 07:14
典型!!谢谢楼主!
支持
收藏
0
快速回复
返回顶部
返回列表