手机应用
微信
微博
QQ群
普通登陆
QQ登录
找回密码
注册
登录
好友
帖子
收藏
道具
勋章
任务
搜索
搜索
本版
文章
帖子
用户
影像医生
也能
网上问诊
了
首页
社区
BBS
新闻
读片会
影像图库
锐滴达
医影在线
»
社区
›
影像读片
›
CT病例讨论
›
CT49554:体检
CT49554:体检
查看数:
727
|
评论数:
5
|
收藏
0
关灯
|
提示:支持键盘翻页<-左 右->
帖子模式
组图打开中,请稍候......
收藏
0
赞同
0
反对
0
asyzhky
发布时间:
2014-12-11 14:50
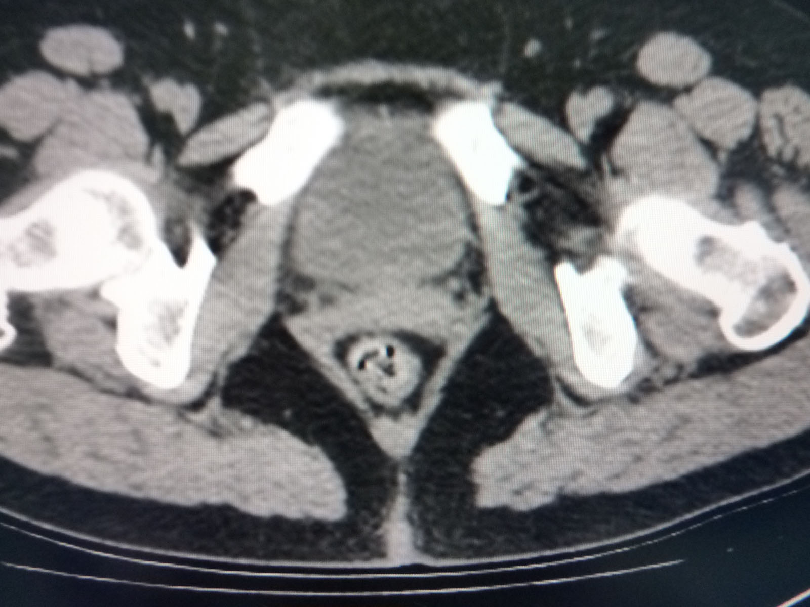
正文摘要:
子宫正常吧
回复
shibing
发表于
2014-12-12 08:49
子宫肌瘤
支持
收藏
0
李文星
发表于
2014-12-12 08:17
看不到什么,这个病人体内没有金属环,直接MRI多好啊
支持
收藏
0
天路人
发表于
2014-12-11 22:07
子宫肌瘤
支持
收藏
0
84虫子
发表于
2014-12-11 19:15
子宫肌瘤
支持
收藏
0
改造社会
发表于
2014-12-11 15:41
宫颈管肌瘤
支持
收藏
0
快速回复
返回顶部
返回列表