医影在线

搜索

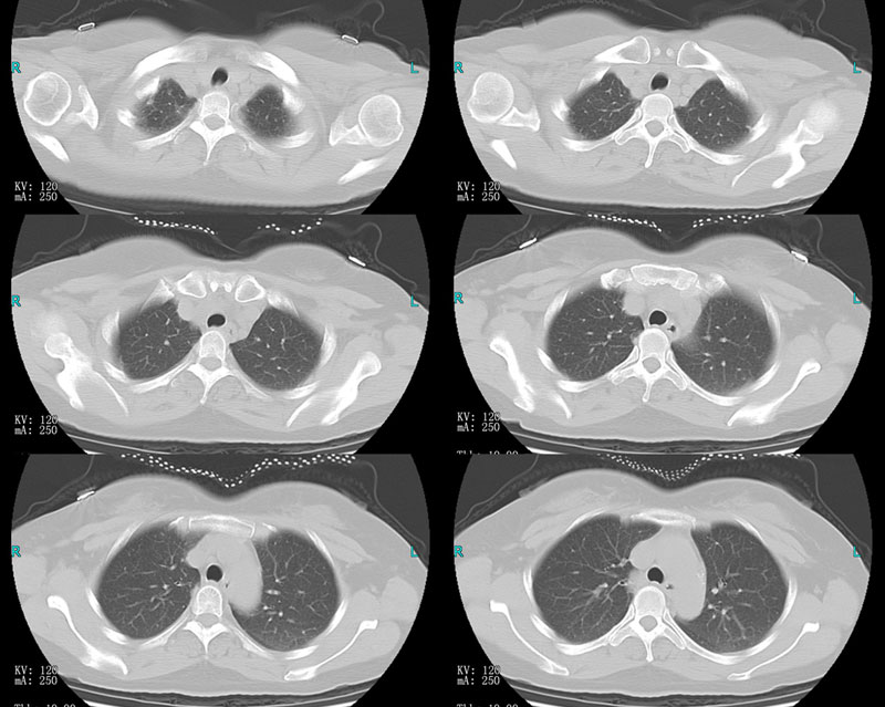
CL2692:支气管扩张

查看数: 3096 | 评论数: 5 | 收藏 1
关灯 | 提示:支持键盘翻页<-左 右->
    组图打开中,请稍候......
发布时间: 2013-8-18 21:38

正文摘要:

女性,55岁。 主诉:咳嗽气促9天。 现病史:患者于9天前出现恶寒发热,咳嗽咳痰,色黄质粘,气促,伴全身肌肉酸痛,鼻塞流清涕,咽痛,无咯血,无胸闷心悸。 既往史:既往有支气管扩张、高脂血症。有颈椎病10年。 ...

回复

如莲静心 发表于 2015-5-29 10:15
陈旧病灶内的,支气管应该怎么解释?谢谢
来自安卓客户端来自安卓客户端
如莲静心 发表于 2015-5-29 10:14
是支扩,能否帮我看看这个图像



来自安卓客户端来自安卓客户端
raoxi5070 发表于 2015-5-21 19:38
典型支气管扩张
shibing 发表于 2013-8-21 07:16
支气管扩张
翁志蓬 发表于 2013-8-18 21:38

手术及病理

手术名称:胸腔镜下左肺下叶切除+左肺上叶舌段楔形切除+胸膜粘连烙断术。
病理诊断:(左下肺、左上肺舌段)符合支气管扩张
快速回复 返回顶部 返回列表