手机应用
微信
微博
QQ群
普通登陆
QQ登录
找回密码
注册
登录
好友
帖子
收藏
道具
勋章
任务
搜索
搜索
本版
文章
帖子
用户
影像医生
也能
网上问诊
了
首页
社区
BBS
新闻
读片会
影像图库
锐滴达
医影在线
»
社区
›
影像读片
›
CT病例讨论
›
CT03371:胸部,有结果。
CT03371:胸部,有结果。
查看数:
3774
|
评论数:
27
|
收藏
0
关灯
|
提示:支持键盘翻页<-左 右->
帖子模式
组图打开中,请稍候......
收藏
0
赞同
0
反对
0
anbo5502
发布时间:
2006-3-31 16:13
正文摘要:
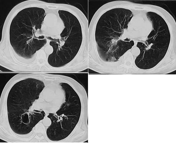
患者男性,80岁,长期咳嗽加重半月。
回复
吴医师
发表于
2010-2-18 19:04
学习了,谢谢
支持
收藏
0
hexue
发表于
2009-8-6 18:12
学习了,谢谢
支持
收藏
0
kgjy328
发表于
2006-4-4 03:48
考虑恶性的东西把!
支持
收藏
0
枫叶
发表于
2006-4-2 15:06
好例!!!
支持
收藏
0
ssl1_1
发表于
2006-4-2 04:42
结核
支持
收藏
0
husiling
发表于
2006-4-1 15:12
首先考虑炎症,建议抗炎后复查.
支持
收藏
0
drzhang8888
发表于
2006-4-1 08:48
回复:ct3371:胸部,有结果。作不好图片
支持
收藏
0
ck3215123
发表于
2006-4-1 08:40
考虑炎症
支持
收藏
0
drzhang8888
发表于
2006-4-1 08:20
回复:ct3371:胸部,有结果。
考虑结核
支持
收藏
0
快速回复
返回顶部
返回列表